近日,宁波市第一医院陈晓敏教授团队应用VenusA-Plus®可回收输送系统成功挑战高难度外科生物瓣衰败后TAVR手术一例,该病例患者15年前因主动脉瓣重度狭窄经开胸手术植入生物瓣,最近因生物瓣钙化衰败重新出现主动脉瓣狭窄,最大跨瓣压差达到112mmHg,平均压差达66mmHg。陈晓敏教授在接诊后,迅速组织科室成员收治患者,并针对该患者股动脉入路条件差、原生物瓣衰败后导致瓣环面积极小等多种难点反复研判、灵活制定手术策略,选择经导管主动脉瓣瓣中瓣置换术(ViV-TAVR),最终手术取得圆满成功。术后患者症状得到即刻改善,无其他并发症发生。
患者基本信息
患者女性,73岁,患者15年前出现胸闷气促遂至医院就诊,确诊”主动脉瓣狭窄“后植入21mmHANKCOCKⅡ生物瓣,术后恢复可,患者1年前活动后出现胸闷。
术前CT评估报告
难点评估
1、入路条件差,髂动脉血管钙化十分严重,通路建立难度极大。
2、主动脉瓣置换术后,瓣口面积极小,导致瓣膜无法稳定锚定,需要术中时刻观察调整。
3、升主动脉最宽处约44.5mm,心脏角度大,约50°,备Snare辅助。
手术策略
1、因患者右股动脉钙化严重,入路狭窄,拟采取无鞘法从右股动脉建立通路。用18F大鞘尝试通过右股动脉可行,在无大鞘保护下送入输送器。
2、本例患者主动脉瓣环角度大,瓣口面积小,导致跟进导管时后继支撑力欠佳,需要使用Snare辅助改变导管指向,遂采用辅入路对侧Snare辅助过弓跨瓣。
3、选用18mm球囊预扩、L23号VenusA-Valve瓣膜、采用VenusA-Plus输送系统确保瓣膜的精确释放,释放过程中灵活调整瓣膜位置,密切关注瓣膜形态,瓣膜释放后结合造影和超声情况,决定是否后扩。
术中精彩回顾
主动脉根部造影

18mm球囊预扩

导丝跨瓣

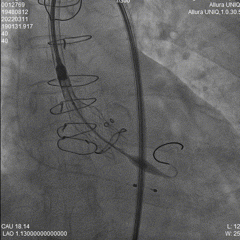
对侧Snare辅助

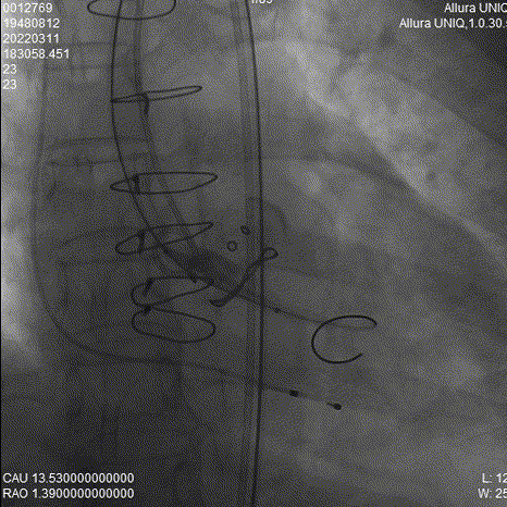
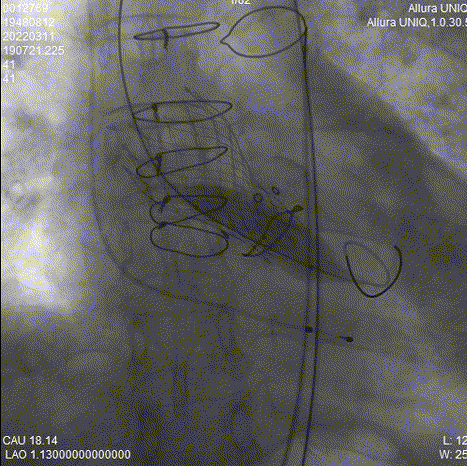
Snare辅助过弓

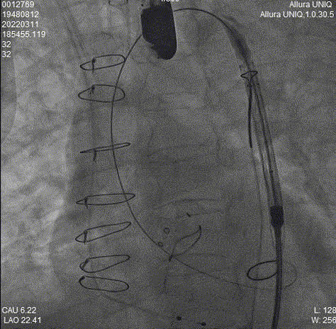
瓣膜释放过程

球囊后扩

瓣膜最终形态
术后造影及经食道超声探查未见瓣周漏,人工瓣膜无明显返流,跨瓣压差术前100mmHg,术后降为10mmHg,术中及术后未出现相关并发症,手术圆满完成。
术后总结:
中国结构性心脏病的介入治疗飞速发展,TAVR遇到的困难情况越来越多。由于主动脉瓣生物瓣膜的使用期限为10-15年,已经经受过外科生物瓣介入治疗或经受过TAVR手术后的生物瓣衰败患者数量也会逐年增多。该患者挑战难度极大,需要结合术前CT分析,对瓣膜结构及外周入路充分评估后制定手术策略
1、患者股动脉入路狭窄、钙化,通过评估和18F大鞘尝试后可采用无鞘法建立通路。
2、术中Snare协同操作,调节主动脉瓣前送时的指向性和改善力量传导,最终成功将瓣膜送至合适位置。对于比较复杂的主动脉根部和瓣环解剖,临床上遇到困难各不相同,可根据各自中心经验和拥有器械情况,因时因地制宜,做到个体化的分析、判断和决策十分重要。
3、释放瓣膜时需要时刻观察瓣膜位置和瓣膜形态变化,术者结合瓣膜释放后造影和超声情况决定使用18mm球囊进行后扩,情况得到即刻改善。
专家简介
陈晓敏
宁波市第一医院
浙江省医学会心血管病学分会副主委;浙江省心血管协会副理事长;浙江省医学会起搏与电生理分会常务委员;中国医师协会心血管内科医师分会委员;中国老年学和老年医学学会老年病学分会心血管精准医疗专家委员会;宁波市医学会心血管分会副主委;宁波市中西医结合学会心血管病专业委员会主任委员;宁波市医学会起搏与电生理分会主任委员。
