浙大二院王建安教授团队成功完成DragonFly功能性二尖瓣反流首例入组

2022年3月12日,浙江大学医学院附属第二医院王建安教授团队应用由杭州德晋医疗科技有限公司研发的经导管二尖瓣瓣膜夹系统(DragonFly)成功完成全国首例功能性二尖瓣反流(FMR)入组。今年1月,应用DragonFly治疗中重度或重度器质性二尖瓣反(DMR)的临床研究已取得完美收官,此次针对FMR的临床研究再次标志着中国第一款完全自主研发的经股静脉二尖瓣修复产品在我国二尖瓣介入治疗领域取得重大突破。


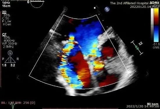
患者一为58岁女性患者,诊断为扩张型心肌病,功能性二尖瓣反流,优化药物治疗后仍反复胸闷、心慌,术前经胸超声检查提示二尖瓣大量反流4+,左室舒张末径61.2mm,左室收缩末径50mm,左室射血分数37.2%,缩流颈0.76cm, 有效反流口面积0.64cm²,二尖瓣瓣口面积4.25cm²。

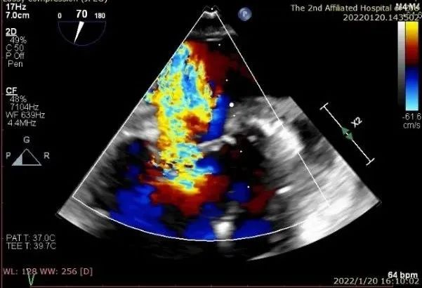
患者二为76岁女性患者,诊断为缺血性心肌病,功能性二尖瓣反流,完全血运重建和优化药物治疗后仍有症状,术前经胸超声检查提示二尖瓣反流4+,左室舒张末径60.7mm,左室收缩末径50.2mm,左室射血分数35.7%,缩流颈0.94cm, 有效反流口面积0.6cm²,二尖瓣瓣口面积4.46cm²。

整个手术流畅完美,二位患者均释放1枚瓣膜夹,术后二尖瓣瓣口由单孔变成双孔,即刻二尖瓣反流程度均几乎零反流。

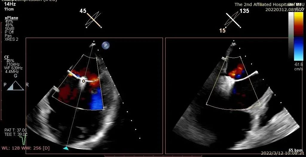
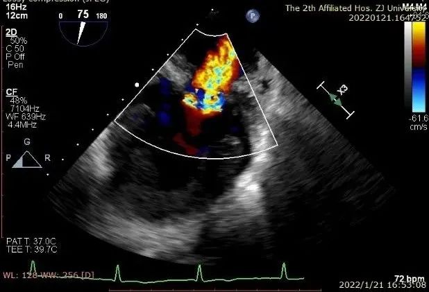
患者一术前二尖瓣反流重度4+

患者一术后二尖瓣零反流

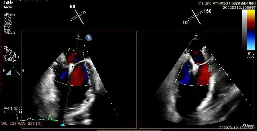
患者二术前二尖瓣反流4+

患者二术后二尖瓣零反流

DragonFly经导管二尖瓣瓣膜夹系统由杭州德晋医疗科技有限公司历经多年自主研发,浙二医院王建安教授及其团队在项目研究过程中做出了重要贡献。


阅读数: 4999
相关专题