2022年3月5日,浙江大学医学院附属第一医院心脏大血管外科马量主任带领的心脏MDT团队,在外科李伟栋主任、超声科牟芸主任、麻醉科王奎荣主任的通力配合下,在麻醉科、手术室、超声科、放射科、ICU等科室的支持下,顺利为重度二尖瓣关闭不全老年患者实行了MitraFix®经心尖二尖瓣置换法规临床试验手术。手术过程无出血,术毕超声证实瓣膜无反流和瓣周漏,标志着浙大一院心外科率先进入经导管二尖瓣置换领域的全国领先行列,由胡盛寿院士作为全国PI的NMPA注册试验再次取得成功。
患者77岁女性,入院后诊断为重度二尖瓣关闭不全(FMR)、慢性心功能不全、缺血性心肌病、房颤心律(快心室率)、轻度肺动脉高压、三尖瓣反流。肌酐101μmol/L,心脏超声提示:双房增大、左室增大、心功能III级、二尖瓣大量反流、三尖瓣反流;提示外科手术风险极高(STS评分10.28)。
术前超声评估:
术前TTE超声提示二尖瓣大量反流
手术在单纯超声引导下完成,采用左侧第六肋间微创切口心尖入路,在食道探头引导下,清晰识别MitraFix®输送系统准确跨瓣,超声科牟芸主任通过多平面超声引导下精准定位瓣膜方位,在双平面下精准定位瓣膜释放高度及保证系统的同轴性,最终将人工瓣膜准确释放于二尖瓣瓣环。
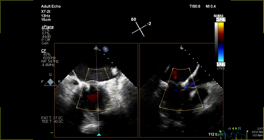
术后超声评估:
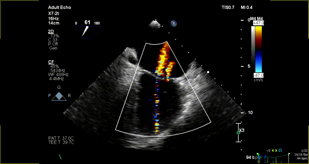
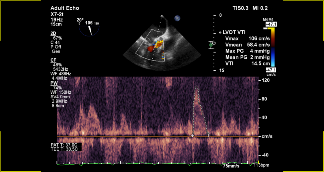
术后无反流、左室流出道通畅
马量主任表示:
二尖瓣反流(MR)是老年人最为常见的心脏瓣膜病变,严重影响心功能和生存质量。常规传统治疗是通过外科开胸手术进行修复或置换瓣膜,手术创伤大、对于高龄高危的患者,很多无法耐受而不得不放弃治疗。
介入二尖瓣置换(TMVR)是继介入主动脉瓣置换(TAVR)后,心脏瓣膜治疗领域又一大革命性治疗进展,是国际介入二尖瓣领域的研发热点和难点,由于二尖瓣结构的复杂性与较高的技术壁垒,研发难度非常大,目前绝大多数均处于探索性或临床试验阶段。国产MitraFix®介入人工二尖瓣膜NMPA注册临床研究的顺利开展,标志着我国介入二尖瓣置换创新领域已达到国际一流水平,今后将大大造福广大的高龄高危二尖瓣患者。
李伟栋主任表示:
近些年经导管二尖瓣治疗技术大大发展,介入二尖瓣修复领域已有很多的治疗经验。但二尖瓣结构复杂,病变和解剖类型多种多样,退行性(DMR)及功能性(FMR)二尖瓣关闭不全构成的复杂二尖瓣反流疾病谱,大大增加了该类瓣膜病变的治疗难度。不同于介入二尖瓣修复对病变类型部位等有较严格的要求,介入二尖瓣置换不受瓣膜病变解剖的限制,兼容FMR和DMR,有着更广泛的应用前景和价值。
MitraFix®经心尖二尖瓣植入系统、操作简便易上手,植入成功率高,且仅需经超声引导即可完成,绿色无辐射手术。具有创伤小、手术时间短、安全性高、术后恢复快等优点,适合高龄高龄,难以耐受常规手术患者。希望MitraFix®介入二尖瓣能早日上市,给患者带去更多的选择和希望。
专家简介
马量
浙江大学医学院附属第一医院
浙江大学医学院附属第一医院心脏大血管外科博士,主任医师,博士生导师,瑞士洛桑大学医学院博士学位获得者。现任心脏大血管外科主任,心脏移植中心主任。2018年中国医师协会心血管外科好医师之“金刀”荣誉称号获得者。目前担任浙江省医学会胸心外科学分会候任主任委员、浙江省医师协会心血管外科医师分会会长、亚洲瓣膜病学会常务委员、中国医师协会器官移植分会委员、浙江省医学会器官移植分会委员、国家心血管病专家委员会微创心血管外科专业委员会常委等。
从事心胸外科的临床工作30年,完成心脏外科手术超万例,在成人心脏瓣膜病、先心病、冠心病、心脏肿瘤、主动脉夹层、房颤等心脏疾病的外科治疗积累了十分丰富的经验。尤其在微创心脏外科领域成绩斐然,带领科室发展迅速,在2020年度微创二尖瓣手术排名全国第二,连续5年举办心脏微创瓣膜手术全国直播演示。在心脏移植领域也独有建树,主刀百余例,主动脉阻断时间创全国最短纪录,2020年并完成全国最高龄78岁心脏移植。2021年完成全国首例心肌淀粉样变心肝联合移植。为浙江省和中国在心血管外科领域的发展和后备队伍建设不断贡献着力量。
获得浙江省科学进步二等奖、浙江省医药卫生科技二等奖等多个奖项,已发表SCI论文60余篇,申请授权专利2项。主持国家自然科学基金2项,浙江省重点研发项目1项,参与多项十二五、十三五国家重点研发计划。
李伟栋
浙江大学医学院附属第一医院
浙江大学医学博士,主任医师,英国伦敦心脏病中心访问学者。目前担任浙大一院心脏大血管外科副主任、心脏移植中心副主任、微创中心副主任,心胸外科党支部副书记,兼任中华医学会胸心血管外科学分会全国青年委员、亚州心脏瓣膜病协会中国分会全国委员、国家结构性心脏病介入质量控制委员会委员、中国研究型医院学会互联网医院分会全国委员、浙江省医学会胸心外科学分会秘书兼青年委员会副主任委员、浙江省心血管外科医师协会常委兼总干事。
同时掌握内科介入技术和外科微创技术,致力于为每一位患者提供最优化的微创治疗。至今已主刀完成各类心胸外科手术4千余例,手术效果优良。成功完成多例全省及全国首例微创复合手术(全国首例经心尖TAVI联合同期肺癌根治术,全国首例经心尖mitralstitch”缘对缘+腱索”二尖瓣介入成形术,全国首例微创冠脉多支搭桥联合同期肺癌根治手术等),2019年度心脏瓣膜类介入TAVI手术量排名华东区心外科前3,先心病介入封堵手术量心外科全省第一,省内首创24小时日间手术模式。在省内率先开展一站式房颤全腔镜微创射频消融及左心耳切除手术,手术数量和效果均居全国先进行列。另外,作为主要参与人,成功完成我省多例心脏及多器官联合移植手术。
近年来,主持及主参国基金、省科技厅等课题共13项。以第一或通讯作者共发表SCI论文22篇(1篇JACC杂志 IF14.08分,2篇TOP期刊),获浙江省科技进步二等奖及三等奖各一项。

