美国心血管研究技术会议(CRT)是世界领先的介入心脏病学会议之一, 今年CRT2022介入和血管内专家会议,于2月26日至3月1日在华盛顿召开。本次会议恰逢CRT25周年,特别设置手术直播环节,邀请全球顶尖的心血管领域医疗机构,会议邀请到了厦门大学附属心血管病医院王焱教授团队进行TAVR手术直播。
厦门大学附属心血管病医院(以下简称“厦心”)为国内顶尖心血管领域医疗机构,承担着国内心血管领域教学、培训、科研等重要角色。特别在TAVR术式中,厦心团队积累了丰富的临床经验,在该领域处于国内领先地位,团队也在本次手术直播中展示了他们的优异风采。
临床资料:
患者,男,77岁,以“突发性晕厥1年,加重1个月”为主诉入院。高血压、高血脂、冠心病、完全性右束支传导阻滞。
入院诊断:
1.心脏瓣膜病 主动脉瓣重度狭窄 2.冠心病 3.高血压病 4.高脂血症。
STS分数4.132%。NT-proBNP 837 pg/L(0-125);TNT 369 ng/mL (ULN<100);CREA 79.4 umol/L;LVEF 55%;BP:132/75 mmHg。
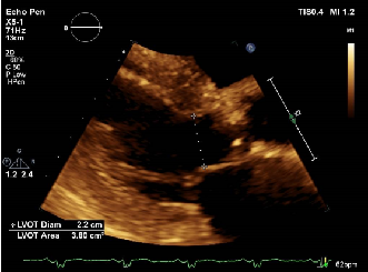
心脏彩超提示:
超声诊断:主动脉瓣重度狭窄;轻度二尖瓣反流,轻度三尖瓣反流;轻度肺动脉高压。
术前评估与讨论:
王焱教授团队领衔的结构心团队对该病例进行了专题探讨。患者合并高血压、高血脂、冠心病等多种基础疾病,患者及家属拒绝传统外科开胸手术。
患者为功能型二叶瓣,瓣叶增厚,重度钙化,右无可见钙化融合,左无局部粘连,瓣环平面仍可见钙化,双冠脉高度尚可,瓣叶未见冗长,考虑冠脉风险较低,心脏角度约51°,考虑瓣环平均直径26.4mm,流出道平均直径24.8mm,短径为23mm,选择23球囊预扩,结合中国人群二叶瓣比例高,钙化重,故选择径向支撑力强的启明第三代可回收Venus-A Pro 29mm瓣膜。
入路选择: 主动脉弓降部走行呈直角,整体直径较大,但存在多处扭曲(胸主动脉+腹主动脉+双侧髂动脉-股动脉),综合考虑,荐右侧股动脉做为主入路。
手术过程:
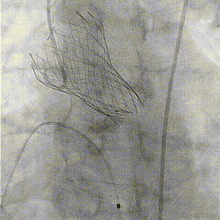
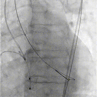
主动脉根部造影
球囊预扩

瓣膜释放

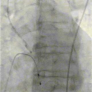
球囊后扩
左室造影
术后总结:
“Perfect ! ” “well done !” “Everything looks great , Congratulations to what you did ! ” 随着各位外籍点评专家的肯定和祝贺,王焱教授团队完美完成了这台直播手术。本次手术厦心王焱教授团队从筛查,诊断,治疗等多角度,全方位高水准展示了中国心血管介入手术的高超水准,整个流程团队配合默契,让全球专家予以赞赏!
我国主狭患者的二叶瓣比例高达40%,远高于欧美人群。二叶瓣主动脉狭窄常合并重度钙化,对TAVR手术的技术要求更高。Venus-A Pro相比同类瓣膜,有更强大的径向支撑力,更适合合并重度钙化的二叶瓣主动脉瓣狭窄患者。
目前,经导管主动脉瓣置换术已成为重度主动脉瓣狭窄及关闭不全患者改善症状和预后的有效治疗策略。厦门大学附属心血管病医院在该领域不断创新,勇于挑战,无论手术量及手术难度都处于国内领先地位。此次主瓣置换手术,充分展示了国产自主品牌启明第三代可回收瓣膜Venus-A Pro的通过性和更好的操作性,完美演绎了应用结构性心脏病领域瓣膜置换最新器械治疗高危复杂的手术病例。厦心结构性团队将继续在王焱教授的领导下,孜孜不倦,尽心竭力,为广大老年瓣膜性心脏病患者带来更多的帮助。
患者在医护人员精心监护下,于术后第二天就下床活动,预计不久即可康复出院。
专家简介
王焱
厦门大学附属心血管病医院
厦门市心血管疾病重点实验室主任,美国心脏病学院院士(FACC);香港大学医学院博士,中华医学会心血管病分会全国委员,中华医学会心血管病学分会介入心脏病学组副组长,卫生部海峡两岸医药交流协会心血管分会候任主任委员,中国胸痛中心认证工作委员会副主任委员,中国医师协会心血管内科医师分会委员,中国老年学学会心血管专业委员会常委。国务院特殊津贴专家,厦门市首届医学科学与技术带头人,厦门市科学技术重大贡献奖获得者,厦门经济特区建设30周年杰出建设者,第九届中国医师奖获得者。
王斌
厦门大学附属心血管病医院
主任医师、博士、副教授、急诊科主任
主要从事心血管内科临床、冠脉介入、瓣膜性心脏病微创介入及胸痛中心建设、维护及认证工作。任中国胸痛中心区域认证中心(厦门)分中心办公室主任、中华医学会心血管病学分会结构性心脏病学组委员、中国胸痛中心认证专家、中国医师协会心力衰竭专业委员会青年工作委员会第一届委员、中国医疗保健国际交流促进会血管疾病高血压分会委员、福建省医学会心血管病分会委员、海峡两岸卫生交流协会心血管分会委员、中国研究型医院学会心血管分会委员。

