2022年2月20日,陆军军医大学西南医院心内科张志辉主任团队应用TaurusElite系统成功为一例患者完成经导管主动脉瓣膜置换(TAVR)手术,该病例极具挑战,患者为Type0型二叶式主动脉瓣,瓣叶增厚,轻度钙化,收缩期小左室等特点加大了该手术的难度,对于术者及假体瓣膜都有着较高的要求。术中使用TaurusElite新一代可回收瓣膜优异的径向支撑力协助术者顺利完成手术,并未出现假体瓣膜位移等情况。患者植入人工瓣膜后瓣膜工作正常稳定,均未出现并发症,术后即刻患者血流动力学得到了显著改善,为患者带来更长久生存期受益和更高生活质量。
患者基本信息
患者为68岁男性,以心悸、乏力、黑矇为主要表现,门诊以“心脏瓣膜病”收治入院。超声提示:主动脉重度狭窄、二尖瓣轻度反流、三尖瓣轻度反流、左室舒张功能减退。评估后拟行经导管主动脉瓣置换手术。
术前评估
1.主动脉瓣瓣环周长64.3,平均周长径20.1。
2. Type0型二叶式主动脉瓣,轻度钙化,左右冠脉不共窦,右冠窦瓣叶附着缘后联合区有钙化分布呈连续条状,瓣叶增厚增长。
3. 左右冠脉开口高度可,左冠多发钙化。
4. 瓦氏窦、窦管交界、升主动脉内径可。
5. 非横位心,流出道呈收口状,收缩期小左室,心肌增厚;主动脉弓宽度及弓部夹角可。
6. 双侧股髂动脉未见明显扭曲,腹主动脉存在钙化斑块,管腔内径可,整体血管条件良好。
病例特点
该病人为一例典型Type0型二叶式主动脉瓣重度狭窄患者,结合瓣叶增厚及钙化情况,人工瓣膜定位及锚定难度大。
1.Type0型二叶式主动脉瓣,轻度钙化,右冠窦瓣叶附着缘存在钙化,综合预估存在人工瓣膜形变、瓣环撕裂及根部损伤风险;并且受瓣口形态限制及瓣叶基本无钙化影响人工瓣膜向下移位风险偏高、瓣膜锚定难度增高,存在瓣周漏及瓣中瓣风险。
2.冠脉开口高度可,瓣叶增长,结合瓦氏窦、STJ内径及钙化粘连情况综合预估冠脉风险适中,术中关注冠脉血流灌注。
3.非横位心,主动脉弓距和弓部夹角可,预计输送系统可顺利过弓、跨瓣。
4.收缩期小左室,心肌增厚,术中密切关注血流动力学变化,警惕循环崩溃风险。
5.外周入路走行未见明显扭曲,腹主动脉存在钙化,血管内径可,综合评估血管并发症风险不高,入路穿刺规范操作,小心通过,避免血管损伤及相关并发症。
主动脉根部评估
瓣环上解剖结构评估
外周血管及主动脉弓解剖
手术策略讨论
1.根据外周入路情况推荐常规右侧股动脉作为主入路,左侧为辅助入路。
2.根据当前影像及测量数值,推荐 LAO 31° CRA 21° (双窦展开位)左右跨瓣。预扩角度为 LAO 31° CRA 21°(左冠切线位) 左右;推荐释放角度LAO 31° CRA 21°左右( 双窦展开位)。推荐瓣环下0-2mm定位释放,释放角度 LAO 31° CRA 21°(双窦展开位)左右,建议释放至工作位(瓣膜2/3高度)后,调整至正交位 RAO 22° CAU 32° 左右进一步确定冠脉冠灌注及人工瓣膜展开形态。释放后可再次多角度进一步评估瓣膜形态;建议充分利用瓣膜系统部分及完全可回收功能,确认瓣膜基本稳定及瓣周漏效果后再完全释放。
3.根据CT测量瓣环及瓣上结构数值,推荐选择20mm球囊预扩张,AV23瓣膜。
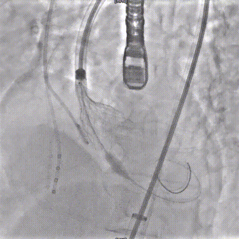
手术过程概览
主动脉根部造影

20mm球囊预扩

输送器过弓

瓣膜释放到工作位
23mm瓣膜释放

术后造影
术后即刻评估
术后平均压差在5mmHg左右,几乎无反流,瓣膜正常工作。
专家简介
张志辉
陆军军医大学第一附属医院
博士生导师,副主任医师、副教授,享受军队优秀专业技术人才岗位津贴,军队后勤专家库成员,陆军科技英才,重庆英才创新领军人才,重庆市学术技术带头人后备人选,陆军军医大学学术委员会委员。现任陆军军医大学第一附属医院(重庆西南医院)心血管内科主任,兼任中华医学会心血管病学分会大血管组委员、中国医师协会心血管内科医师分会委员兼结构性心脏病学组委员等学术任职。从事心血管系统疾病的诊疗工作,擅长冠心病介入治疗及其基础、临床研究。牵头成立了西南区域首个CT-FFR分析中心,主持开展了基于FFR/IMR的冠状动脉生理评估、经导管主动脉瓣植入术等临床新技术。具有丰富的心血管系统疾病临床诊治经验及急危重症救治经验。先后获重庆市科技进步一等奖2项,军队医疗成果二等奖1项。主持国家自然科学基金青年及面上项目、军队及重庆市重点项目等各级课题10余项。创建了代谢生物钟专业数据库“Circa Met DB”。以第一/通讯作者发表论著38篇(SCI论文 17篇,其中Top期刊3篇,Cell子刊2篇,最高影响因子20.8),参与制定行业专家共识3部,副主编专著2部,参编5部。
