2022年2月25~26日
广东省人民医院罗建方教授团队与澳门镜湖医院谭冠昶教授团队通力协作、香港李耿渊教授线上学术交流,运用美敦力Evolut PRO瓣膜成功于澳门镜湖医院为4名高龄主动脉瓣重度狭窄患者行经导管主动脉瓣置换术(TAVR)。
此次合作手术的患者均为高龄重度狭窄,平均年龄76岁,最大84岁;两例患者为三叶瓣,两例为二叶瓣,其中一例是0型二叶瓣;都伴有不同程度的钙化,同时部分患者存在主动脉弓斑块和横位心等情况。
综合来看,对手术团队和器械的应用都存在一定的挑战。
最终,4台手术在在罗建方、李捷、谭冠昶教授及团队成员的密切配合下均圆满完成,并达到了罗建方教授和团队之前预期的效果。

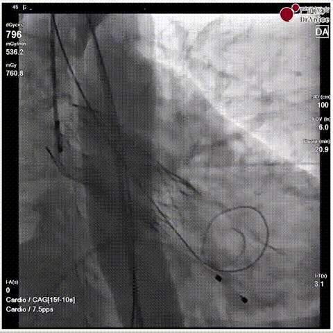
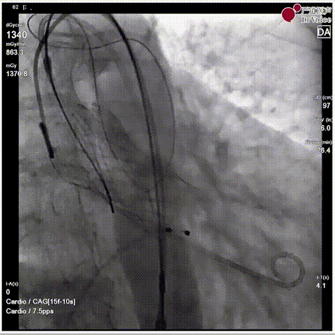
病例一

病例二
病例三
病例四
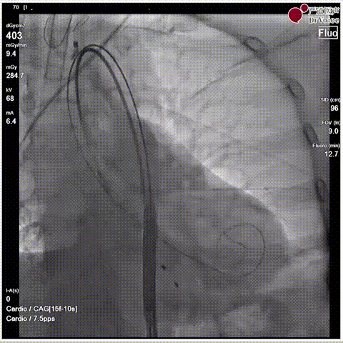
手术瓣膜释放后造影(4例)
其中,26日上午开展的第4台手术患者情况最为复杂:
患者是一名70岁女性,门诊心脏超声提示患者有退行性心脏瓣膜病变、主动脉瓣重度狭窄、二尖瓣轻度反流、三尖瓣轻度反流、肺动脉高压、左室舒张功能减退、升主动脉增宽且既往有高血压病史。
第4例患者术前CT
首先,Evolut PRO的瓣架设计在保证瓣膜整体顺应性的同时,强化了瓣架流入端支撑力和锚定能力;递送系统外径小,在过弓跨瓣以及一些难度较大的病例方面都呈现出较强的通过性, 加上系统特配的Confida导丝在操作过程中的完美搭配,充分增加了手术的可控性和稳定性。
其次,Evolut PRO背后的美敦力团队提供了专业且严谨的技术支持,包括TAVR手术前产品培训、手术器械和影像分析的准备,以及标准化的流程和质量控制。例如:瓣膜植入前仍会进行X光下装瓣检查,以确认瓣架是否完好无损;更值得一提的是,整个装瓣过程只需单个成员即可快速完成,大大提高了手术效率和安全性。
众所周知,美敦力在行业内被称为“全球自膨式TAVR的鼻祖和金标准”,Evolut PRO更是美敦力瓣膜产品历经多次迭代后的创新产品,它的诞生凝聚了美敦力和国内外临床专家最核心的瓣膜设计智慧。
因此,对于Evolut PRO在临床中的表现究竟如何,罗建方教授心中的“期待值”早已拉满。
“该款瓣膜给人最大的感受是它有着高度的可控性和稳定性,以及可预测性;这是它与其他瓣膜产品在使用上最大的不同。”
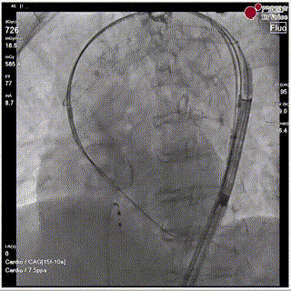
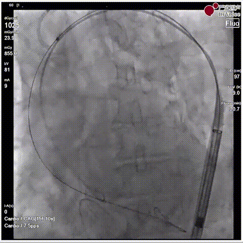
病例一

病例二

病例三

病例四
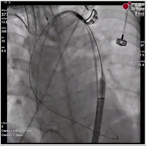
快速过弓跨瓣(4例)
同时,罗建方教授结合此次4台手术的经验,总结了一些使用心得:
Evolut PRO的可回收功能给了TAVR术者更高的容错率,手术时可以放心大胆的运用Evolut PRO行TAVR手术。
对于今后Evolut PRO在国内的深度应用,罗建方教授充满信心。他指出,Evolut PRO是美敦力TAVR产品多次迭代创新的结果,有着更小的外径,瓣膜的设计理念也处于行业最领先的状态。
疫情之下,粤港澳3地术者携手,合力完成4台高难度TAVR手术并非易事,也更显得此次活动意义非凡!
借着大湾区高速发展的新契机和美敦力公司的学术支持,整个粤港澳连接得更为紧密,罗建方教授感慨时代带给了医疗领域快速发展的更多机会,也希望此次三地术者学术合作和交流的模式可以得到更好的延续,通过广泛的合作共同推动大湾区以及整个行业的快速发展,让更多患者得益于领先的科技和创新的技术。
美敦力被称为全球自膨式TAVR的“鼻祖”和领导者,始终坚守初心、引领创新、秉承匠心,让患者安心。
初心:优异的血流动力学表现
• 经典环上瓣设计,更大有效开口面积和更低跨瓣压差;
• 高缝合点设计,最大程度保证瓣叶打开和降低瓣叶应力。
创新:释放精准可控 结果安全可靠
• 稳定的多次可回收,调整至最佳植入深度;
• 生物组织外裙边,增加生物相容性,减少并发症;同时完美密封并稳固瓣膜释放,降低瓣周漏发生率。
匠心:操作简单省心 手术安全高效
• 输送系统内联鞘,实现低至5.5mm的入路要求,减少血管并发症;输送系统的脊设计,实现1:1响应,提高手术操控性,保证手术安全;
• 冲洗装载一体化的瓣膜压缩装载系统,实现瓣膜装载更精准和高效。
安心:超强循证证据 引领适应证变迁
• 配合独特Cusp Overlap,实现极低的起搏器植入率;
• Notion 研究证实的8年超长耐久性。