平凡时光,煦暖时刻在我院悄然发生,花束怀揣感恩,果实寓意美满,锦旗代表感恩,拥抱温暖你我。大医精诚,医者仁心,医疗技术革新不仅挽救患者生命,更将他们的美好情感守护,患者的感激之情不溢于言表, 江西省心血管病医院医务人员也收获满满感动。
2021年10月29日、2022年1月22日,江西省心血管病医院洪浪院长及心血管内科十病区团队,携超声科顾平主任、麻醉科周朝辉教授团队应用本土创新器械DragonFly先后为两位患者完成了经导管二尖瓣缘对缘修复手术(股静脉-房间隔入路)。能够为患者重获新生的信心,得益于瓣膜疾病微创技术的发展。
患者一
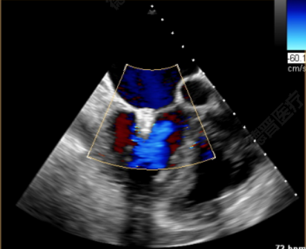
患者基本情况:69岁,老年男性;主诉:突发胸闷2周;B超结果:二尖瓣后瓣脱垂并中大量偏心性反流。
患者二
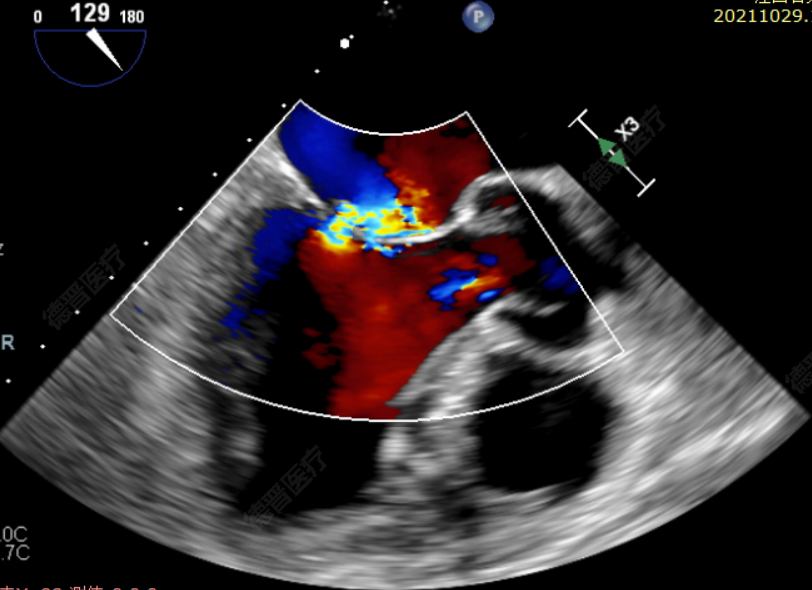
患者基本情况:71岁,老年男性;
主诉:2月前出现无明显诱因胸闷、气促,活动及劳累时症状加重 ;
B超结果:二尖瓣脱垂并伴有中重度关闭不全。
洪浪院长带领心脏瓣膜团队反复评估患者病情,考虑到患者年龄,手术风险较高,决定采用最优治疗方式,以提升患者术后生活质量。术中,洪浪院长及心脏瓣膜团队在超声和射线引导下经股静脉穿刺房间隔,通过输送系统将器械送入左心房,顺利到达病变区域,在经食道超声及DSA的引导下,成功植入DragonFly瓣膜夹,手术均取得圆满成功。两位患者于术后三天即康复出院,随访无任何不适症状,恢复情况良好。
术者术中操作
患者一术前超声
患者一术后超声
患者二术前超声
患者二术后超声
患者一术前术后报告对比
患者二术前术后报告对比
2021年5月4日,中国第一款自主研发的经股静脉-房间隔入路的二尖瓣瓣膜夹系统DragonFly正式进入临床试验。同年,江西省心血管病医院率先成功应用DragonFly开展首例经股静脉-房间隔入路二尖瓣缘对缘修复手术,此次手术的成功更奠定我院在心血管介入治疗领域的实力及地位,也再次验证了股静脉-房间隔入路经导管二尖瓣缘对缘修复手术的安全性和有效性。
什么是二尖瓣反流(脱垂)?二尖瓣反流(Mitral Regurgitation, MR)是最为常见的心脏瓣膜疾病,其在人群发病率为1.7%,并且会随着年龄增长而升高,在大于75岁以上人群中可高达10%以上,是由于二尖瓣瓣叶、瓣环、乳头肌、腱索等器质性或功能性改变导致二尖瓣前后叶吻合不良。据统计,中国目前需要干预治疗的二尖瓣反流患者约为750万,重症二尖瓣反流的1年死亡率高达57%。 二尖瓣反流(脱垂)的危害有哪些?二尖瓣反流可以分为急性和慢性,急性二尖瓣反流会立即引起左房压升高和呼吸短促;慢性二尖瓣反流患者的左房压仅有少量升高,疲乏和活动能力降低为主要症状。除头晕,乏力,心慌,胸闷等常见的临床症状以外,中重度以上二尖瓣反流(MR≥3+)会危及生命,未加干预的中重度以上二尖瓣反流患者3年生存率仅为55%。
因此患上二尖瓣反流(脱垂)时,一定要及时治疗,防止某些因素导致突然猝死,对生命健康造成威胁。
专家简介
洪浪
江西省心血管病医院
主任医师、教授、硕士、博士生导师。
江西省心血管病医院院长,江西省心血管研究所所长;卫计委“冠心病介入诊疗技术培训基地”、“先心病介入诊疗技术培训基地”及“心律失常介入诊疗技术培训基地”主任;中华医学会心血管介入培训江西基地主任;国家药物临床试验江西基地心血管专业主任;中国医师协会心血管分会先心病工作委员会委员;江西省介入心脏病学会理事长;江西省医师协会心血管内科医师分会会长;江西省“冠心病介入治疗质量控制中心”主任;江西省心血管病医院胸痛中心技术总监;江西省生物医学工程学会心电起搏分会常委;美国心脏节律协会会员;《中国介入心脏病学杂志》及《中国心脏起搏与心电生理杂志》编委;中国医疗保健国际交流促进会心血管健康医学分会委员,中国医疗保健国际交流促进会心血管病学分会委员。
