新春伊始,捷报频传。在周口市中心医院党委和领导层的关心及支持下,周口市中心医院心血管内科二病区冉华中教授团队应用SAPIEN 3瓣膜,再攀科室新技术、新业务高峰;接连为两位重度主动脉瓣狭窄患者实施经皮导管主动脉瓣置换术(TAVI术),术后均无并发症且几乎没有瓣周漏,两位患者恢复良好均已出院。两例手术的成功开展不仅避免了患者行传统开胸和体外循环带来的伤痛,也标志着周口市中心医院心内科介入技术水平迈上新台阶。
基本情况:
患者为75岁男性。因发作性胸闷、气短入院。
术前检查:
心脏超声发现主动脉瓣重度狭窄。
瓣膜面积0.71cm²,最大流速4.1m/s。
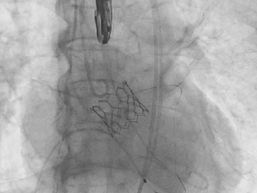
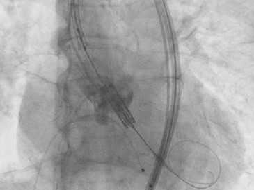
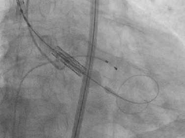
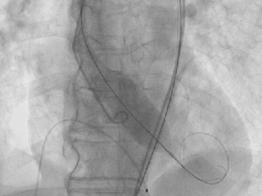
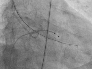
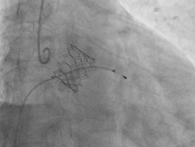
术中关键步骤影像:
25mm球囊预扩
29mm S3瓣膜-3cc释放
瓣膜释放影像
病例2:高龄、长期心功能不全
基本情况:
患者为70岁男性。因劳力性气喘无法活动入院。
术前检查:
超声提示主动脉瓣重度狭窄合并中度关闭不全,二尖瓣中等量反流,三尖瓣少量反流。
制定策略:
最终影像
术后复盘:因症为制,发挥显著优势
参考文献:
注释:1. SAPIEN 3瓣膜为经导管主动脉瓣膜系统,注册证编号:国械注进20203130291。
专家简介
冉华中
周口市中心医院
主任医师,心内科主任。周口市胸痛中心医疗总监,心脏介入首席专家。
中国胸痛中心认证委员会认证专家,河南省卫生厅首批心血管疾病介入诊疗资职认证医师 (冠心病ⅠB 、心律失常ⅡB级)。
现任河南省医学会心血管病学分会委员;河南省医师协会心血管内科医师分会常务委员;河南省医学科普学会心血管病专业委员会副主任委员;河南省医学会心电生理与起搏分会委员;河南省医学会心血管病学分会第一届结构性心脏病学组副组长;河南省医师协会首届高血压委员会常务委员;河南省房颤中心联盟委员会常务委员;河南省胸痛中心规范化建设专家指导组委员;河南省卒中学会心血管分会心律失常房颤专业委员会常务委员;河南省中医药学会介入心脏病学分会常务委员;河南省生物医学工程学会介入医学与工程专业委员会常务委员;河南省健康管理学会心血管健康管理专科分会委员;第四届国际血管联盟(IUA)中国分部心血管病专业委员会委员;周口市医学会心内科专业委员会主任委员。
在国家级及省级学术期刊上发表论文20余篇,攥写论著4部,获省科技进步奖1项,市科技成果奖9项。
专业方向冠心病、心律失常的介入诊疗及各种复杂、疑难心血管疾病的诊治。
