近日,西京医院心血管外科杨剑刘洋教授结构性心脏病团队成功完成国家“十三五”重点研发项目——介入肺动脉瓣膜(PT-Valve®瓣膜)的经导管微创植入,此次手术完成了2例患者介入肺动脉瓣膜植入术,术后造影肺动脉瓣膜无反流、无瓣周漏,手术效果显著,标志着国内多中心开展的介入无菌经导管肺动脉瓣膜及输送系统治疗领域再一次登上一个新的台阶。
患者情况汇总如下:
患者1:女性,31岁,主因肺动脉瓣狭窄术后28年,1年前因为引产查体发现心脏杂音,诊断:肺动脉瓣狭窄矫治术后、肺动脉瓣关闭不全;心功能Ⅱ级。
患者2:女性,48岁,主因心脏病术后26年,伴心悸、气短加重,期间多次出现复发并有加重迹象,诊断:肺动脉瓣狭窄矫治动脉导管结扎术后、肺动脉瓣关闭不全;三尖瓣关闭不全;心功能Ⅲ级。
入院后,西京结构性心脏病团队为患者进行了全面评估,两例患者均存在肺动脉瓣膜置换手术指征,在术前CT、超声、3D打印等多模态影像技术支持下,严密论证,精心部署,为患者制定个性化手术方案,采用PT-Valve®瓣膜行经导管肺动脉瓣置换术(TPVR),手术顺利,术后肺动脉瓣反流均明显改善,患者症状缓解。
患者1 肺动脉术前CT评估及3D打印模型
患者2 肺动脉术前CT评估及3D打印模型
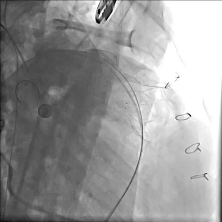
术后造影显示无明显肺动脉瓣反流(左图为患者1,右图为患者2)
迈迪顶峰研制介入肺动脉瓣PT-Valve
北京迈迪顶峰研制的PT-Valve®经导管肺动脉瓣膜为新一代国产自膨式瓣膜,主要适用于先天性心脏病矫治术后的肺动脉瓣反流或狭窄,具有适用范围广、创伤小、手术风险低、易操控等优点;能够有效改善此类患者心功能,显著提升患者的生活质量,较传统疗法具有明显的技术优势和更好的临床应用价值。
目前该项技术正在开展应用中,医院心血管外科门诊对于肺动脉瓣或者右心室流出道畸形而行心脏病矫治术后的患者,如法洛氏四联症、共同动脉干和肺动脉闭锁等先心病术后的患者,现存在肺动脉反流、右心室持续扩大、年龄在10岁以上或者体重在25公斤以上的患者进行重点收治。
专家门诊:西京医院门诊5楼心血管外科9诊室
杨剑教授:周五上午
刘洋教授:周一上午
专家简介
杨剑
空军军医大学西京医院
心血管外科一病区主任,博士研究生导师。曾于德国洪堡大学Charité医学院、德国柏林心脏中心、美国Cleveland Clinic医学中心等国际知名医学中心访问研修。担任美国心脏协会专家会员(FAHA)、 美国心脏病学会专家会员(FACC)、中国医师协会心血管外科医师分会结构性心脏病专业委员会副主任委员、中华医学会胸心血管外科分会第九届委员会青年委员、陕西省医疗器械不良事件监测专家咨询评价委员会专家。获聘陕西省中青年科技创新领军人才、陕西省科技创新团队带头人,为陕西省自然科学基础研究计划杰出青年科学基金项目获得者、西安交通大学兼职教授。担任Eur Heart J, BMJ,AJC等杂志特邀审稿人,《中华胸心血管外科杂志》、《心脏杂志》、《中国体外循环杂志》、《心血管外科杂志》、《精准医学杂志》编委。临床专长于复杂结构性心脏病的微创及介入治疗,在国内较先开展了经导管肺动脉瓣置换、主动脉瓣置换、二尖瓣修复、二尖瓣置换以及瓣周漏封堵等创新性技术。主要科研方向为结构性心脏病诊疗新技术以及心肌细胞损伤修复、重构和再生的临床转化研究。在微创心血管器械研发、临床转化及以3D打印为主的多模态影像学评估方面有一定建树。先后在Eur Heart J,JACC等国际期刊上以第一或通讯作者发表SCI论文30余篇,被Circulation,JACC等国际权威杂志引用500次,承担十三五国家重点研发计划、国家自然科学基金等10余项基金,经费1000余万元。荣获国家科技进步二等奖、中华医学科技一等奖、中华医学会胸心血管外科分会Lillehei奖学金“菁英奖”、中国医师协会胸心血管外科分会优秀青年医师“杏林奖”等奖励。授权国家专利20余项,出版专著、译著12部。
刘洋
空军军医大学西京医院
空军军医大学西京医院心血管外科博士,副主任医师,副教授,硕士研究生导师。微创结构性心脏病组组长,ECMO组组长。
美国马里兰大学医学院博士后。国家心血管病专家委员会微创心血管外科专业委员会委员。专注心血管疾病微创治疗。先后开展微创介入瓣膜病修复及置换术,瓣膜置换术后瓣周漏介入封堵术,主动脉缩窄球囊扩张支架成形术,冠状动脉漏介入封堵术等多项心血管疾病微创治疗新技术。在国内外发表研究论著70余篇,其中SCI论著28篇;主持军队重大专项子课题1项,国家自然科学基金1项,军队及省部级课题各3项;参加“863”重点课题,“十二五”、“十三五”国家重大科技专项等课题13项。获国家专利11项;主编专著1部,副主编专著3部,参编专著8部。获得省级科技进步一等奖1项,并先后获得美国ASAIO青年医师奖,欧洲Euro-ELSO青年研究者奖,中国医师协会心血管外科分会杏林奖,树兰卓越工程青年医师资助计划,中华医学会胸心血管外科分会Lillehei 奖学金及厄尔巴肯奖学金。现任中国医师协会心血管外科分会结构性心脏病专委会委员,中国研究型医院学会血管外科专委会青年委员,陕西省药理学会心血管药理学专业委员会常委,陕西省生物医学工程学会体外循环专业委员会委员,中国医疗保健国际交流促进会心脏重症分会陕西省工作委员会委员。


