武汉协和医院董念国教授团队应用TruDelta®经导管二尖瓣瓣膜系统成功完成经导管二尖瓣置换术

本周,华中科技大学同济医学院附属协和医院董念国教授团队联合心内科曾秋堂教授团队、超声医学科谢明星教授团队、麻醉科武庆平教授团队成功应用臻亿医疗TruDelta®经导管二尖瓣瓣膜系统为一位高龄重度二尖瓣反流患者实施微创介入二尖瓣置换术,此次手术过程顺畅,瓣膜植入位置良好,无瓣周漏无反流,术后患者各项指标正常,恢复良好。

图片

患者资料

71岁,女性。

主诉:活动后乏力气喘2月余。

现病史:

患者2月前出现活动后乏力气喘伴有咳嗽咳痰,与当地医院治疗效果不佳,于武汉协和门诊行心脏超声检查提示:左室壁运动弥漫性稍减弱;二尖瓣重度关闭不全;主动脉瓣退行性病变并中度关闭不全;三尖瓣轻度关闭不全;左心增大;右房饱满;升主动脉明显增宽;肺动脉增宽;轻度肺高压;左室收缩功能测值减低,舒张功能减低(Ⅱ级)。患者为进一步诊治,遂以“二尖瓣关闭不全“收入院。

既往病史:

高血压2级(高危);2型糖尿病;尿毒症。

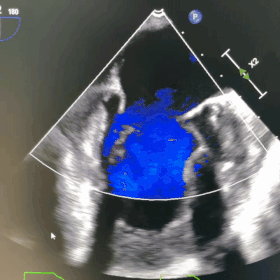
图片

术前超声

手术策略

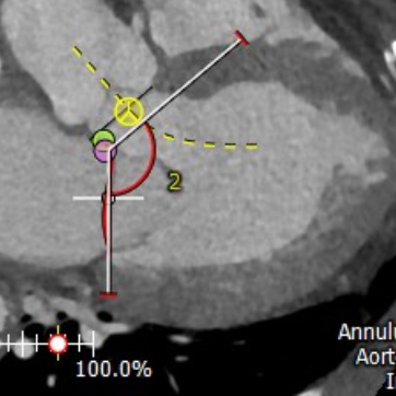
术前,武汉协和医院专家团队基于对患者详尽的CT测量分析,认为患者不适合外科开胸手术,故决定实施微创经导管二尖瓣植入。团队通过CT影像分析二尖瓣瓣环、测量其径线、计算二维投影径线并模拟植入TruDelta®经导管二尖瓣瓣膜系统,提前规划穿刺路径和人工瓣膜植入位置,降低手术风险。
图片
CT评估:舒张期瓣环
图片

 CT评估:瓣环夹角 

图片

CT评估:neoLVOT     

图片

CT术前规划植入位置

手术过程

此次手术经心尖入路,在纯超声引导下完成,术者以其精细的手术操作成功完成心肌穿刺并将导丝送至左心房,输送系统在导丝引导下进入左心房,在二维及三维超声引导下完成同轴定位、D型定位后,完全释放瓣膜,逐步撤出输送系统,再使用心尖固定系统根据血压调整瓣膜张力,进行心尖固定。

基于前期多学科团队的精准评估、术中专业团队精湛高深的手术技巧以及精良的TruDelta®经导管二尖瓣瓣膜系统,本次手术圆满成功,术后即刻超声显示二尖瓣反流消失,瓣膜植入位置理想,支架贴合牢固,无瓣周漏,二尖瓣前向血流通畅,结果令人满意。
图片
图片

术中超声

图片
图片

术后超声

术后,董念国教授表示,目前,对于高龄、合并症多、传统外科手术高危的中重度二尖瓣反流患者,经导管二尖瓣置换术已经成为其改善症状和预后的重要治疗策略,本次手术虽然难度大、风险高,但国产二尖瓣产品在术中的表现十分亮眼,相较于传统外科手术,该技术有创伤小、手术时间短、安全性高、术后恢复快等优势,为外科手术高危患者提供了又一条全新的治疗路径。

术者心得

1、术前进行详细的CT评估,确定入路、瓣膜类型及型号,通过提前规划穿刺路径,确定良好的人工瓣膜植入位置,有效降低手术风险。
2、二尖瓣置换术后瓣周漏是较为常见的并发症,极易引起心衰。术中可充分利用该产品独特的定位机制,在二维、三维食道超声引导下,进行居中定位,以避免因瓣膜位置不当引起的瓣周漏。
3、对此类高龄患者实施二尖瓣置换术,需要充分了解患者的瓣膜病诊治经过及严重程度;基于术前的全面评估,将患者健康状态调整到最佳后,再决定治疗方案、手术策略并评估其可行性及合理性;术中要抓住主要矛盾,快速处理病变部位,在最大程度改善患者生活质量并延长寿命的基础上尽量减少不良事件的发生。
阅读数: 2244