2月20日,云南省阜外心血管病医院潘湘斌院长带领的心脏MDT团队,在外科主任王小啟、结构病区主任潘家华、超声科骆志玲主任的通力配合下,在麻醉科、手术室、超声科、放射科、ICU等科室的支持下,顺利为重度二尖瓣复合病变患者实行了MitraFix®经心尖二尖瓣置换法规临床试验手术。手术过程无出血,术毕超声证实瓣膜无反流和瓣周漏,标志着由胡盛寿院士作为全国PI的NMPA注册试验再次取得成功。潘湘斌院长是同时掌握内科介入技术和外科手术技术的复合型心脏专家,负责该领域的疑难病例会诊,根据患者具体情况,将内、外科技术相互融合,取长补短,为患者实施外科微创手术、不开刀经皮介入、微创介入等个体化治疗。
患者69岁女性,入院后诊断为重度二尖瓣关闭不全、慢性心功能不全、缺血性心肌病、心功能IV级(NYHA分级)、II型糖尿病、高尿酸血症、PCI术后。BNP 760(0-125)、糖化血红蛋白6.4 (4-6)等诸多化验异常,心脏超声提示:心肌受累疾患、左房增大(60*47mm)、左室增大(65*74)、心功能减低(EF 29%)、二尖瓣大量反流、少量心包积液;磁共振示:LVEF 25.1%,CO 5.79L/min,各阶段室壁厚度基本正常、舒张横径74mm。提示外科手术风险极高(STS 9.5分)。
经过云阜结构组联合MDT团队综合讨论评估患者病情后,由于缺血性心肌病、PCI术后,心功能储备极差、外科手术风险高。决定进行MitraFix®经心尖二尖瓣植入。术前CTA测算瓣环AP径30mm 、CC径35.2mm、 周长获得直径34.5mm、左心室Neo LVOT面积可。但心尖部位心肌厚度仅4mm,心尖荷包缝合难度较高。
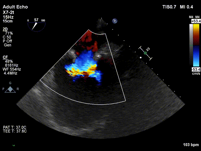
术前超声评估:
术前TTE超声提示二尖瓣大量反流
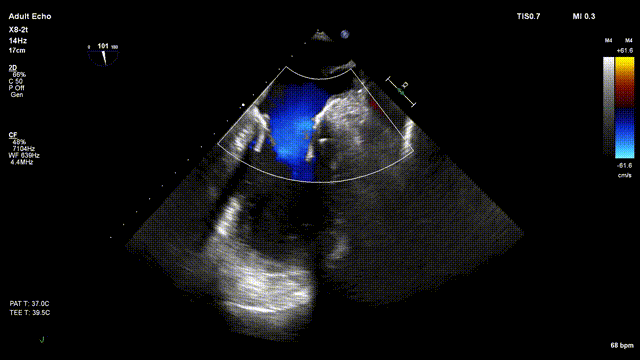
术中超声
手术在单纯超声引导下完成,采用左侧第六肋间微创切口心尖入路,在食道探头引导下,清晰识别MitraFix®输送系统准确跨瓣,超声科骆志玲主任、朱达主任通过Multivue在三维超声引导下精准定位瓣膜方位,在X-plane下精准定位瓣膜释放高度及保证系统的同轴性,最终将人工瓣膜准确释放于二尖瓣瓣环。

瓣膜释放后支架贴合牢固无瓣周漏,二尖瓣前向血流通畅, 左心室流出道通畅,流出到血流速度为0.4m/s。顺利撤出输送系统,由于患者心尖部位心肌壁只有4mm,潘湘斌院长亲自关闭心尖切口,顺利完成手术。
二尖瓣病变是发病率最高、介入治疗难度最大的瓣膜疾病。在我国,据不完全统计,二尖瓣病变潜在患者人数逾千万,治疗缺口极大。随着人口老龄化的发展,老年退行性心脏瓣膜病变越来越常见,严重影响人民健康和生活质量。
潘湘斌院长表示,对于年龄大、体质弱、病变重、合并严重疾病、无法耐受传统开胸手术的高危患者,此类患者功能性(FMR)二尖瓣反流的患者因为瓣环明显扩张、瓣叶被腱索拖拽拴系明显,不适合通过介入TEER技术进行修复、即使勉强也病情也容易复发,再次治疗只能通过外科置换增加手术风险。TA-TMVR该技术具有创伤小、手术时间短、安全性高、术后恢复快等优点,适合高龄、有外科手术史、心功能差、多脏器功能不全及主观上不愿做外科手术的高危患者。
MitraFix®经心尖二尖瓣植入系统、植入成功率高,操作简便极易上手;是仅需经超声引导即可完成的绿色无辐射手术,此技术能够快速下沉至三甲医院心脏外科,同时兼容暂无复合手术室配置的医院,以心医疗自主创新研发的MitraFix®系统给这些患者带来了新的希望。
退行性(DMR)及功能性(FMR)二尖瓣关闭不全构成的复杂二尖瓣反流疾病谱,也大大增加了该类瓣膜病变的治疗难度。介入二尖瓣诊疗器械的研发已成为全球心血管介入诊疗领域的热点及难点。不同于介入二尖瓣修复,以心医疗的MitraFix®系统不受瓣膜病变解剖的限制,兼容FMR和DMR,而且有着更广泛的市场应用前景,也是国际介入二尖瓣领域的研发热点。
作为我国第一款拥有全球范围自主知识产权,且同时拥有经心尖途径及经股静脉途径的介入二尖瓣置换产品,MitraFix®介入人工二尖瓣膜NMPA注册临床研究的顺利开展,也说明以心医疗已同步国外结构性心脏病最高赛道,标志着我国医疗器械研发企业已经达到国际一流水准。
专家简介
胡盛寿
中国医学科学院阜外医院
中国工程院院士,国家“973项目”首席科学家,主任医师,教授,博士生导师。现任国家心血管病中心主任,中国医学科学院阜外医院院长,心血管疾病国家重点实验室主任,国家心血管疾病临床医学研究中心主任,《中国循环杂志》主编,法国医学科学院外籍院士。为MitraFix®介入人工二尖瓣膜NMPA注册临床研究首席研究者。
潘湘斌
云南省阜外心血管病医院
主任医师,同时掌握内科介入技术和外科手术技术的复合型专家,负责该领域的疑难病例会诊,根据患者具体情况,将内、外科技术相互融合,取长补短,为患者实施外科微创手术、不开刀经皮介入、微创介入等个体化治疗。
现任职:云南省阜外心血管病医院执行院长;美国心脏病学会、美国胸外科医师协会资深外籍专家;国家卫生健康委医疗质量控制专家。
骆志玲
云南省阜外心血管病医院
博士,从事成人、小儿、胎儿心脏超声诊断临床医疗、教学、科研和人才培养20年,积累了超声心脏诊断的丰富经验,常年承担全省胎儿心脏超声的会诊工作,到省内讲学/指导30余次,云南省康复学会无创心功能分会主任委员,中国医师学会云南省超声分会副主任委员,云南省非公心血管疾病专委会副主任委员,中国妇幼保健协会胎儿心脏病防治专业委员会委员。


