
2022年2月(总第7期)
根据自体二尖瓣的病变情况,TMVR技术被分为四个大类:① “瓣中瓣”(Valve in valve)技术,针对既往外科二尖瓣生物瓣衰败的患者;② 环中瓣(Valve in ring)技术,针对既往外科瓣膜成形术植入人工二尖瓣瓣环的患者;③ 原位钙化瓣环植入(Valve in MAC),针对自身二尖瓣瓣环有严重钙化或关闭不全的患者;④ 原位瓣膜植入(Valve in native valve)。其中,外科生物瓣衰败后的瓣中瓣TMVR是目前最成熟,成功率最高的技术形式。
基本信息:
女,79岁,BMI 19.9,EuroScore II 11.20分,STS评分28.089%,患者二尖瓣置换术后17年,伴间歇性气短6月。术前诊断:二尖瓣狭窄伴关闭不全,二尖瓣置换术后,三尖瓣关闭不全,起搏器植入术后,心功能IV级,冠状动脉粥样硬化性心脏病。
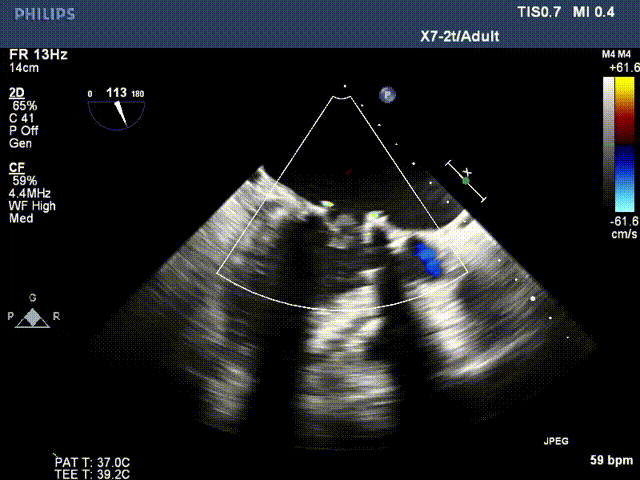
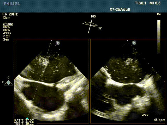
术前超声:
长轴切面二尖瓣狭窄伴关闭不全
三维成像短轴切面观察二尖瓣
术前CT评估:
术前心脏3D模型:
手术策略:
术中操作:

房间隔穿刺成功

14mm球囊扩张房间隔


预弯长鞘跨瓣就位

瓣膜系统沿长鞘跨瓣


送入26mmPrizValve定位并释放

术后造影无明显瓣周漏
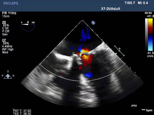
术后超声:
总结体会:
1.TMVR瓣中瓣是目前TMVR技术中最成熟的一种技术形式,而采用经股静脉房间隔穿刺路径创伤小,手术安全性高,是首选的入路。但该入路较经心尖入路手术难度相对较大,主要技术难点在于精准的房间隔穿刺位置和理想的输送轨道建立。
2.TMVR的房间隔穿刺高度不同于TEER,应穿刺卵圆窝中部,距离二尖瓣环3cm左右位置,术中可以DSA透视下人工二尖瓣环中点为高度标志,同时略靠后穿刺,可获得理想的跨二尖瓣输送轨道角度。对于首次外科二尖瓣置换手术时采用房间隔入路患者,由于术后瘢痕问题穿刺难度较大,应注意穿刺力度和技巧。
3.房间隔穿刺成功后,建立理想的跨二尖瓣输送轨道对手术顺利进行也至关重要。采用预弯长鞘直接跨二尖瓣后建立轨道能够提高手术效率,避免过度扩张房间隔,瓣膜支架脱载,跨瓣困难等问题,整体手术时间明显缩短。
本例手术,术前结合CT及3D打印技术周密规划手术策略,术中精准定位房间隔穿刺位置,结合预弯长鞘应用,有效提高了TMVR瓣中瓣手术安全性和手术效率,正所谓“化曲为直,捷径通优”。
专家简介
杨剑
空军军医大学西京医院
心血管外科一病区主任,博士研究生导师。曾于德国洪堡大学Charité医学院、德国柏林心脏中心、美国Cleveland Clinic医学中心等国际知名医学中心访问研修。担任美国心脏协会专家会员(FAHA)、 美国心脏病学会专家会员(FACC)、中国医师协会心血管外科医师分会结构性心脏病专业委员会副主任委员、中华医学会胸心血管外科分会第九届委员会青年委员、陕西省医疗器械不良事件监测专家咨询评价委员会专家。获聘陕西省中青年科技创新领军人才、陕西省科技创新团队带头人,为陕西省自然科学基础研究计划杰出青年科学基金项目获得者、西安交通大学兼职教授。担任Eur Heart J, BMJ,AJC等杂志特邀审稿人,《中华胸心血管外科杂志》、《心脏杂志》、《中国体外循环杂志》、《心血管外科杂志》、《精准医学杂志》编委。临床专长于复杂结构性心脏病的微创及介入治疗,在国内较先开展了经导管肺动脉瓣置换、主动脉瓣置换、二尖瓣修复、二尖瓣置换以及瓣周漏封堵等创新性技术。主要科研方向为结构性心脏病诊疗新技术以及心肌细胞损伤修复、重构和再生的临床转化研究。在微创心血管器械研发、临床转化及以3D打印为主的多模态影像学评估方面有一定建树。先后在Eur Heart J,JACC等国际期刊上以第一或通讯作者发表SCI论文30余篇,被Circulation,JACC等国际权威杂志引用500次,承担十三五国家重点研发计划、国家自然科学基金等10余项基金,经费1000余万元。荣获国家科技进步二等奖、中华医学科技一等奖、中华医学会胸心血管外科分会Lillehei奖学金“菁英奖”、中国医师协会胸心血管外科分会优秀青年医师“杏林奖”等奖励。授权国家专利20余项,出版专著、译著12部。
刘洋
空军军医大学西京医院
空军军医大学西京医院心血管外科博士,副主任医师,副教授,硕士研究生导师。微创结构性心脏病组组长,ECMO组组长。

