
作者:解放军总医院第六医学中心心血管病医学部
陈韵岱,刘长福,蒋博,王琳
审校:中国医学科学院阜外医院 赵庆豪
时序更替,岁物丰成。
2021年新春佳节到来之际,由科技部老年瓣膜病重点专项课题组20家顶级医学中心联合发起的《瓣月谈》正式与全国同道见面。这一年来,《瓣月谈》以服务于课题组240位专家及全国广大医务工作者的学术交流和相互学习为宗旨,通过微信、头条、电子期刊等多样化的传播方式, “半月谈”的形式,致力于为广大参与者和阅读者呈现出一个全新的学术交流平台。
关山初度路犹长,转眼又到了一年新春佳节之际。
2022年2月11日,《瓣月谈》春风鼓满帆,潮涌再出发,立足临床,《瓣月谈》着眼于实战实践,正式推出实战病例精讲精析系列,以解读合作单位各大医学中心临床实战过程中各类疑难复杂病例为主,通过病例深析,理论结合实战,更生动形象地为广大阅读者传播不同的瓣膜病诊疗技术、前沿资讯与交流心得体会。期待在新的一年,《瓣月谈》能不负厚望,与诸位同仁一道,行稳致远,上合扬帆再起航。
一、患者基本情况
患者男性 88岁,主诉“发作性晕厥病史17年,加重一年”, 患者自患者自2004年开始无诱因发作晕厥,多于餐后出现,无发绀、心悸、抽搐、耳鸣、恶心呕吐等伴随症状,每次持续数分钟自行缓解,此后间断发作,心电图大致正常,未予重视。近一年上述症状加重,伴出汗、乏力,外院超声心动图提示“主动脉瓣重度狭窄”,为进一步治疗入院。术前STS评分为8.1%,属于外科换瓣手术的高危患者。既往高血压病史20年,否认糖尿病病史。
二、辅助检查
入院心电图检查:窦性心律,完全性左束支传导阻滞。
实验室检查:Hb:102g/L,Cr 77.9umol/l,HbA1C 5.9%,LDL-c 2.37mmol/L,NT-pro BNP 1924pg/ml。
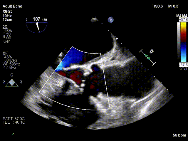
三、超声评估
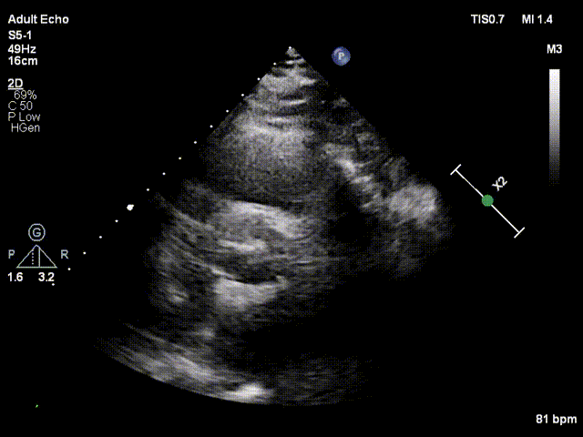
超声心动图显示患者重度主动脉瓣狭窄伴中度关闭不全,Vmax 5m/s, PG mean 59mmHg,PG max 102mmHg;室间隔16mm,左室后壁13mm;LVDd=40mm,LVDs=26mm;LVEF=62%。
四、CT评估
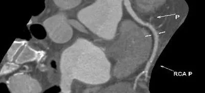
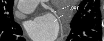
1.术前冠状动脉影像学评估:冠状动脉轻度粥样硬化累及多支,前降支中度狭窄,回旋支及右冠轻度狭窄。
2.术前瓣膜CT测量:A .瓣环测量; B.瓦氏窦测量;C.窦管交接区测量;D.左室流出道测量;E.升主动脉(最宽处)测量;F.虚拟瓣叶形态,钙化分布。
3.主动脉根部多平面测量
3.1 瓣上2mm
3.2瓣上4mm
3.3瓣上6mm
3.4瓣上8mm
4 心脏角度 约68°,呈横位+升主扩张
5入路评估 整体直径较大,但存在多处扭曲(胸主动脉+腹主动脉+主动脉弓+右侧股动脉)
五、手术策略
患者为三叶瓣,瓣叶增厚,极重度钙化,左冠窦可见柱状钙化延申至流出道,双冠脉风险高度尚可,瓣叶未见冗长,考虑冠脉风险较低,心脏角度约68°,呈横位+升主扩张,预备上Snare;收缩期左室测值较小且流出道短径约16.8mm,选择20球囊预扩,预装L26 Venus-A瓣膜。
入路选择:整体直径较大,但存在多处扭曲(胸主动脉+腹主动脉+主动脉弓+右侧股动脉),考虑腹主动脉扭曲可大鞘拉直,胸主动脉扭曲可能影响手术操作,选择右股动脉作为主入路。
六、手术过程
1 微穿针穿刺右股动脉,作为TAVR瓣膜输送的主路径;
2 左股动脉为辅路径,送猪尾至右冠窦低,行主动脉根部造影;
3 导丝成功跨瓣并留置猪尾导管与左室;
4 选择性冠脉造影;
5 考虑瓣环平均直径为25.8mm,流出道平均直径22..1mm,短径仅为16.8mm且钙化较重并延伸到流出道,所以选择20mm球囊扩张。
6 直头导丝跨瓣成功,因瓣口面积极小加上横位心,始终不能交换导管至左心室,辅路进SNARE抓捕器辅助导管成功跨瓣。交换塑形超硬导丝,送Numed 20*40mm球囊在SNARE辅助下成功跨瓣,快速起搏并扩张。


7因腹主动脉严重迂曲,横位心,升主扩张,SNARE抓捕器协助下瓣膜仍无法跨瓣;

8在辅入路送入另一Snare,两把Snare协同操作,调节主动脉瓣前送时的指向性和改善力量传导,最终成功将瓣膜送至合适位置;

9将Snare抓捕器回撤,按照术前评估,高位释放瓣膜,精准定位后快速起搏逐步分阶段释放瓣膜,跨瓣压差消失,瓣周少量反流。



七、手术结果
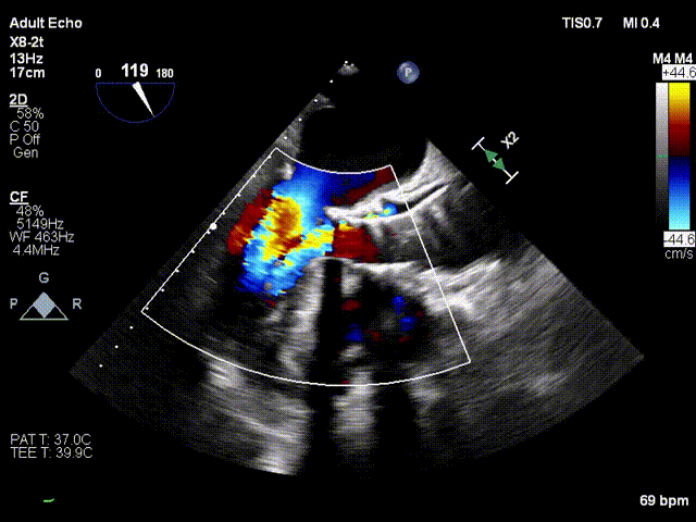
术中超声评价:跨瓣流速1.6m/s,平均跨瓣压差5mmHg,可见少量瓣周漏。
八、术后药物管理
九、术后感
中国结构性心脏病的介入治疗飞速发展,TAVR遇到的困难情况越来越多。尤其我国主动脉瓣狭窄患者中二叶瓣、严重钙化合并主动脉扩张的情况十分普遍,这种解剖情况是每个中心都需要面对的一个棘手问题。
1、术前CT评估重要,对瓣膜结构及外周入路需充分评估,主动脉夹角>50°时要预估手术跨瓣困难;若合并升主动脉扩张,通常会进一步增加跨瓣难度,本例患者主动脉夹角68°,同时伴有升主动脉扩张,导致导丝跨瓣后继操作困难;
2、直头导丝跨瓣后交换导管通常会受困于主动脉瓣严重钙化,本例患者主动脉瓣环严重钙化,导致跟进导管时后继支撑力欠佳,本例患者我们采用Snare辅助改变导管指向,同时增加导管后坐支撑力的办法成功将AL2导管送至左室交换加硬塑性导丝。也可考虑子母导管的方式增加支撑;
3、因腹主动脉严重迂曲,横位心,升主扩张,Snare抓捕器协助下瓣膜仍无法跨瓣。我们考虑患者多重迂曲导致Snare传递至头端力量有限,并且单把Snare改变瓣膜输送角度效果有限,在辅入路送入另一Snare,两把Snare协同操作,调节主动脉瓣前送时的指向性和改善力量传导,最终成功将瓣膜送至合适位置。对于比较复杂的主动脉根部和瓣环解剖,临床上遇到困难各不相同,可根据各自中心经验和拥有器械情况,因时因地制宜,做到个体化的分析、判断和决策十分重要。
专家简介
陈韵岱
中国人民解放军总医院
心内科主任医师,中国人民解放军总医院心内科主任、研究生院院长、解放军心血管病研究所所长,主任医师、教授,博士生导师;
全军心血管内科专业委员会主任委员;亚太心脏联盟委员女性心脏委员会主席;中国医师协会心血管分会常委;北京医师协会心血管内科专科医师分会副会长;美国心脏病学会委员、欧洲心脏病学会委员、欧洲动脉粥样硬化学会委员。中国国家863科技课题及国家自然基
金评审专家。
刘长福
中国人民解放军总医院
心内科副主任医师,心血管医学部结构性心脏病科主任,美国杜克大学医院,德州医学中心访问学者。目前担任中华医学会心血管病学会创新与转化学组委员,中国医师协会转化医学学组委员,亚洲心脏瓣膜病学会中国分会心脏瓣膜病介入治疗技术学术委员会常委,全军心血管病专业委员会结构学组委员,亚太结构心脏病青年俱乐部黄金会员等。

扫描二维码,马上进入“瓣月谈”

