2022年1月29日,复旦大学附属儿科医院贾兵教授团队正式启动佰仁医疗Salus介入肺动脉瓣临床试验入组,并于当天成功完成1例经胸介入肺动脉瓣植入,该研究由首都医科大学附属北京安贞医院牵头,联合多家知名心脏中心参与,是国内首个经胸介入肺动脉瓣临床试验,具有重大意义。
病例
患者男性,17岁,出生后2月因肺动脉瓣重度狭窄合并三尖瓣重度反流行外科手术重建右室流出道,2年前因三尖瓣反流加重行三尖瓣成型手术,此次入院前心超提示肺动脉瓣中重度反流。术前影像学重建显示提示患者肺动脉干明显增宽,瓣膜的固定成为了手术难点,经过术前多团队的缜密分析讨论,决定通过外科环缩肺动脉来解决这个问题。1月29日上午,复旦大学附属儿科医院的心血管杂交手术室内,心外科、心内科、麻醉科和心超室的各路专家们齐聚一堂,一起为本次多学科联合新技术手术保驾护航。儿科医院心血管中心主任、知名先心外科专家贾兵教授主刀,心内科主任刘芳教授精准定位,在心导管造影和食道心超的双重精确引导下,贾兵教授经由右心室表面穿刺准确地将30#介入肺动脉瓣放置到肺动脉的预定位置,同时环缩肺动脉,缝合固定支架瓣膜。造影和心超均显示肺动脉支架瓣膜功能完好,无瓣周漏及中央返流。实际瓣膜植入释放时间仅用了不到20分钟。术后当天患者就脱离了呼吸机,目前心功能恢复良好。
CT重建肺动脉
肺动脉干截面
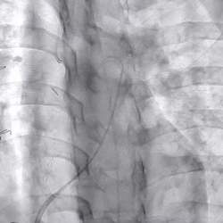
术前造影(可见大量反流)

术后造影(无反流)
复旦大学附属儿科医院贾兵教授表示:
先天性心脏病是我国主要的先天畸形,在全国多地均位居新生儿出生缺陷的首位,造成了巨大的社会负担。其中很大一部分患儿需要重建与修复右室流出道与肺动脉瓣,这些患儿长大后将面临再次治疗,往往一生需要多次手术。先天解剖结构的异常与初次手术后发生的粘连将进一步加重再次手术的难度和风险,介入肺动脉瓣可以有效避免传统开胸手术及建立体外循环给患者带来的创伤,降低手术难度,缩短手术时间,将成为众多经历过右室流出道重建患者后续治疗的福音,而目前国内还没有一款正式获批上市的介入肺动脉瓣产品。
佰仁医疗研发生产的这款介入肺动脉瓣采用经胸入路设计,属于业内首创,可以通过微创切口经右室流出道穿刺直接植入瓣膜,操作简单,定位精准,容易掌握。除此之外,国内经历过右室流出道重建的患者由于此前多使用跨瓣环补片,需要后续治疗时往往主肺动脉形态极不规则,而且质地较硬,无法提供瓣膜有效锚定部位,或在瓣膜植入后容易产生瓣周漏,因此很大一部分并不适合经股途径植入。该产品通过微创经胸方式植入,在需要时可同时行主肺动脉塑形或环缩,为介入肺动脉瓣提供牢固锚定部位,并有效减少瓣周漏,提高治疗效果。瓣膜定位与释放可通过DSA或超声(TEE)引导,有效降低辐射剂量。同时,由于初次手术时往往经股插管建立体外循环,部分患者股静脉狭窄,血管条件不佳,通过经胸入路也可避免再次经股静脉入路带来血管损伤和操作困难。希望该临床试验能早日顺利完成,相信一定可以使更多患者受益。
创新无止境
佰仁医疗与安贞医院苏俊武教授团队历时多年合作研发的Salus介入肺动脉瓣及输送系统,作为国家重点研发计划重点专项,于2020年7月获科技部批准立项(项目编号2020YFC1107900)。该产品采用自膨式支架设计,瓣叶采用牛心包为材料,以本企业成熟的外科牛心包瓣的制作工艺与处理技术加工而成,实现有效抗钙化,并具备出色的血流,全方位提高瓣膜的耐久性,是国内首个进入临床试验的经胸介入肺动脉瓣创新器械。该产品主要适用于此前曾手术重建或修复右室流出道、已具有经导管介入肺动脉瓣锚定部位的复杂先心患者的接续治疗。目前已启动由首都医科大学附属北京安贞医院苏俊武教授团队牵头,联合国内多家知名心脏中心的正式临床试验。该临床试验正面向社会招募患者,为更多类似需要救治的危重患者提供救治机会。
关于佰仁医疗
佰仁医疗是国内动物源性植介入材料与人工心脏瓣膜研发与生产的高新技术企业。公司于2019年正式登陆上交所科创板(股票代码:688198),成为国内人工心脏瓣膜领域首家上市企业。公司拥有动物源性材料的核心处理技术,其生产的外科牛心包生物瓣膜是目前国产瓣膜中唯一被大组、长期临床实践证实的成熟产品,其长达14年大组随访结果出色,已发表在国际知名期刊上。公司在复杂先心病右室流出道修复与重建领域已上市或在研的瓣膜产品包括肺动脉带瓣管道(独家)、流出道单瓣补片(独家)、无支架生物瓣带瓣管道(在研)、复杂先心带瓣补片(在研),及提供接续治疗的介入肺动脉瓣,为这类患者提供伴随一生的解决方案。公司研发的介入瓣膜类产品包括介入瓣中瓣、介入主动脉瓣、介入肺动脉瓣已启动正式临床试验。
专家简介
贾兵
复旦大学附属儿科医院
复旦大学附属儿科医院教授、博士研究生导师,心血管中心主任,上海市心脏大血管外科副主任委员,中华医学会小儿外科学会分会普胸协作组副组长,中华医学会胸心血管外科学分会委员 ,国家心血管病专家委员会先心病专业委员会常委,中国医师协会小儿外科医师分会委员 ,国非公立医疗机构协会心血管外科专业委员。从事小儿心胸外科的临床、教学和科研工作。至今已施行小儿心胸外科手术6000余例。擅长先天性心脏病和小儿胸部疾病的诊断和手术治疗。对完全性大动脉错位、肺动脉闭锁、三尖瓣闭锁等复杂先天性心脏病积累了丰富的临床经验。对新生儿复杂危重先天性心脏病的诊疗水平处于国内领先地位。
