北京医院心血管内科汪芳团队成功实施全程超声引导下经皮二尖瓣钳夹术

2022年1月26日下午,北京医院心血管内科汪芳教授携手中国医学科学院阜外医院结构中心潘湘斌教授,在全程超声引导下,为一名重度二尖瓣反流伴心力衰竭患者,顺利施行经导管二尖瓣缘对缘修补术(TEER),即经皮二尖瓣钳夹术(MitraClip)。此次手术的成功,标志着北京医院心血管内科团队在结构性心脏病微创治疗领域取得新的重要突破。

图片

1.疑难危重,患者生命安全遭受严重挑战

一名63岁男性患者,因“反复胸闷伴夜间不能平卧20余天”入院,诊断为二尖瓣脱垂伴关闭不全(重度),慢性心功能不全急性加重。超声心动图提示,二尖瓣后叶P1-P2脱垂伴重度反流,后叶腱索断裂,属于典型的原发性二尖瓣反流(DMR)。患者心功能不全,考虑与二尖瓣大量返流相关,且药物治疗无效。
图片
二尖瓣返流是最常见的心脏瓣膜疾病之一,重度返流如果不及时治疗可导致患者心衰甚至心源性死亡。传统治疗方法是外科瓣膜修复或置换。但许多患者由于高龄、合并症多,无法耐受或抵触外科手术,没有得到及时、有效治疗。经与这名患者及家属充分沟通后,汪芳教授团队决定为患者实施经皮二尖瓣钳夹术。

2.勇挑重担,北京医院团队为生命保驾护航

图片
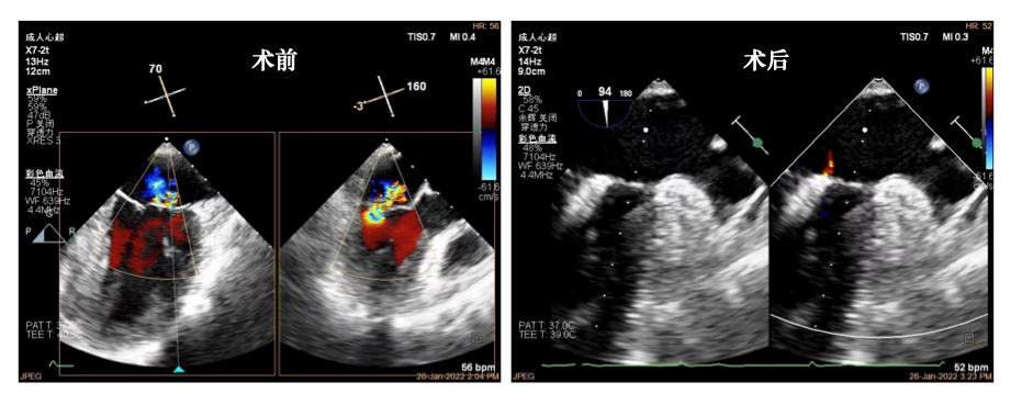
在充分做好术前综合评估的基础上,麻醉科专家为患者实施了全身麻醉,汪芳教授团队采用突破性治疗技术,经穿刺右侧股静脉,送入血管鞘及房间隔穿刺针,在食道超声引导下,穿刺房间隔,沿超硬导丝送入MitraClip引导鞘,再送入MitraClip系统,然后经数次微调,在二尖瓣P1-P2脱垂反流处植入MitraClip XTR一枚。整个手术过程非常顺利,术后即刻经食道超声心动图等评估,患者二尖瓣返流明显减少至消失,跨瓣平均压差1mmHg,肺静脉返流消失,其他各项生理指标正常,手术取得圆满成功。
图片
手术前后食道超声心动图比较,可见二尖瓣反流明显减少至消失
超声心动图作为心血管内科的重要辅助检查,在心脏结构的细微清晰辨认指引中发挥了极大的作用,既是心血管内科新技术发展的积极成果,也是多项技术融合的最佳体现之一。该例微创治疗,正是由于全程采用食道超声引导房间隔穿刺和定位技术,患者无需进行传统开胸手术和体外循环,还有效避免了放射线辐射带来的损伤,在术后1天即可下地活动。

3.不断精进,让“人民至上、生命至上”理念落到实处

从全球视野来看,以MitraClip为代表的经皮二尖瓣钳夹术(二尖瓣缘对缘修复术),逐渐成为治疗二尖瓣返流的主要替代方法。此项治疗技术无需开胸,只需要以“微创”的方式,即可完成二尖瓣的修复,其安全性、有效性及预后均得到了大量临床证据的支持。但由于该技术尚属前沿,操作难度较大,截至目前,国内仅有少数心血管专科及综合医院新近开展。
图片
北京医院心血管内科作为首批国家临床重点专科,同时也是国家老年医学中心的重点科室之一,长期以来坚持以患者为中心,秉持“勇于挑战,与时俱进”的科室文化,积极开展各类老年心脏疾病治疗的新技术。此次经皮二尖瓣钳夹术(MitraClip)的成功开展,标志着医院在结构性心脏病领域的治疗水平更上一层楼。未来,北京医院心血管内科将继续在包括结构性心脏病等领域深耕细作,进一步提高诊疗救治水平,让更多患者受益的同时,为推进健康中国建设和积极应对人口老龄化战略作出新的积极贡献。

转自:北京医院心血管内科
阅读数: 911