近日,浙江大学医学院附属第一医院心脏大血管外科李伟栋主任团队为barlow综合征患者施行胸腔镜辅助右胸小切口微创二尖瓣成形+房间隔缺损修补手术。
Barlow综合征:又称为收缩中期喀喇音-收缩晚期杂音综合征( systolic With late systolic murmur syndrome)、Reid-Barlow综合征。Reid于1961年用心音图记录到收缩中期喀喇音,认为系心室收缩后期腱索突然拉紧的拍击所致,并引起二尖瓣关闭不全及收缩期杂音。Barlow于1963年经心血管造影证实二尖瓣脱垂是本综合征二尖瓣关闭不全的原因。本综合征是指二尖瓣叶过长,在收缩期向左房脱垂,伴有或不伴有二尖瓣关闭不全的一组综合征。本征患病率为1%-5%。各年龄组均可发病,但多见于30-50岁,女性青年多于男性,中、老年患者则无明显性别差异。本征有明显的家族发病倾向。
患者基本情况:
患者:女性,27岁。
主诉:活动后胸闷气促一月余
现病史:一月前患者出现的活动后胸闷气促不适,持续约15分钟,休息后缓解,伴心悸,无胸痛,无头痛头晕。至当地医院就诊,查心脏超声提示房间隔缺损伴二尖瓣脱垂。至我院门诊就诊,查心超提示先天性心脏病,房间隔缺损(继发孔型,双孔型考虑),二尖瓣后叶脱垂伴关闭不全(P2区为主,中重度),为求手术收住入院。
体格检查:HR83次/分,律齐,心尖区闻及4/6级收缩期杂音,收缩晚期闻及喀喇音。
术前检查:
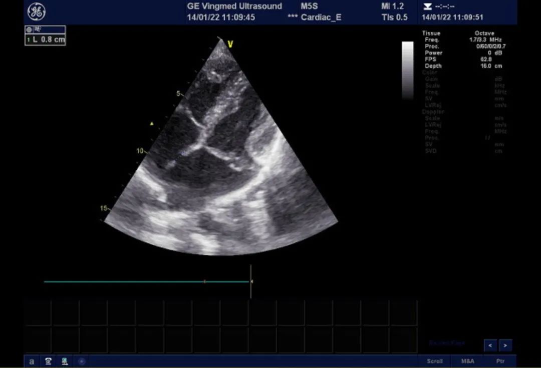
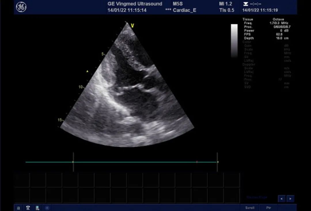
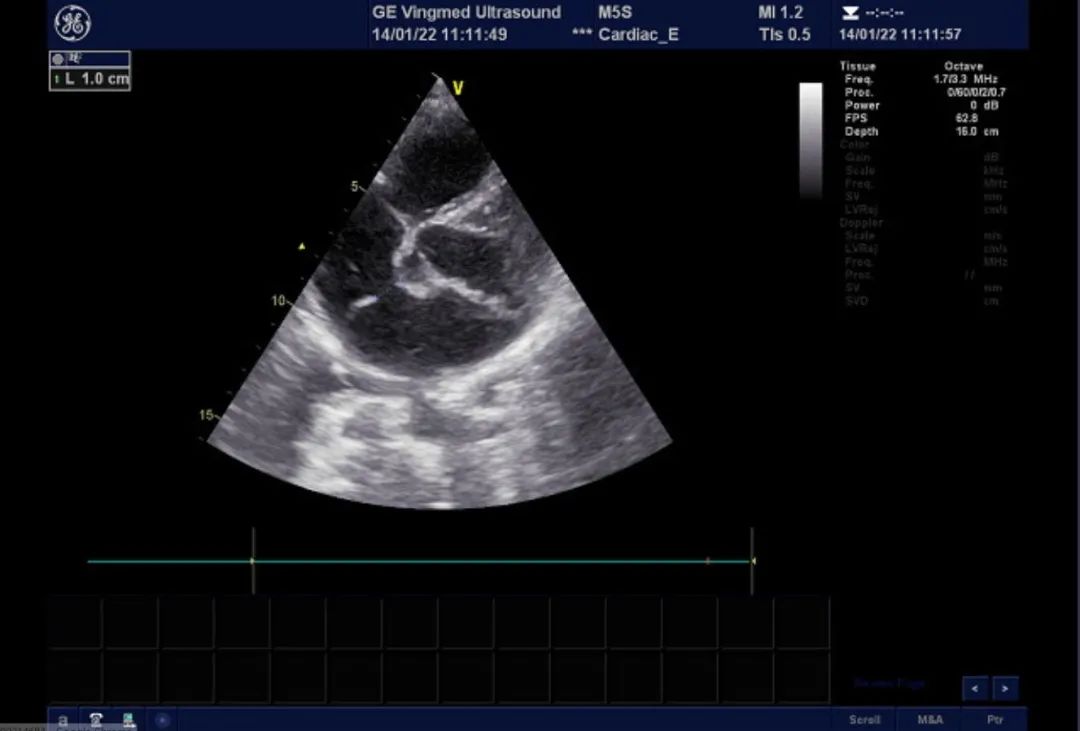
心脏超声:AO:26mm, IVSd: 8mm, LVDd:44mm, FS:43%,HR:84BPM LA:39mm, LVPWd:8mm, LVDs:25mm, LVEF:74%,RV:36mm M型、2-DE:左房饱满,大小约45*55mm,左室大小正常范围,右心增大,右房大小约44*51mm,升主动脉不宽,主波明显,重搏波清晰,主瓣清晰,启闭无殊;二尖瓣增粗、增强,后叶收缩期凸向左房,P2区为主。室壁不厚,室间隔与左室后壁逆向运动。肺动脉主干内径21mm。静息状态下各切面未见室壁节段性运动异常。房间隔可见两处回声中段,孔1位于近十字交叉处,宽约11mm,十字交叉残端不明显。孔2位于房间隔中段,宽约9mm。三尖瓣瓣环内径约38mm。超声诊断先天性心脏病,房间隔缺损(继发孔型,双孔型考虑),二尖瓣后叶脱垂伴关闭不全(P2区为主,中重度)。
二尖瓣后叶脱垂,大量返流
双孔型房缺,分别为1cm及8mm大
心电图提示:窦性心律;电轴右偏;T波改变
心电图提示:窦性心律;电轴右偏;T波改变
心电图提示:窦性心律;电轴右偏;T波改变
术前诊断:
心脏瓣膜病;二尖瓣脱垂,二尖瓣中重度关闭不全,先天性心脏病;房间隔缺损;心功能II级(NYHA分级)。
手术策略:
术前患者诊断为二尖瓣脱垂伴中重度返流,房间隔缺损。行胸腔镜辅助右胸小切口二尖瓣成形+房间隔缺损修补。
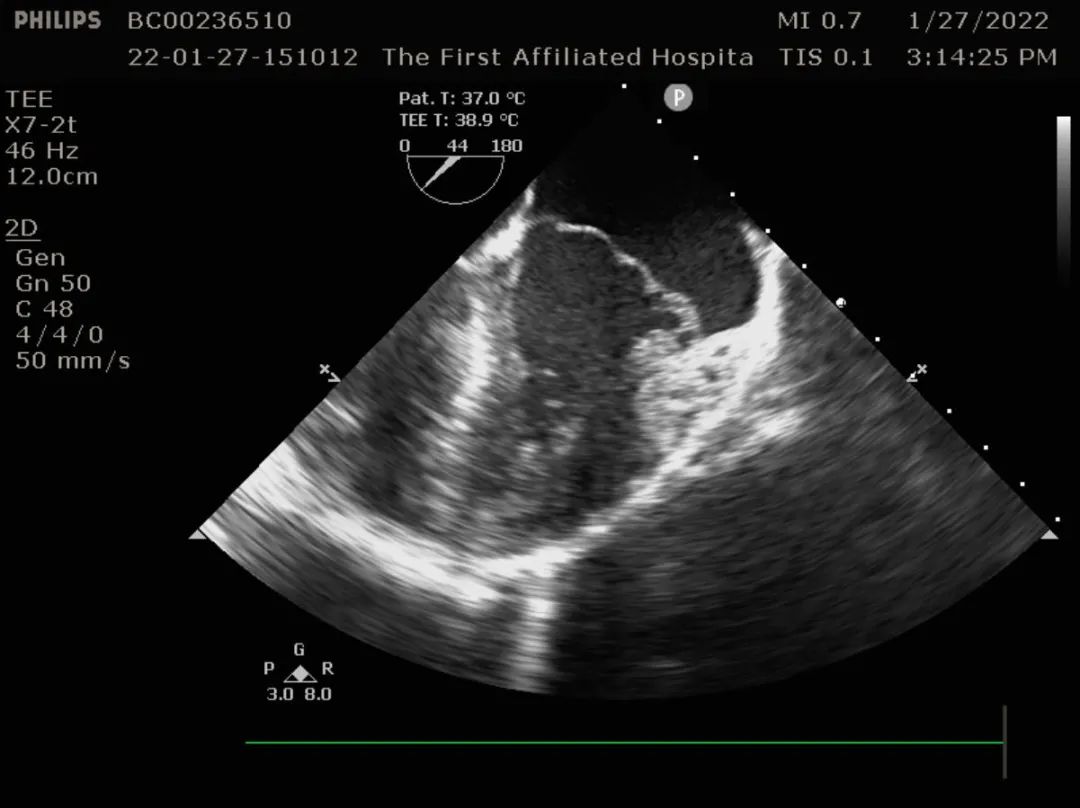
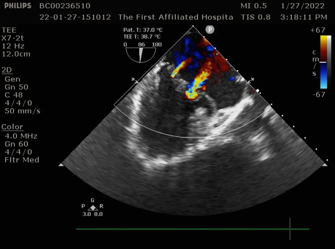
术中食道超声提示二尖瓣瓣叶冗长,组织增厚,多处返流。提示barlow综合征可能。
术中探查二尖瓣叶过长,瓣叶过长部分常稍增厚、起皱,呈苍白色。术中盐水注水检查发现P2、A2、P3、C2区多处返流。证实患者为barlow综合征。
术中食道超声监测
仅5cm微创小切口
手术要点分析:
1. 术前超声未发现barlow综合征,术中食道超声及术者探查发现。
2. 患者年轻女性,有生育要求,患者要求尽可能行瓣膜成形,避免换瓣手术。
3. barlow综合征患者瓣膜成形难度较大,失败率较高,传统手术仍是以换瓣为主。
4. 同期合并房间隔缺损,予以直接缝合修补,未使用人工补片,降低血栓风险。
术后结果:
术中超声检测提示二尖瓣瓣叶对合良好,瓣叶对合高度1cm,未见明显返流。房间隔缺损修补术后,未见残余漏。术中及术后未出现相关并发症,手术圆满完成。患者已脱机拔管,转回普通病房,拟年前出院。
专家简介
李伟栋
浙江大学医学院附属第一医院
浙江大学医学博士,主任医师,英国伦敦心脏病中心访问学者。目前担任浙江大学附属第一医院心脏大血管外科副主任、心脏移植中心副主任、微创中心副主任,心胸外科党支部副书记。兼任中华医学会胸心血管外科学分会全国青年委员、亚州心脏瓣膜病协会中国分会全国委员、国家结构性心脏病介入质量控制委员会委员、中国研究型医院学会互联网医院分会全国委员、浙江省医学会胸心外科学分会秘书兼青年委员会副主任委员、浙江省心血管外科医师协会常委兼总干事。
同时掌握外科微创手术技术和内科介入技术,致力于为每一位患者提供最优化的微创治疗方案。至今已主刀完成各类心胸外科手术4千余例,手术效果优良,心脏二三尖瓣膜手术微创比例超过90%。成功完成多例全省及全国首例微创复合手术(全国首例经心尖TAVI联合同期肺癌根治术,全国首例经心尖mitralstitch”缘对缘+腱索”二尖瓣介入成形术,全国首例微创冠脉多支搭桥联合同期肺癌根治手术等),2019年度心脏瓣膜类介入TAVI手术量排名华东区心外科前三,先天性心脏病介入封堵手术量全省心外科第一,省内首创24小时日间手术模式。在省内率先开展一站式房颤全腔镜微创射频消融加左心耳切除手术及瓣周漏封堵手术,手术数量和效果均居全国先进行列。另外,作为主要参与人,成功完成我省多例心脏及多器官联合移植手术。
门诊时间
