西北首例!西京医院杨剑刘洋教授团队成功完成心房分流术

近日,空军军医大学西京医院心血管外科首次采用我国自主研发产品D-shant为心力衰竭患者成功实施了心房分流器置入术。 

心力衰竭多以心输出量降低为主,严重影响患者生活质量,据报道,我国此类患者超过1000万。临床中对于心力衰竭患者,主要通过药物、心脏移植、心室辅助等技术治疗,然而部分患者药物治疗无明显效果,而心脏供体不易获得且移植技术实施难度大,人工心室辅助器械昂贵。目前国际上已证实左心房分流减压也是一种有效的心衰治疗方式,因此国产微创治疗心力衰竭产品心房分流器D-shant应运而生。

图片

患者基本情况

此次来空军军医大学西京医院治疗的患者是名56岁男性,间歇性气短胸闷3年余,长期药物治疗无明显改善,至西京医院就诊。入院后超声提示二尖瓣返流,长度6.6cm,面积9.4cm²,容积11ml。EDV:215ml,ESV:133ml,EF:30%,FS:16%,SV:82ml。初步诊断:心脏瓣膜病,二尖瓣关闭不全,心功能衰竭。经心脏团队讨论,决定采用D-shant为患者行局麻心房分流器置入术。

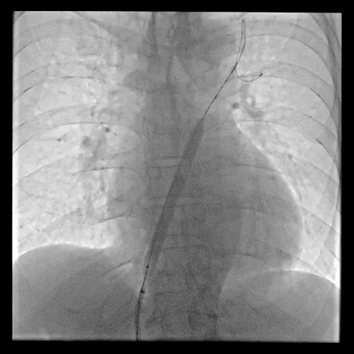
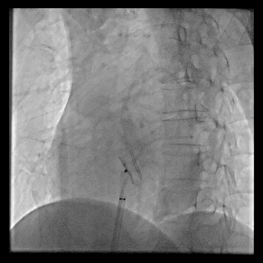
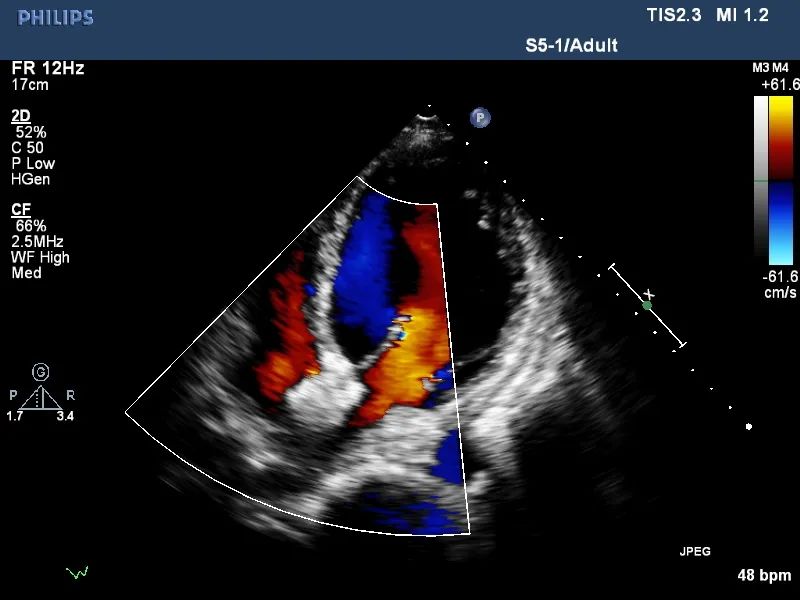
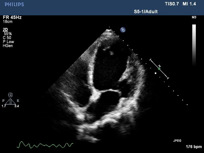
手术过程

图片

球囊扩张房间隔

图片

释放D-shant心房分流器

图片

术前超声

图片

术后超声

手术用时1小时15分钟,术中采用10mm球囊预扩张房间隔,并植入8mm孔径心房分流器。术后左心房压力下降,患者胸闷气短症状明显好转,次日患者即可下床活动,术后5天复查各类指标且康复良好,顺利出院。

心房分流术是通过器械植入创造稳定可控的左向右分流,通过限定房间隔造口直径,可在有效降低患者左心房压力、缓解肺淤血及呼吸困难的同时不显著增加右心负担,不降低心排量,也不引起反常栓塞。心房分流术目前国内外在HFpEF、HFmrEF、HFrEF均有临床研究开展,针对于充分的规范化药物治疗控制不佳的中晚期慢性心力衰竭,可改善血流动力学障碍引起的肺淤血呼吸困难和反复再住院,改善生存质量和不良预后。心房分流术主要适应症为NYHA/WHO FC III级的、存在血流动力学障碍的慢性心衰患者,将失代偿的左心容量超负荷转为代偿性,在改善患者活动耐量、心功能分级及生活质量上近中期效果显著,尤其是对反复住院的顽固性心衰患者获益更大。随着临床研究的不断发展,以心房分流术为代表的心力衰竭介入治疗也将迈入快速发展的新阶段。

图片

D-shant心房分流器是一款国内首创、国际领先的分流装置,具有腰部径向支撑强、可回收和二次干预、超薄形态记忆优良等特性,其与传统封堵器的编制原理有所不同,盘片不会因腰部压缩而变形增厚。FIM研究结果显示其与国外同类产品类似,可改善患者心功能分级和活动耐量,并有望能减少心衰相关死亡及再住院,需后续研究进一步证实。心房分流术的治疗理念包括分流量精准可控可调、实时监测评估血流动力学效果、维持长期有效通畅分流等方向,由于心衰患者心腔解剖和血流动力学情况变异较多,需根据血流动力学状态个体化定制分流孔径,血流动力学监测在术中显得尤为重要,建议在局麻下实施。目前D-shant心房分流器多中心注册临床试验正在如火如荼的进行,其有望成为首个NMPA注册上市的心房分流器械,造福广大心力衰竭患者。

阅读数: 3288
相关专题