结瓣同行,贞心护航。
本着相互交流,共同学习的初衷,贞”心一“课”系列活动于2021年11月初正式拉开帷幕。该活动由安贞医院心脏瓣膜病介入中心发起,通过与亚太结构性心脏病青年俱乐部(APSHD)开展的”结瓣同行“活动合作,特以每周定期分享二尖瓣/三尖瓣修复和替换案例的形式,以贴近临床的诸多病例为桥梁,搭建安贞与广大青年结构性心脏病术者相互交流学习的平台,集众智,聚众力,共同推动我国结构性心脏病先进诊疗技术的普及与再提高。
本周,首医科大学附属北京安贞医院宋光远教授团队带来了90岁高龄老人二尖瓣后叶宽大脱垂TEER成功治疗1例。
患者术前资料
基本情况:F/90岁,因“发作性心慌伴活动后胸闷气短2年余”入院。患者2年前出现发作性心慌,持续数分钟到数小时不等,休息后逐渐缓解。后逐渐出现活动后胸闷、气短,行走数十米即出现症状,到中日友好医院就诊,超声心动图提示二尖瓣后叶脱垂合并重度反流,左心扩大,LVEF 57%, 冠状动脉造影提示LAD近段70%狭窄,LCX未见狭窄,RCA中段25%狭窄,给予拜阿司匹林、阿托伐他汀、单硝酸异山梨酯、美托洛尔缓释片等冠心病二级预防药物治疗,患者仍有反复胸闷、气短发作,且症状逐渐加重,伴有夜间阵发性呼吸困难,来安贞医院门诊超声心动图提示LA 45*50*60mm,RA 36*61mm, LVEDD 56mm, LVEF 67%, 二尖瓣后叶脱垂(P2+P1区),二尖瓣关闭不全(重度,4级,DMR, Carpentier II型),为进一步诊治收入院。
既往病史:高血压病史30余年,高脂血症2年余,心房颤动,15年前行腰椎外科手术。否认糖尿病病史。
二尖瓣置换STS评分:4.59%
入院诊断:心脏瓣膜病,二尖瓣后叶脱垂,二尖瓣关闭不全(极重度),心律失常,持续性心房颤动,心脏扩大,心功能III级(NYHA分级),冠状动脉粥样硬化性心脏病,高血压病3级(极高危),高脂血症。
术前评估
入院后完善冠状动脉造影提示LAD轻度狭窄,予强化冠心病二级预防药物和抗心衰药物治疗后,胸闷、气短症状缓解,患者可平卧休息。患者老老年高龄女性,二尖瓣后叶腱索断裂导致极重度二尖瓣反流,心脏扩大,心力衰竭反复发作,经心脏团队综合评估后,认为该患者有行TEER治疗的指征,强化抗心衰治疗后,患者症状好转,择期行TEER术。
术前超声评估
术前超声诊断
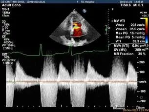
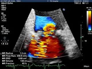
Bicom:MR(重度),反流束宽15mm,反流面积14cm²,PISA法定量EROA:0.65cm²,Rvol:138ml,RF:62%,r:13mm
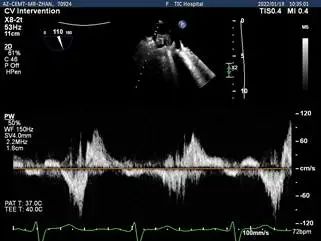
二尖瓣反流频谱呈全收缩期
肺静脉血流频谱呈收缩期反向
3D MV View:P2区脱垂,宽16.3mm,P3区瓣叶膨隆,与前叶对合不良
3D-color MV view:大量反流,起源于2区
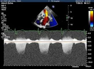
Qlab软件勾画估测瓣口面积约:4.42cm²
二尖瓣口平均跨瓣压差:5mmHg
TEE Bicom view:二尖瓣后叶P2区脱垂,宽16.3mm
Color-view:大量反流,主要血流PISA来源于2区
手术过程:
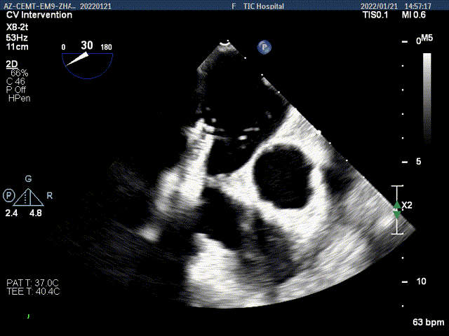
患者麻醉方式为全麻,建立静脉通路后,穿刺右侧股静脉,预埋ProGlide缝合器,食道超声指导下房间隔穿刺成功,将Superstiff导丝送至左房,应用18F鞘管扩张穿刺部位,沿导丝将导引导管送入左房,经导管鞘系统将NovoClasp瓣膜夹顺利到达二尖瓣目标位置,在食道超声辅助下,将成形夹精确定位后,使用1个宽的clip(MCD0101)成功夹合二尖瓣A2-P2区,彩色多普勒超声(2D+3D)显示微少量残余分流,整体反流量改善2级以上,后多切面证实夹合组织充分,肺静脉多普勒波形由反向恢复正常,手术顺利结束,安返普通病房。
术中及术后即刻超声评估
确定房间隔穿刺点:中部靠后
穿刺点高度测量:4.39cm
3D视图菲薄的卵圆窝,穿刺点位于房间隔中部略靠前,3点略偏2点位
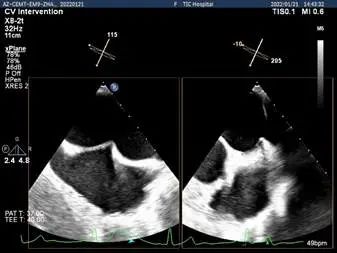
2D视图下判断大鞘位置及长度
2D视图下trajactiory
2D视图下开夹子
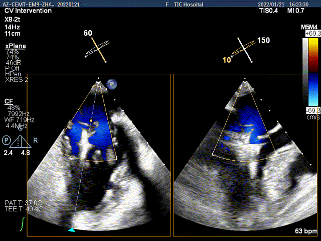
3D视图下调整夹子位置及Rotate
3D视图下夹子对准最大反流束进入左室

X-plane:下夹子尝试先捕获2区偏内侧瓣叶
该位置夹合后,Color提示内侧区域残余反流较多

打开夹子,并移动到2区偏外侧区域进行夹合

内侧区域残余反流减少
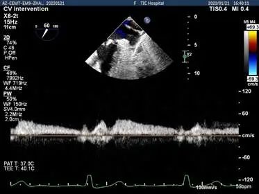
夹子放置后二尖瓣口平均跨瓣压差:1mmHg
肺静脉血流频谱恢复正向
x-plane验证前后叶抓捕后bond明显

术者心得
1.该患者P2区巨大脱垂,对合点在瓣环以上较高水平,应该选择房间隔穿刺点较高和靠后的位置,有利于CDS调弯顺利到达。
2.本例患者是一个宽大的P2区脱垂且瓣叶卷曲较厚,P3区瓣叶膨隆,与前叶对合不良,反流束宽达16.3mm,术中首先选择反流最严重的脱垂区域(P2偏外侧)进行钳夹后,MR明显减轻,内侧残余少量MR。在术中尝试靠近P3区钳夹,但外侧残余MR明显增多,再次将CDS调整到外侧,把P2+外侧病变钳夹后,外侧残余MR几乎完全改善,且内侧的残余MR亦较前减轻,在MC+LVOT(X-plane)反复确认,内侧是膨隆病变对合尚可,张力释放后,仅仅有少量残余MR。因此在处理MR病变时,对于脱垂病变的解剖特征需要精细分析,优先处理最严重的MR部位,再观察残余分流的改变情况酌情决定是否需要放第2个clip及其位置。
3.对这种高龄的老老年患者进行TEER治疗,需要充分考虑到年龄相关的手术风险,术前全面评估,将心功能、营养状态和活动功能调整到最佳,制定手术策略,术中需要抓住主要矛盾处理病变, 尽量缩短手术时间,降低并发症的发生。在围术期的管理时,抗栓治疗也要根据年龄调整药物剂量,减少出血风险。
4.随着老龄化的进程加速,二尖瓣病变时是引起老年患者心衰和死亡的最常见原因之一,也是TEER治疗最重要的受益人群。高龄患者虚弱,脏器功能代偿能力差,围术期的精细化管理、手术的最佳策略以及术后循序渐进的专业康复指导,是真正提高患者生存质量的关键,需要我们不断积累更多的经验制定规范的临床路径,提高这类特殊人群的整体管理质量。
专家简介
宋光远
首都医科大学附属北京安贞医院
2015.2-2016.7 美国 Cedars Sinai Medical Center 博士后学习
· 累计完成瓣膜病介入治疗超过 1000 例
· 累计完成房颤左心耳封堵术超过 200 例,其中 LAAO+PCI 一站式治疗 50 余例
· 累计完成复杂冠脉介入治疗超过 5000 例
· 主持结构性心脏病影像核心实验室,目前完成 CT 和超声分析 3000 余例
· 带教省级医院横跨 30 余省市 60 余家 主持国家自然基金,国家自然青年基金、教育部博士点基金、北京市科委创新基金、协和青年基金等多项课题
· 发表论文 20 余篇,共计他引超过 110 次,最高单篇 SCI 影响因子超过 20发表文章质量高:63.2%的文章均发表在《我国高质量科技期刊分级目录》收录的期刊中;21%的文章位于 T1 区(国际一流期刊),31.6%的文章于 T2 区(国际知名期刊)
· 主译《心脏导管手册》,《结构性心脏病介入治疗》
何怡华
首都医科大学附属北京安贞医院
主任医师/国家二级教授/博士、博士后导师
首都医科大学附属北京安贞医院心脏超声医学中心主任、胎儿心脏病母胎医学中心主任;
受国家卫健委委托牵头制定《胎儿心脏病诊断咨询及管理指南》;作为首席专家牵头科技部十三五国家重点研发计划1项、参与十三五国家重点研发计划1项,承担科技部十二五国家科技支撑计划及科技部国际合作、国家自然科学基金、北京自然科学基金等多个国家级和省部级项目。
第一完成人获得2020年教育部科学技术进步奖二等奖;第一完人获得2021年第四届妇幼健康科学技术奖一等奖;
中国心胸血管麻醉学会心血管超声分会主任委员、中华医学会超声医学分会第十届委员会妇产超声学组副组长、国家人口与健康数据平台胎儿心脏首席专家、中国妇幼保健协会胎儿心脏病防治专业委员会第一届主任委员、中国风湿免疫病相关生殖及妊娠研究委员会副主任委员、中国医师协会医学遗传医师分会妇幼保健专业委员会第一届委员会副主任委员等;全国产前诊断专家组成员;中国优生科学协会出生缺陷预防专业委员会常务委员
何怡华教授团队目前有成员40名,团队目前在外科术中及介入治疗领域主攻开发成人介入瓣膜远程协同机器人系统,远程机械臂自动图像采集及图像判读诊断系统,在国内相关领域处于技术领先水平。近十年何怡华教授一第一及责任作者发表国内核心期刊文章260余篇,SCI 76余篇,国际会议发言30余次。主编出版专著《胎儿超声心动图学》,再版《经食管超声心动图学》。

