旧岁近暮,虎年将至,厦门大学附属心血管病医院王焱教授团队于年末一日为两位复杂高危患者成功施行了经股静脉二尖瓣钳夹术(Mitraclip),两例病例均属于复杂解剖结构(分别是A3区和A1区瓣叶脱垂),这标志着厦心结构心脏病团队迈入新的领域。据悉,这两位患者均因反复心衰症状发作,辗转多次入院,此次成功完成手术,术后第三天已转入普通病房,近日可康复出院,与子女家人除夕夜团聚。
Case1病史简介
患者,男,67岁,以“反复活动后气促3月”为主诉入院。
1.心脏瓣膜病 二尖瓣脱垂伴重度关闭不全 ;
2.高血压3极(很高危);
3.脑梗死。
1、二尖瓣脱垂伴重度反流(DMR4+);
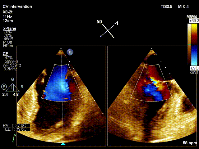
行TEE示:二尖瓣前叶A3脱垂合并重度反流(DMR4+),脱垂宽度11.6mm,脱垂高度5.8mm、二尖瓣口舒张期几何面积 6.00cm²、收缩期二尖瓣口偏心性反流束缩流颈宽度8.0mm、PISA定量瓣口EROA=0.61cm²。
手术过程
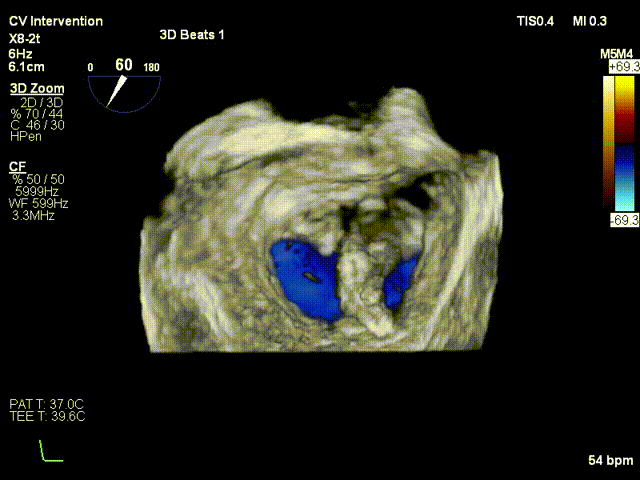
患者平卧导管床,常规消毒铺巾,呼吸机辅助呼吸,穿刺右侧股静脉,于经食道超声指导下穿刺房间隔,造影确认穿刺针位于左房后。予super stiff置入左上肺静脉。于右股静脉沿super stiff推送MitraClip Guide Catheter于左房。于经食道超声指引下,推送XTR Clip Delivery System至二尖瓣左房面,食道超声确认12点钟方向推送至二尖瓣左室面,重新调整DC handle使Clip Arm至11点钟方向。顺利捕捉二尖瓣前叶A3及后叶P3区域,Grap down后夹闭Clip Arm。经食道超声评估二尖瓣返流由MR4+减少至微量,确认前叶有效夹持长度13mm,后叶有效夹持长度为11mm,确认瓣叶夹持牢固,释放瓣膜夹。经食道超声再次评估二尖瓣返流微量,二尖瓣压差1mmHg,退出MirtaClip系统,3DTEE评估房间隔 穿刺口少量左向右分流,未见右向左分流,未见心包积液,结束手术。
患者术后即刻麻醉苏醒,第三天转入普通病房,患者心衰症状明显缓解,拟近日出院。
Case2病史简介
患者,女,72岁,以“活动后气促10年,再发加重半月”为主诉入院。
1.心脏瓣膜病 二尖瓣脱垂伴重度关闭不全 三尖瓣关闭不全;
2.高血压病3极(很高危);
3.冠状动脉粥样硬化 ;
4.冠状动脉左室瘘;
行TEE示:房间隔卵圆窝膨胀瘤改变;房间隔穿刺高度37mm;二尖瓣前叶 长度20.9mm,后叶长度10.9mm;二尖瓣面积4.94cm2;左冠状动脉内径增宽;收缩期 二尖瓣口偏心性反流束缩流颈宽度6.2mm,反流束起源于A1/P1及前交界,PISA定量反 流EROA=0.51cm2,舒张期二尖瓣口平均跨瓣压差1mmHg。
手术过程
患者平卧导管床,常规消毒铺巾,呼吸机辅助呼吸,穿刺右侧股静脉,于经食道超声指导下穿刺房间隔,确认穿刺针位于左房后交换房间隔穿刺导管至左房, 再予super stiff置入左上肺静脉;退出房间隔导管后予16F预扩张鞘扩张右股静脉;于右股静脉沿Super stiff推送24F MitraClip steerable Guide Catheter于左房, 于3DTEE指导下,推送NTR Clip Delivery System至二尖瓣左房面,3DTEE确认12点钟 方向推送至二尖瓣左室面,重新调整DC handle使Clip Arm至11点钟方向。顺利捕捉 二尖瓣前叶A1及后叶P1区域,Gripper down后夹闭Clip Arm,3DTEE评估二尖瓣反流 由MR4+减少至1+,确认A1有效夹持长度8mm,P1有效夹持长度8mm,确认瓣叶夹持牢固, 释放瓣膜夹,3DTEE再次评估二尖瓣反流1+;退出MitraClip系统,3DTEE评估房间隔 穿刺口少量左向右分流,3DTEE评估房间隔 穿刺口少量左向右分流,未见右向左分流,未见心包积液,结束手术。

患者术后即刻麻醉苏醒,第三天转入普通病房,患者心衰症状明显缓解,拟近日出院。
二尖瓣病变是发病率最高、介入治疗难度最大的瓣膜疾病。在我国,据不完全统计,二尖瓣病变潜在患者人数逾千万,治疗缺口极大。同时,由退行性(DMR)及功能性(FMR)二尖瓣关闭不全构成的复杂二尖瓣反流疾病谱,也大大增加了该类瓣膜病变的治疗难度。介入二尖瓣诊疗器械的研发已成为全球心血管介入诊疗领域的热点及难点,而目前唯一成熟的介入二尖瓣技术便是经股静脉途径经导管二尖瓣缘对缘修复(TEER),以雅培的MitraClip系列产品为代表,其已被FDA、CE和NMPA批准用于包括DMR及FMR的全二尖瓣反流疾病谱病变,临床技术体系已然成熟。
自经导管二尖瓣钳夹术Mitraclip去年初在国内获批应用以来,厦心目前已完成近40例经导管二尖瓣钳夹术治疗二尖瓣重度反流患者。王焱教授领衔的结构性心脏病团队,在该领域不断创新,同时还牵头两项国内自主研发二尖瓣器械临床研究,也已成功在人体应用。厦心不畏艰辛,勇于挑战,为这两位患者完成微创瓣膜修复,极大改善了他们的生活质量和预后,也给广大二尖瓣反流的心衰患者带来了福音。
专家简介
王焱
厦门大学附属心血管病医院
厦门大学附属心血管病医院院长;香港大学医学博士、教授、主任医师、博士生导师;美国心脏病学院会员(FACC);欧洲心脏病学会会员(FESC);国际心血管介入学会会员(FSCAI);中华医学会心血管分会委员;中国胸痛中心认证委员会副主任委员;中华医学会心血管病学分会介入心脏病学组副组长、海峡两岸医学卫生交流协会心血管病分会候任主任委员,国家卫生健康突出贡献中青年专家,具有丰富的临床工作经验,从事心血管系统疾病的诊治,在冠状动脉、外周血管疾病及心脏瓣膜疾病诊治方面有很高造诣。
