2022年1月24日,广州中医药大学第一附属医院心血管科团队使用VitaFlow Liberty™可回收电动输送系统完成一例高难度重度主动脉瓣狭窄TAVR手术。患者属于超高龄女性,瓣膜严重钙化,股动脉严重迂曲钙化,但在吴伟主任、李荣主任带领下,在医院麻醉科、超声影像科、介入室、心外科等配合下,术前多科会诊讨论,术中多科密切协作,手术顺利完成。术后病人经中西医结合调治恢复良好。首台TAVR成功植入,标志着该院经导管主动脉瓣膜置换术迈向新征程。
病史简介:
患者,83岁,女性
(EF:61%,Vmax:4.85m/s,MG:56mmHg);
主诉:反复胸闷,气促2余年,加重1个月。
术前检查:
心脏彩超:
超声心动图报告:老年性瓣膜退行性变,三叶主动脉瓣,主动脉三瓣均钙化并狭窄(重度),瓣口面积0.59平方厘米,合并中-重度关闭不全,二尖瓣后叶钙化并关闭不全(轻度),三尖瓣前叶脱垂并关闭不全(轻度)。
主动脉CTA:
主入路CTA:
策略制定:
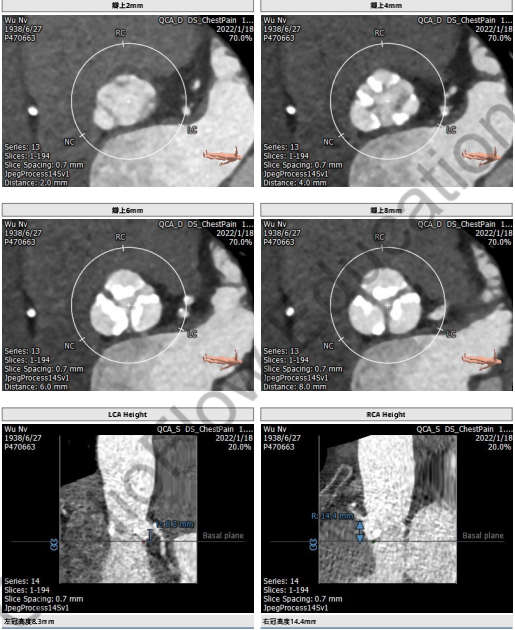
吴伟、李荣教授团队术前总结了该病例特点:此例患者为三叶瓣重度主动脉瓣狭窄病人,瓣环72.8mm,LVOT24.0 mm,瓦式窦均径30mm,STJ 28.3mm,升主动脉41.2mm,左冠高度8.3mm,右冠高度14.4mm,下肢入路右侧血管最小径4.8mm,左侧最小径3.8mm,通过入路超声造影,显示右侧入路血管极其狭窄且重度钙化,特别是主动脉弓部钙化较重,但主动脉根部解剖形态较好,瓣叶钙化较重,考虑到球囊预扩后瓣叶可推开,由于左冠开口较低,在选择球囊型号和输送系统型号上是本次手术的关键点。
经过手术团队反复评估和研讨后,该病例为极高难度患者,主要有以下几点,一:血管入路条件极差,血管最小径在5mm以下,术中可能存在血管撕裂风险。二:外周血管存在严重钙化,为股动脉穿刺带来极大挑战,可能需要行外科切开术;三:左冠开口较低,可能存在冠脉堵塞风险;四:横位心,且腹主动脉扭曲血管内钙化较重,输送系统过弓困难。
最终考虑选用心通医疗的电动可回收输送系统,预备20mm球囊预扩,VitaFlow Liberty™TAV24瓣膜,由于血管入路较差,考虑从右侧入路裸上自带内联鞘的20F外径的输送系统,备外周覆膜支架和外周球囊为手术的安全保驾护航。
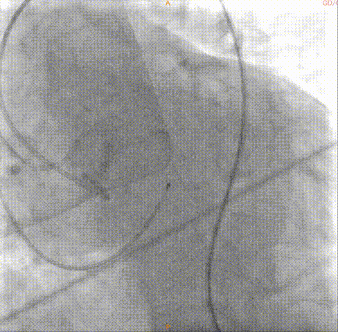
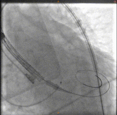
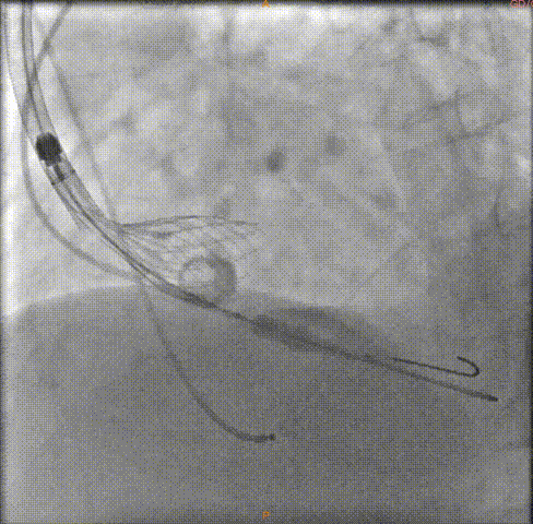
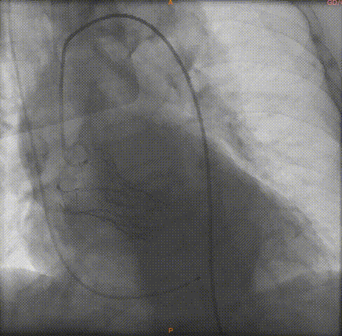
手术过程:

导丝跨瓣
球囊预扩
瓣膜定位

瓣膜释放
瓣膜完全释放前造影

完全释放中造影
释放后的造影
结语:
在多学科合作下,广州中医药大学第一附属医院心血管内科吴伟、李荣教授团队顺利完成全院首台高龄患者TAVR手术,经过3个小时的紧张有序操作,术中借助VitaFlow Liberty™瓣膜段柔顺性、可360度弯曲的功能顺利过弓,更是凭借心通医疗可回收系统自带内联鞘的功能,省去大鞘为血管入路差的患者带来更多选择,术后超声血管造影下肢入路无夹层且血管无破损,病人术后恢复良好,第三天即可下床活动。
广州中医药大学第一附属医院冼绍祥院长和TAVR手术团队合影
专家简介
吴伟
广州中医药大学第一附属医院
大内科主任 教授
教授,博士生导师,国家中医药管理局区域诊疗中心心血管科学术带头人、广东省名中医、广东省高校教学名师、广东省名中医,广东省高等学校教学名师,国医大师邓铁涛主要学术继承人之一,国家科学技术进步奖评审专家。历任大内科主任兼心血管内科主任,现任大内科主任,内科学教研室主任,胸痛中心医疗总监,房颤中心医疗总监,直属内科第一党支部书记。从事临床、教学、科研工作35年,临床以“五脏相关”、“五诊十纲”为指导,倡导辨病为先、辨证为主、病证结合理念,擅长运用中医、中西医结合独特方法诊治心血管病及各种内科疑难病。连续担任国家“十三五”、“十四五”规划教材《中医内科学》主编4部。中华中医药学会介入心脏病学分会副主任委员;世界中医药学会联合会介入心脏病学专业委员会副会长;中国医师协会中西医结合心血管病专业委员会副主任委员;中华中医药学会心病专业委员会常委兼副秘书长;中国中西医结学会心血管专业委员会常委;广东省中医药学会常务理事;广东省介入性心脏病学会理事;广东省中医药学会心血管病专业委员会主任委员。广州合浦学会会长。主持和参与国家自然科学基金课题4项,主持省部级课题4项,主编或参编著作15部,发表学术论文285篇,其中SCI 9篇。
李荣
广州中医药大学第一附属医院
心血管科主任
广州中医药大学第一附属医院心血管科主任,主任医师,医学博士,博士研究生导师,博士后合作导师,德国访问学者,广东省第二批中医优秀临床人才培养对象。国家华南区域中医心血管诊疗中心负责人;国家中医药管理局心血管重点专科负责人;中国老年医学学会中医药分会副会长;中国民族医药学会循证医学分会副会长;广东省中西医结合学会心血管病康复专业委员会主任委员;中国中医药研究促进会中西医结合心血管病预防与康复专委会副主任委员;中华中医药学会心脏介入专业委员会常委兼副秘书长;广东省中医药学会心血管病专业委员会副主任委员,广东省中西医结合学会高血压病专业委员会副主任委员,广东省中西医结合学会心律失常专业委员会副主任委员。广州市慢性病防控与管理学会副会长;主持并参与国家自然科学基金项目5项,省部级、厅局级科研课题 20 多项。作为主编、副主编和编委共出版专著 11部。2003 年工作在"抗击非典"第一线,荣立广东省抗非英雄"三等功"和荣获广州市"抗非先进个人"。2016 年被评为广州市"羊城好医生"。

