虎年送头虎,捷报喜连连,恰逢辞旧迎新之际,国内介入二尖瓣诊疗领域又添佳绩,复旦大学附属中山医院心外科王春生教授、魏来教授、杨晔主治医师团队在麻醉科郭克芳教授、金琳主治医师,心超诊断科董丽莉教授等配合下,成功完成了E-Chord®二尖瓣修复装置正式临床试验首例入组患者的手术治疗,患者于术后40小时即出院回家。这是继去年复旦大学附属中山医院成功实施亚洲首三例穿刺式二尖瓣腱索重建手术后在介入二尖瓣修复领域的又一突破。
患者信息
该名患者女性,62岁,术前超声诊断为二尖瓣后叶P2-P3区域脱垂、腱索断裂伴重度反流、急性心衰。经中山心脏外科团队综合分析及评估,最终成功入选“二尖瓣修复装置治疗二尖瓣反流的有效性和安全性的前瞻性、单组、多中心临床试验”。
手术过程
患者全麻后,在左胸心尖对应处胸壁切开4cm微小切口,随即在经食道超声引导下,使用E-Chord®二尖瓣修复装置在P2-P3区域成功植入三对人工腱索并固定在心尖,二尖瓣反流立刻完全消失。手术全程约1小时,其中心内操作时间仅20分钟,可谓行云流水、一气呵成。手术无需体外循环、无需心脏停跳、无需心脏切开,E-Chord®系统直径只有 3mm(9F),是全球最细的二尖瓣修复装置,创伤极小,几乎无出血。手术在完全超声引导下进行,不但定位精确,且无任何放射线,堪称“绿色介入手术”。
术后患者恢复顺利,原有胸闷气喘、不能平卧等症状消失,术后第二天(40小时)即出院回家。

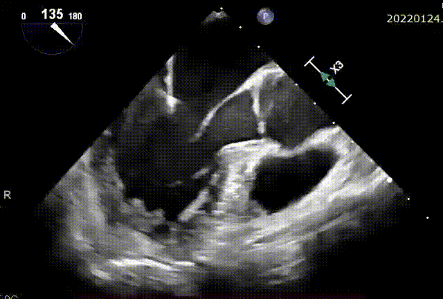
术前重度反流

术中腱索植入、一键击发

术毕二尖瓣反流消失

出院前超声
二尖瓣反流(MR)是老年人最常见的心脏瓣膜病,发病率远高于主动脉瓣狭窄;大于75岁人群中的发病率超过10%(Lancent 2006);一旦出现严重心力衰竭每年死亡率达34%(NEJM 1996)。据估计我国有数百万需要治疗的中重度以上二尖瓣反流患者,常规外科开胸手术虽然效果确切,但存在创伤大、手术时间长、出血多、恢复慢等弊端。微创二尖瓣介入治疗技术的应用将为中重度二尖瓣反流患者,尤其是有外科手术高危或禁忌的患者带来福音和希望。
全球现有几十种二尖瓣介入器械处于研发进程中,但由于二尖瓣解剖和功能的复杂性,研发成功并获得欧洲CE和美国FDA认证的产品屈指可数。国内外同类二尖瓣修复产品多采用抓捕瓣叶边缘的方式植入人工腱索,或实现缘对缘夹合。北京迈迪顶峰医疗科技股份有限公司秉承自主创新精神,组织工程师团队与国内知名心外科团队、心脏超声科专家,历时5年成功研发出亚洲首款应用穿刺方式植入人工腱索的E-Chord®二尖瓣修复装置。
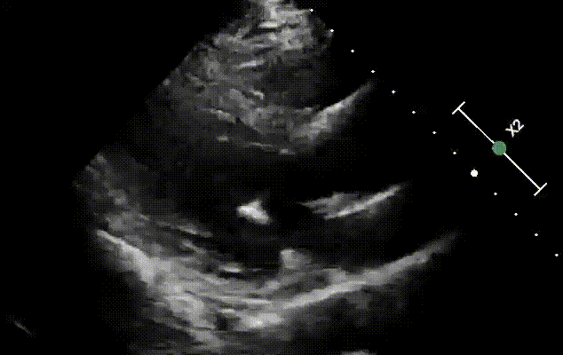
器械顶住瓣叶,准备植入
腱索植入
将腱索缝在心肌上
E-Chord®二尖瓣修复装置的设计理念来源于外科手术,以极微创方式实现了二尖瓣的生理性修复。在本例手术中,E-Chord®装置超声显影清晰,操控灵活,指向明确,腱索植入点定位精准。瓣叶穿刺和腱索释放同步完成,快速简单,易于掌握。由于心脏不停跳,人工腱索可在超声引导下根据患者生理状态精确调整长度后固定。E-Chord®装置除了可实现腱索修复以外,配合迈迪顶峰已上市产品Easy-Knot®使用,理论上还可实现二尖瓣瓣叶“缘对缘”修复、三角形折叠以及对二/三尖瓣瓣环的“环缩”修复。
除牵头单位复旦大学附属中山医院外,迈迪顶峰已成功与华中科技大学同济医学院附属协和医院、首都医科大学附属北京安贞医院、四川大学华西医院、郑州大学第一附属医院、中南大学湘雅二医院以及中国人民解放军北部战区总医院等多家知名医疗机构达成合作,拟开展E-Chord®确证性临床研究。随着该产品的不断推广应用,其安全性和临床效果必将获得临床医生的认可,相信未来定会为广大二尖瓣反流患者带来更多获益!
专家简介
魏来
复旦大学附属中山医院
主任医师,博导;复旦大学附属中山医院微创心血管外科主任;复旦大学附属中山医院心外科副主任;上海市心脏瓣膜工程技术研究中心副主任;上海市医学会心脏大血管外科分会副主委;国家心血管病中心微创心血管外科专委会常委兼秘书长;中华医学会胸心血管外科学分会全国委员;中国医师协会心血管外科医师分会全国委员;中国医师协会腔内血管学分会心脏瓣膜病专家委员会副主委;中国医师协会机器人外科医师分会常委。
