近日,四川大学华西医院心脏外科郭应强教授团队成功应用Ken-Valve为五例左室明显增大的患者进行了主动脉瓣置换术,术后患者心功能明显改善,超声影像显示无反流。这也是郭应强教授完成的Ken-Valve确证性临床研究第100例患者入组,标志着我国自主研发的Ken-Valve主动脉瓣置换系统的研究进展向前迈进了一大步,也为大量的主动脉瓣反流患者带来新的希望。
接受Ken-Valve主动脉瓣置换手术的五例患者均左室高度扩大,左室壁肥厚,其中四例为单纯主动脉瓣关闭不全,一例为主动脉瓣狭窄合并关闭不全。超声数据显示五例患者的左室舒张末内径(LVDD)为71~90mm,左室射血分数(LVEF)为26%~48%,五例患者NYHA心功能分级均为Ⅳ级。
结合术前CT评估结果,郭应强教授团队决定应用Ken-Valve主动脉瓣膜置换系统为五例患者进行手术。所有患者均采用经心尖入路的方式,对患者进行全麻后,在左侧心尖处(胸部对应位置)切开3~4cm的小切口,在DSA和超声的引导下植入Ken-Valve人工瓣膜。五例手术均顺利完成,患者术前大量反流消失,超声显示人工瓣膜闭合良好,无瓣周漏和反流。术后5天复查心超显示左室大小较术前明显缩小,患者心功能得到显著改善。以下为五例患者的具体信息:
Case 1
患者为68岁男性,因“胸闷、气促4余年,加重一年”主诉入院。术前超声心动图提示:左心增大,左室为著,左室壁肥厚,LVDD90 mm,LVEF35%,主动脉瓣右冠瓣脱垂、重度反流。术后即刻主动脉瓣大量反流消失,LVDD缩小至84 mm,左室较术前明显缩小。
术前超声影像
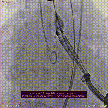
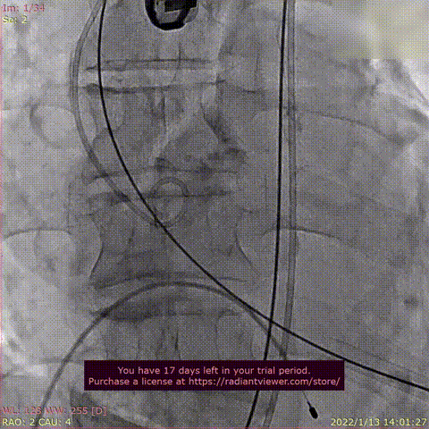
术前DSA造影

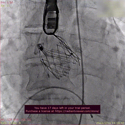
瓣膜释放过程
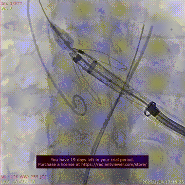
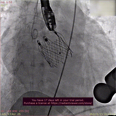
术后DSA影像图
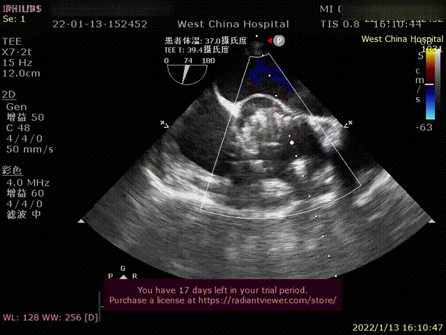
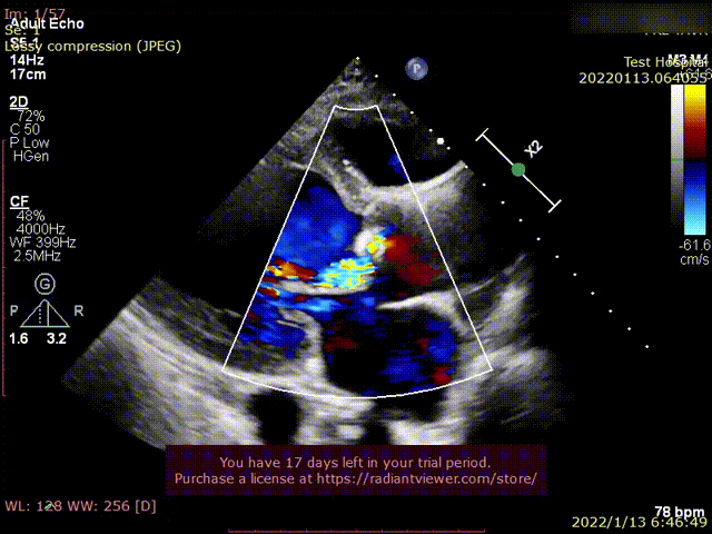
术后超声1
术后超声2
Case 2
患者为69岁男性,因“活动后胸闷,气紧十年余,加重1月”主诉入院。术前超声提示:左心明显增大,LVDD 82mm,LVEF 26%,主动脉瓣重度狭窄伴重度反流。术后即刻主动脉瓣大量反流消失,超声显示LVDD 65mm,左心较术前显著缩小。
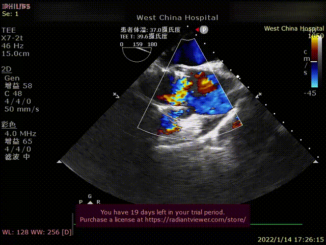
术前超声影像
术前DSA造影
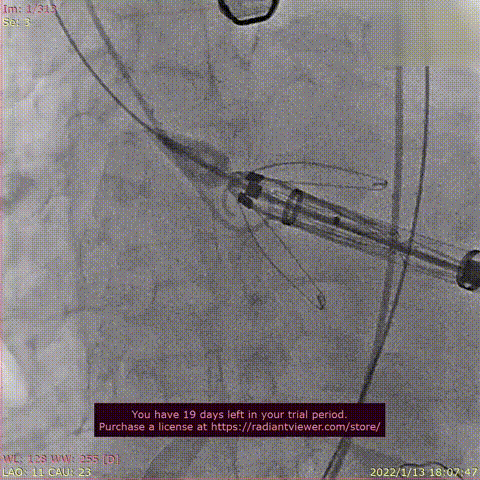
球囊域扩张

瓣膜释放过程

球囊后扩张
术后DSA影像图
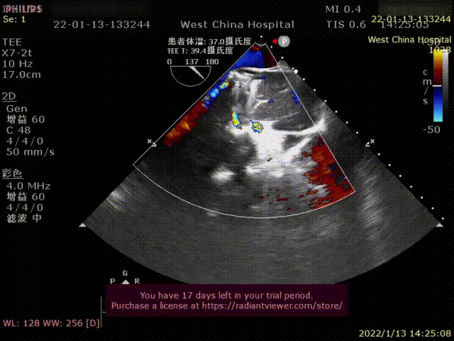
术后超声1
术后超声2
Case 3
患者为70岁女性,因“心悸、胸闷16余年,反复1年,加重1天 “主诉入院。术前超声提示左心增大,左室为著,LVDD 71mm,LVEF 41%,主动脉瓣中重度反流。术后即刻主动脉瓣大量反流消失,LVDD 62mm,左心较术前明显缩小。
术前超声影像
术前DSA造影

瓣膜释放过程
术后DSA影像图
术后超声1
术后超声2
Case 4
患者为72岁男性,因“反复心累气紧10月余,加重半年 “主诉入院。术前超声提示左室肥大,双房增大,主动脉增宽,LVEF 37%,主动脉瓣重度反流。术后即刻主动脉瓣大量反流消失,平均跨瓣压差显著降低为4 mmHg,心功能显著改善。
术前超声影像
术前DSA造影

瓣膜释放过程
术后DSA影像图
术后超声1
术后超声2
Case 5
患者为68岁男性,因“活动后心累,气紧半年,加重1周“主诉入院。术前超声提示全心增大,左室肥厚,LVDD 75mm ,LVEF 48%,主动脉瓣重度反流。术后即刻主动脉瓣大量反流消失,LVDD 59mm,左室较术前显著缩小。
术前超声影像
术前DSA造影

瓣膜释放过程
术后DSA影像图
术后超声1
术后超声2
Ken-Valve设计理念兼顾适用于主动脉瓣关闭不全和主动脉瓣狭窄的患者,适应更广泛的临床需求。此次手术是Ken-Valve主动脉瓣确证性临床研究第100例患者入组,手术成功标志着Ken-Valve优异的临床疗效已得到进一步验证,相信今后将会为主动脉瓣反流患者提供更有效的治疗策略。