2022年1月20日,在首都医科大学附属北京世纪坛医院各位院领导的高度重视与关心下,由该院彭建军教授团队,联合安贞医院周玉杰教授团队,成功为一位超高龄、高冠脉风险、重度主动脉瓣狭窄患者进行经导管主动脉瓣置换术(简称TAVR)。该例主动脉瓣狭窄(AS)手术的成功开创了国内治疗超高龄患者主动脉瓣疾病的先例,为患者带来福音,也充分展现该院TAVR团队不忘初心、牢记使命、超越自我、砥砺前行的精神,开启该院心脏瓣膜病治疗的新篇章。
病史资料
患者91岁女性,术前超声心动图提示主动脉瓣重度狭窄、钙化伴中等量反流,峰值流速411cm/s,平均跨瓣压差68mmHg,左心增大,左室壁肥厚,主动脉及肺动脉不宽,LVEF60%。
术前CT分析
三叶瓣,轻中度钙化,右无疑似融合,左冠开口高度低,右冠开口高度不高,法式窦结构不大,左室大小可,升主动脉未见明显扩张。小窦,小瓣环,准备瓣膜型号L23。
手术过程
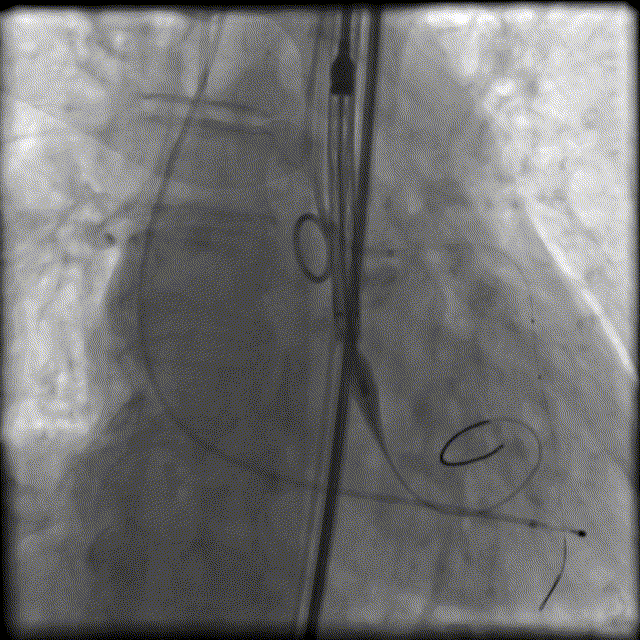
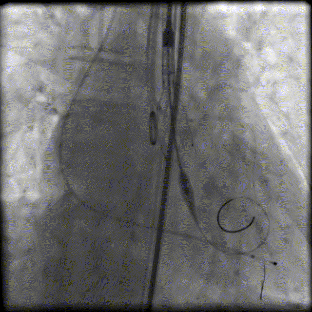
术前医院高度重视,组织多科室专家结合患者病情,以及存在高龄、解剖结构特殊等诸多风险进行深入分析、反复讨论后,充分准备并制定应急预案。心内科团队结合超声及CT测量数值(主动脉根部及冠脉高度)及患者病情,拟定应用Guidezilla延长导管进行冠脉保护,应用20F戈尔长鞘,送至升主动脉后经导管置入VenusA-Plus®可回收输送系统,选用18mm球囊预扩张,经由右侧股动脉入路植入L23型号瓣膜成功完成此次手术。

18mm球囊预扩张

输送系统定位

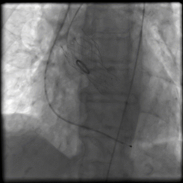
瓣膜释放过程
瓣膜完整形态
术中行主动脉造影提示瓣膜置入位置良好、形态完整。术后即刻行经胸超声示人工主动脉瓣活动正常,平均跨瓣压差较术前得到明显改善,主动脉瓣上最大流速270cm/s,平均跨瓣压差15mmHg,未见瓣周漏,未见心包积液。术程顺利,手术圆满成功。患者术后安返病房,生命体征稳定,状态良好。
2019年习近平主席在《求是》中提出,不忘初心、牢记使命,强调要具备敢于直面问题、自我完善、自我革新、自我提高的能力。今天,正是在习主席的思想指导下,该院多科室心往一处想,劲往一处使,首次开展TAVR手术即成功救治91岁高龄患者,开创了治疗超高龄老人心脏瓣膜病的先河,体现了心血管中心团队的救治能力、多科室的协作精神以及该院的综合实力,标志着该院在结构性心脏病的微创治疗方面达到国内先进水平。
背景
随着我国社会的老龄化,越来越多的老人罹患严重退行性主动脉瓣狭窄,已成为影响人类寿命和社会健康的重要疾病。据统计,主动脉瓣狭窄发病率在>75岁人群达2.5%,在>85岁人群可达8%,仅次于高血压和冠心病,成为第三大常见的心血管疾病。一旦患者出现症状不及时治疗,平均生存期仅为2-3年,成为威胁老年人生命的严重疾病。
高龄心脏瓣膜病患者往往存在合并症多、多脏器的储备功能低下,因此无法耐受外科手术。随着TAVR技术的出现,使通过外周动脉血管以微创的方式实施人工主动脉瓣置换得以实现,大大降低了手术创伤程度及手术风险,缩短住院时间。
专家简介
彭建军
首都医科大学附属北京世纪坛医院
主任医师,副教授,博士研究生导师,心血管内科主任,心导管室主任,医学博士。
专业擅长:注重冠心病的临床及介入治疗,对高血压、高血脂、心力衰竭及疑难危重症的诊断和治疗经验丰富。社会兼职包括第九、十届北京市青年联合会委员,第四届中央国家机关青年联合会委员,第四届中国青年科技工作者协会生物与医药专业委员会委员。学术兼职包括中国医师协会基层工作委员会常务委员、中华医学会心血管病分会介入心脏病学组委员、北京医学会内科学分会委员、世界中医药学会联合会介入心脏病专业委员会常务理事,中青年专家沙龙常务理事兼秘书长。2006年被聘为北京大学硕士研究生导师,2020年被聘为首都医科大学博士研究生导师。[科研] 作为项目负责人承担了北京市自然科学基金、北京市科技新星计划、北京市优秀人才项目等课题。此外,还参与了国家十一五课题的子课题研究工作。[论文/论著]表论著30余篇,参编学术专著4部,副主编一部。
周玉杰
首都医科大学附属北京安贞医院
主任医师、教授、博士生导师、北京学者
首都医科大学附属北京安贞医院常务副院长,北京市心肺血管疾病研究所常务副所长,中国复杂、高危、疑难冠心病微创介入治疗和经皮心脏瓣膜疾病介入治疗领域的开拓者和推动者。
国家老年心血管临床重点专科,冠心病精准治疗北京市重点实验室,冠心病临床诊疗与研究中心,冠心病创新技术精准化诊疗平台学术负责人,卫生优秀科技人才及领军人才,新世纪国家级百千万人才。“登峰”人才,“使命”人才培养计划团队负责人,国家有突出贡献中青年专家,国家卫生计生委突出贡献专家,个人及指导手术量突破20000例,承担多项国家级重大专项,获得发明专利13项。FACC,FHRS,FSCAI,FESC资深会员,中国医师协会介入心脏病协会主任委员,中国医疗保健国际交流促进会医疗质量控制委员会主任委员,中国老年保健医学研究会慢病防治管理委员会主任委员等。2019年6月荣获美国C3(复杂心血管介入治疗)终身成就奖。

