近日来,北京协和医院心内科主任荆志成教授,与心外科主任苗齐教授、放射科王怡宁教授等多学科专家组成北京协和医院心脏团队(HEART TEAM),顺利实施不开胸经导管肺动脉瓣置换术,成功治疗一例法洛四联症术后三十年肺动脉瓣膜重度反流患者,术后肺动脉瓣膜反流即刻消失,手术效果显著,患者顺利康复。
患者基本情况及术前影像学评估
患者,男性,51岁,50年前确诊法洛四联症,30年前因跑步时憋气、口唇紫绀,行法洛四联症外科手术治疗。1年前务农时出现头晕、心悸,在当地医院就诊发现肺动脉瓣重度反流,右心显著扩张。为求进一步诊治来北京协和医院门诊评估。
术前超声评估
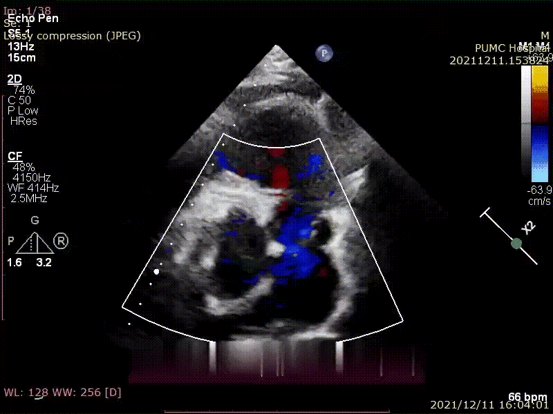
右心增大(右室横径52mm),主肺动脉增宽(28mm),肺动脉瓣环直径27.9mm,肺动脉瓣环下2cm右心室流出道直径26.9mm,肺动脉瓣环下1cm右心室流出道直径25mm,3D测量右室舒张末期容积160ml,RVEF 50.3%。彩色多谱勒血流显像及频谱多谱勒:肺动脉口前向血流速度增快,CW峰值速度2.8m/s,PGmax 30mmHg,PW测量肺动脉主干峰值流速2.7m/s,肺动脉瓣瓣下2cm右心室流出道峰值流速1.0m/s,余瓣膜血流速度未见明显增快,肺动脉瓣可见大量反流束(反流束宽度/瓣环直径大于50%,PR-PHT 105ms,右肺动脉见舒张期反向血流);三尖瓣可见中量反流束,估测右室收缩压为45mmHg(右心房压力 3mmHg)。

术前超声显示肺动脉瓣大量反流束
术前心脏CT评估
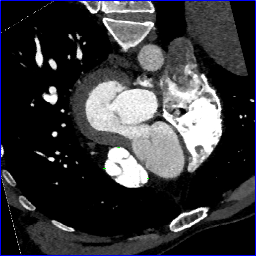
法洛四联症术后改变,室间隔、右室流出道前壁及肺动脉瓣水平多发片状钙化影。主肺动脉-右室流出道成角,肺动脉瓣形态欠规则。主肺动脉、左侧肺动脉干扩张,左肺动脉干直径约26mm;右位主动脉弓。右心房、右心室增大,右心室肌层增厚,心腔内未见明确充盈缺损影。冠状动脉左冠优势型,左主干起始段位于主动脉窦-主肺动脉之间,管腔未见显著狭窄。右心室流出道内径约36mm;主肺动脉瓣环内径约28mm;主肺动脉内径约38mm;主肺动脉发分叉处至右心室流出道长度约55mm。
术前增强CT图像显示肺动脉瓣结构损害
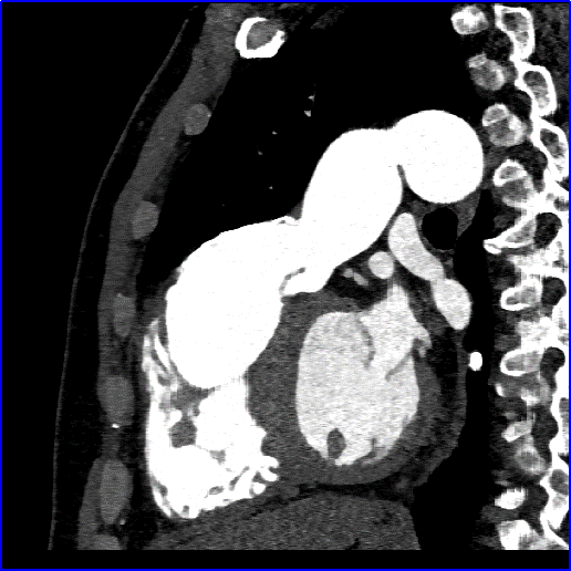
术前基于增强CT图像对肺动脉瓣、肺动脉和右心室空间结构进行三维建模和精准测量
术前心脏磁共振成像评估
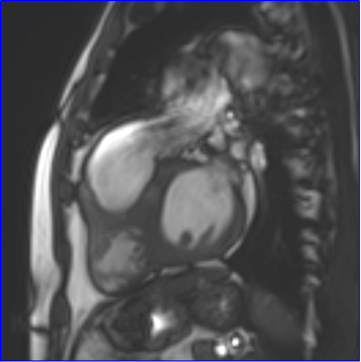
心脏法洛四联症术后改变。右心房、右心室增大:舒张末期左室短径 4.9cm,长径 9.3cm;右室短径 5.7cm,长径 10.0cm;心室收缩末期,三腔心层面左房前后径2.7cm,左室流出道形态欠规则,宽度1.5cm;四腔心层面左房大小4.4cm×4.4cm,右房大小 5.7cm×5.0cm。舒张末期室间隔厚约8-9mm,左室侧壁厚约6-7mm;右室游离壁心肌局部略厚,舒张末期最厚约4mm。T2W黑血序列示心肌信号未见明显异常。心包未见明显积液信号。升主动脉直径约3.9cm;主肺动脉增宽,直径约3.7cm。下腔静脉及肝静脉未见明显增宽。右室流出道形态不规则,可见成角,肺动脉瓣水平较窄,肺动脉瓣反流明显,三尖瓣、主动脉瓣少量反流信号。动态电影序列示右室收缩运动减弱;勾画心腔轮廓测量左心功能:左室射血分数(LVEF):60.1%,左室舒张末容积(LVEDV):127.2ml,左室收缩末容积指数:31.3 ml/m²,左室舒张末容积指数:78.4 ml/m²;右心功能:右室射血分数(RVEF):43.5%,右室舒张末容积(RVEDV):268.6 ml,右室收缩末容积指数:93.5ml/m²,右室舒张末容积指数:165.6 ml/m²。RVEDV/LVEDV 2.11。肺动脉瓣反流分数55.2%。
心脏磁共振成像右室流出道电影图像示法洛四联症术后,右心室流出道形态欠规则,肺动脉瓣水平反流信号
手术过程及造影
心外科苗齐教授亲自指导,荆志成教授带领心内科徐希奇副教授、杨明副教授、心外科张超纪副教授,完成了不开胸经导管肺动脉瓣置换术,成功治疗法洛四联症术后三十年肺动脉瓣重度反流患者。
荆志成教授(左1)向苗齐教授(左2)和张超纪副教授(左3)术前检查国产肺动脉瓣膜PT-Valve®
苗齐教授(左3)、荆志成教授(右2)和徐希奇副教授(右1)、杨明副教授(左1)和张超纪副教授(左2)进行经导管肺动脉瓣置换术
苗齐教授(左3)、荆志成教授(右2)和徐希奇副教授(右1)、杨明副教授(左1)和张超纪副教授(左2)进行经导管肺动脉瓣置换术
患者局麻状态下,术前右心导管造影示肺动脉瓣大量反流。经右侧股静脉入路将加硬导丝置入肺动脉分支,沿导丝送入介入肺动脉瓣PT-Valve®,结合术前CT三维建模规划,造影准确定位后,在原组织瓣环部位逐步释放瓣膜。再次行肺动脉造影显示瓣膜支架位置良好,瓣叶工作正常,未见明显肺动脉瓣反流和瓣周漏,从输送系统进股静脉至撤出体内的核心操作时间不超过10分钟,手术过程几乎无出血,术中及术后均无相关并发症,手术取得圆满成功!
术前造影显示肺动脉瓣大量反流
术后造影显示无明显肺动脉瓣反流(左图,肺动脉瓣远端造影;右图,肺动脉瓣近端造影)
超声显示经导管肺动脉瓣置换术后肺动脉瓣反流消失
经导管肺动脉瓣膜PT-Valve®简介
PT-Valve®经导管肺动脉瓣膜为新一代国产自膨式瓣膜,由北京迈迪顶峰公司研发,主要适用于先天性心脏病矫治术后的肺动脉瓣反流或狭窄,具有适用范围广、创伤小、手术风险低、易操控等优点;能够有效改善此类患者心功能,显著提升患者的生活质量,较传统疗法具有明显的技术优势和更好的临床应用价值。
专家简介
荆志成
北京协和医院
医学博士,主任医师,教授。北京协和医院心内科主任,北京协和医学院长聘教授,《中华心血管病杂志》副总编辑,《中华医学杂志(英文版)》副总编辑,北京医学会血栓与止血分会主任委员,北京医学会心血管病学分会副主任委员,中华医学会心血管病分会结构性心脏病学组副组长,中国介入心脏病学杂志执行主编。
