近日,广州市第一人民医院心内科团队使用VitaFlow Liberty可回收电动输送系统完成一例重度主动脉瓣狭窄TAVR手术,在医院各个科室协同配合下,手术顺利完成,且术后恢复极佳。这标志着广州市第一人民医院心血管内科团队主动脉瓣膜置换术(TAVR)全面开启新征程。
基本信息:
76岁男性,反复胸闷,气促1余年,加重3个月,重度主动脉瓣狭窄(EF42%,4.62m/s)。
主诉:患者一年前活动出现胸闷、气促,患有高血压、糖尿病,心力衰竭,心脏瓣膜病,左室壁肥厚,主动脉瓣狭窄,升主动脉瘤样扩张,予以抗心衰、输血、降压、护胃治疗后症状缓解,在当地医院出院带药服用半月后,自行停药。后气促、双下肢浮肿逐渐加重,现为进一步诊治,收入心内科,自发病以来,患者精神尚可,睡眠、胃纳欠佳,小便如常,大便2-3次/天,近一年来体重下降15kg。
策略制定:
术前超声检查:
主动脉根部解剖:
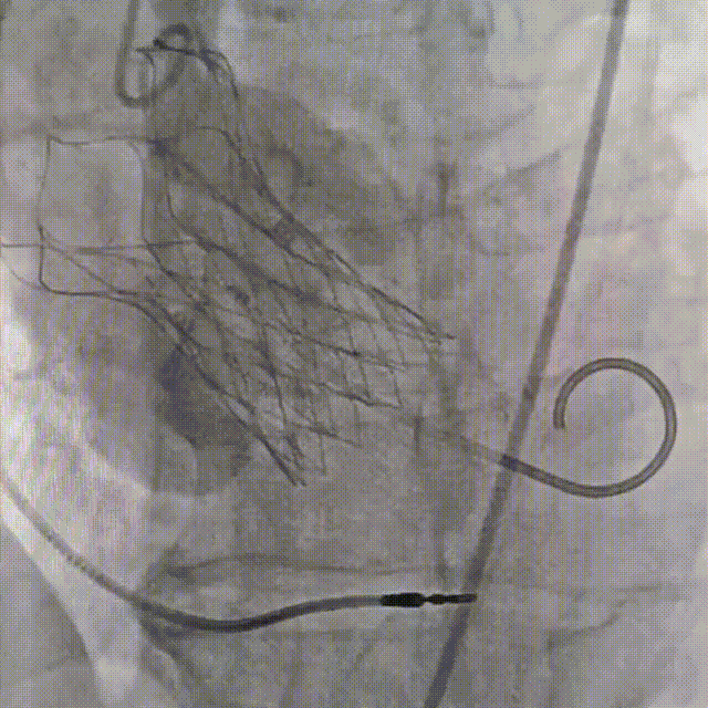
手术过程:
无冠窦造影

导丝跨瓣

24 mm球囊预扩
瓣膜释放
瓣膜八字点造影

瓣膜完全释放后造影
术后及术后超声:
结语:
专家简介
潘宜智
广州市第一人民医院 主任医师
主任医师,医学硕士,硕士导师,广东省介入性心脏病学会周围血管病及瓣膜病介入学分会副组委,广东省中西医结合学会心血管病专业委员会常委。具有20多年临床工作经验,擅长冠心病和周围血管病的介入治疗,是卫生部冠心病介入诊疗技术资格认证的首批获得者。曾赴荷兰进修冠脉介入技术。获省市科研基金课题2项,省市科技进步奖4项。在中华级杂志上发表论文10余篇。
刘震
广州市第一人民医院 心内科主任
现任广州市第一人民医院心血管内科主任医师,硕士研究生导师,广州医科大学兼职教授。
其他学(协)会任职任职情况:
房性快速心律失常电生理标测和射频消融的临床应用研究,广东省科学技术奖励二等奖,证书号:2003-医-2-001-R07。
雷晓明
广州市第一人民医院 副主任医师
香港大学李嘉诚医学院硕士,副主任医师。
学术任职:
广东省医师协会心血管介入医师分会常务委员兼国际交流专业组副组长
广东省医学会心血管病分会结构性心脏病学组成员
广东省介入心脏病学会结构性心脏病分会委员
广东省介入心脏病学会周围血管疾病分会常务委员
广东省医师协会大血管疾病医师分会委员
科研及学术:
发表科研论文30余篇,负责参与省市级课题共3项。