下肢动脉狭窄与闭塞性疾病成为常见血管疾病,有一部分患者在下肢动脉植入支架一段时间后,又出现支架内再狭窄的情况。痛患者之痛,忧患者所忧,广州市第一人民医院的雷晓明教授积寻找支架内再狭窄的优质解决方案,今天与您分享使用准分子激光消蚀在逆向处理下肢动脉硬化支架内狭窄中的病例一则。
患者基本情况介绍
年龄:73岁
性别:男性
主诉:活动后双下肢疼痛4年,加重1月。
现病史:患者于4年前出现活动后双下肢疼痛。2018年5月下肢动脉造影示双侧股浅动脉慢行完全性闭塞,于右侧股浅动脉植入支架1枚,左股浅动脉植入支架2枚,2019年5月造影示左股浅动脉支架内闭塞,行球囊扩张术复通。2021年12月下肢彩超示双侧股浅动脉支架闭塞,右侧股浅动脉球囊扩张术后复通。
入院诊断:1.下肢动脉硬化闭塞;左侧股浅动脉支架内再次闭塞;2.高血压病;3.2型糖尿病;4.高脂血症;5.慢性胆囊炎;6.前列腺增生。
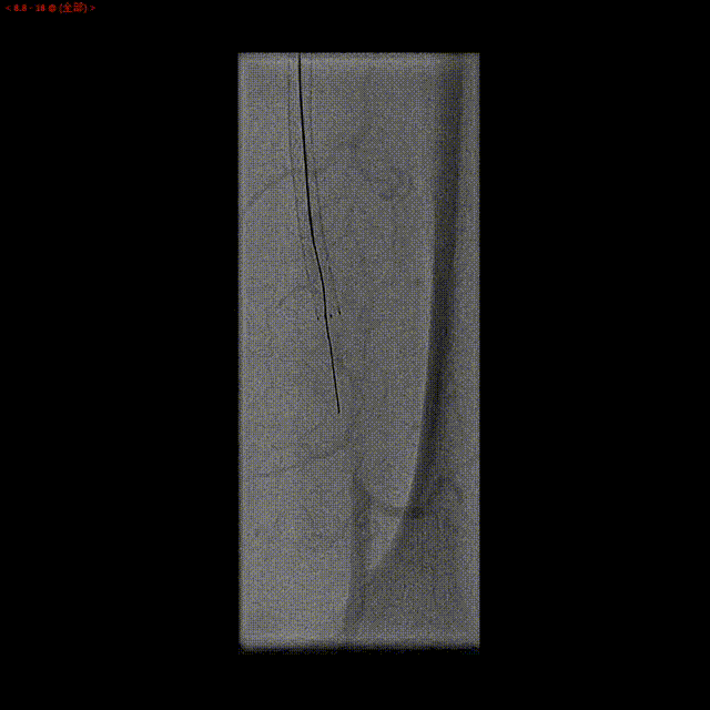
造影情况
左侧股浅动脉支架内重度狭窄,支架出口闭塞,股深动脉侧支供应股浅动脉远段。
病例特点
此患者为73岁老年男性,合并糖尿病,平时血糖控制不佳。股浅动脉支架植入术后,反复出现支架内再闭塞。此次左侧股浅动脉严重狭窄,支架内全程狭窄,远端支架出口闭塞,借侧支循环显影。
治疗策略
1、入路选择:患者靶病变部位位于左侧股浅动脉,故而选择右侧股动脉入路,翻山进入左侧病变进行治疗。
2、开通策略:首先尝试使用具有较强穿透力导丝正向开通,若支架远端闭塞严重无法建立正向入路,则考虑经股深动脉侧支逆行进行开通,避免内膜下重进真腔。
3、血管准备:由于该病人支架内反复出现狭窄,考虑利用准分子激光消融,实现腔内减容,以及斑块重塑。
4、管腔治疗:根据造影情况,采用球囊扩张。
手术过程
行左下肢动脉介入治疗,经右股动脉穿刺,置入血管导入鞘,“翻山”右髂动脉送至左侧股动脉。
尝试正向突破
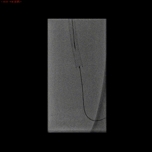
在微导管增撑下,逐渐升级(XTR,Gaia III,Conquest Pro)穿透力更强的CTO导丝,但由于支架远端纤维帽较硬,未能穿破斑块进入远段真腔,反而进入内膜下。

经尝试后,正向导丝进入内膜下。
尝试经侧支逆行开通
使用微导管和导丝配合,尝试由股深动脉逆向开通。经尝试,逆向导丝(UB3)通过闭塞段,由于正向通道较小,未能与正向导丝进入同一微通道实现交汇。逆向微导管通过闭塞处困难。
撤出正向微导管及逆向导丝,沿正向导丝置入直径为2.0 mm的准分子激光Turbo Elite导管扩大管腔以建立轨道,以能量40,频率40进行第一次激光消融;再以能量60,频率60进行第二次激光消蚀,消蚀4分28秒,发射脉冲12717次。

第一次激光消蚀(能量40,频率40)

第一次激光后造影

第二次激光后消蚀(能量60,频率60)
经激光消蚀后,通过导丝导管配合,逆向导丝轻松通过闭塞段。

逆向导丝到达股浅动脉近段,进入正向套鞘,导丝体外化,建立轨道。
球囊扩张
准分子激光消蚀后,进行球囊扩张,球扩后造影显示良好效果。
球囊扩张
术后造影
术后小结
1、此病患闭塞段远端侧支条件较好,在正向穿刺困难的时候,可以利用股深动脉侧支进行逆向穿刺开通。这样可避免导丝进入内膜下,减少植入额外的支架。
2、传统的Reverse CART技术使用球囊,本例选择准分子激光消蚀带来两个好处:相对于球囊扩张带来斑块不均匀的破坏,激光的消蚀作用,不仅扩大管腔面积让逆向导丝容易重新进入,而且消蚀后的管壁光滑,逆向导丝通过闭塞段非常顺畅;此外,对闭塞出口的纤维帽的消蚀,有利于逆向导丝的穿刺。
3、本例患者由于是支架内再狭窄,闭塞正好位于支架的出口,虽未能建立好轨道,也能够保证消蚀是在血管结构内。对于慢性完全闭塞性病变,可利用腔内影响学了解导丝的位置,以及斑块的性质,从而更安全地使用激光再通技术。
4、准分子激光通过对斑块的消蚀,实现减容的效果,使后续球囊扩张的效果更佳,残留狭窄较少,可作为理想的作为预处理方式。
5、准分子激光有安全性高的优势,尤其是处理支架内再狭窄的病例中,在支架的保护下可采用较高的能量进行消蚀。
6、患者在激光消蚀的过程没有不适感,而以往在严重狭窄的病变球囊高压扩张常常给患者带来难以忍受的疼痛。
专家简介
雷晓明
广州市第一人民医院
香港大学李嘉诚医学院硕士,副主任医师。
学术任职:广东省医师协会心血管介入医师分会常务委员兼国际交流专业组副组长;广东省医学会心血管病分会结构性心脏病学组成员;广东省介入心脏病学会结构性心脏病分会委员;广东省介入心脏病学会周围血管疾病分会常务委员;广东省医师协会大血管疾病医师分会委员。
技术特长:具有结构性心脏病和冠心病的介入治疗资质。从事结构性心脏病介入治疗10年,掌握各种先天性心脏病的介入治疗,包括巨大房间隔缺损封堵术,室间隔缺损封堵术,动脉导管未闭封堵术,卵圆孔封堵术,肺动静脉瘘封堵术,左心耳封堵+卵圆孔封堵“一站式”手术,急诊PCI+室间隔穿孔封堵术,压力导丝指导肺动脉介入治疗。从事大血管介入及周围血管介入治疗17年,掌握主动脉夹层,腹主动脉瘤的腔内修复术,下肢动脉慢行完全性闭塞介入治疗,下肢动脉激光再通术,锁骨下动脉闭塞的介入治疗,单纯超声指导的外周血管球囊扩张成形术及支架术。从事冠脉介入治疗20余年,掌握各种复杂冠脉的治疗,包括冠脉完全闭塞性病变的正,逆向开通技术。掌握冠脉腔内影响学和冠脉生理学的临床应用,肥厚性梗阻性心肌病化学消融术。
科研及学术:发表科研论文30余篇,负责参与省市级课题共3项。
赵斌
广州市第一人民医院
广州市第一人民医院心血管内科主治医师,2013年硕士研究生毕业于中山大学附属第一医院。从事心内科介入工作工作5年,能熟练参与冠心病、先天性心脏病、周围血管疾病的介入手术诊治。发表国内核心学术期刊论文数篇,主持广州市卫生健康科技项目课题一项。
学术团体任职:2016年广州市医学会会员;2018年广东省介入性心脏病学会会员;2018年广东省药学会第一届心血管联盟委员;2022年广东省精准医学应用学会心脏康复分会委员。

