结瓣同行,贞心护航。
本着相互交流,共同学习的初衷,贞”心一“课”系列活动于2021年11月初正式拉开帷幕。该活动由安贞医院心脏瓣膜病介入中心发起,通过与亚太结构性心脏病青年俱乐部(APSHD)开展的”结瓣同行“活动合作,特以每周定期分享二尖瓣/三尖瓣修复和替换案例的形式,以贴近临床的诸多病例为桥梁,搭建安贞与广大青年结构性心脏病术者相互交流学习的平台,集众智,聚众力,共同推动我国结构性心脏病先进诊疗技术的普及与再提高。
本周,首医科大学附属北京安贞医院宋光远教授团队带来了二尖瓣前叶冗长脱垂病变累及前交界区TEER成功治疗1例。
患者术前资料
基本情况:中老年男性,因“间断活动后胸闷、气短10月余”入院。患者10个月前出现活动后胸闷、气短,到当地医院行超声心动图发现“二尖瓣脱垂,二尖瓣关闭不全(中度)”,未予以特殊诊治,嘱其定期复查超声心动图。3个月前复查超声心动图发现二尖瓣关闭不全进展为重度,冠状动脉CTA未见明显狭窄,建议患者行手术治疗。一周前患者来我院门诊,超声心动图提示“LA 43mm,LVEDD 58mm,LVEF 67%, 二尖瓣脱垂(A1区为主,累及前交界区)伴有细小腱索断裂,二尖瓣反流(重度,退行性病变,Carpentier II型)“,为进一步诊治入院。
既往病史:高血压,否认糖尿病、高脂血症病史。
二尖瓣置换STS评分:0.69%
入院诊断:
心脏瓣膜病
二尖瓣脱垂(A1+AC区)
二尖瓣腱索断裂
二尖瓣关闭不全(重度,退行性病变,Carpentier II型)
心脏扩大
心功能III级(NYHA)
高血压病3级(极高危)
术前评估
患者中老年男性,二尖瓣前叶以及前交界区脱垂伴腱索断裂导致重度二尖瓣反流,心脏扩大,心力衰竭,建议行外科手术,患者以及家属拒绝,要求行微创介入治疗,积极给予强化抗心衰治疗后,患者胸闷、气短症状好转,选择Mitraclip择期行TEER治疗。
术前超声评估
术前超声诊断
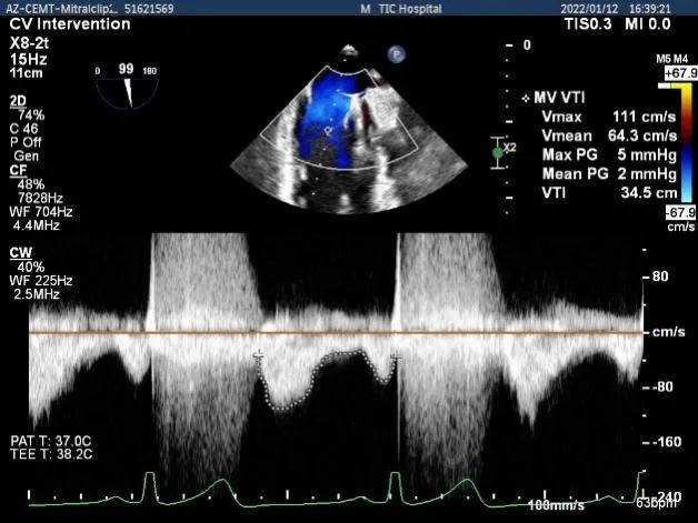
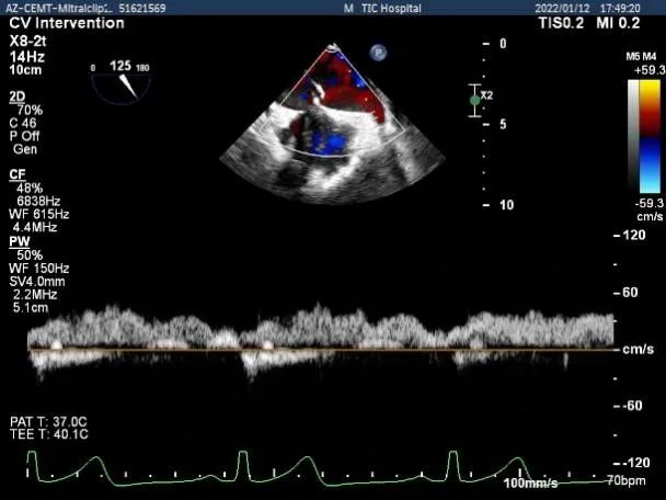
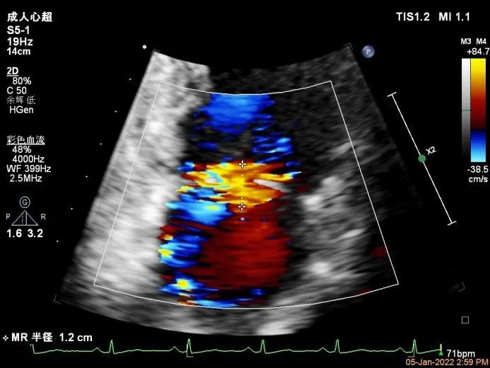
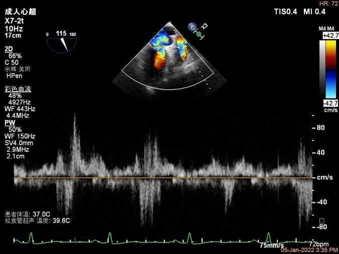
Bicom:MR(重度),返流束宽12mm,返流面积10.3cm2,PISA法定量EROA:
0.77cm2,Rvol:115ml,RF:35%,r:12mm。
二尖瓣返流频谱呈全收缩期
肺静脉血流频谱呈收缩期反向
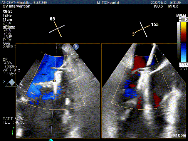
3D MV View:二尖瓣AC区为主(累及部分1区)脱垂并腱索断裂
3D-color MV view:大量返流,主要来源于AC区
Qlab软件勾画估测瓣口面积约:6.89cm2
二尖瓣口平均跨瓣压差:3mmHg
TEE Bicom view:二尖瓣AC区为主(累及部分1区)脱垂并腱索断裂。
Color-view:大量返流,主要来源于AC区
手术过程:
患者麻醉方式为全麻,建立静脉通路后,穿刺右侧股静脉,预埋ProGlide缝合器,食道超声指导下房间隔穿刺成功,将Supers-tiff导丝送至左房,应用18F鞘管扩张穿刺部位,沿导丝将导引导管送入左房,CDS调整后顺利到达二尖瓣目标位置,在食道超声辅助下,将成形夹(2个XTR)精确定位后,成功夹合二尖瓣AC区病变以及A1-P1区,超声显示少量残余分流,整体反流量改善至少2级以上,后多切面证实夹合组织充分,肺静脉多普勒波形由反向恢复正常,手术顺利结束,安返普通病房。
术中及术后即刻超声评估
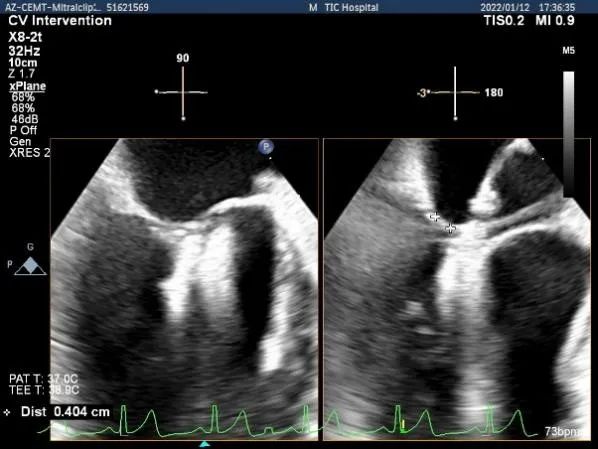
确定房间隔穿刺点:中部靠后
穿刺点高度测量:4.09cm,由于病变部位靠前交界,穿刺高度尚可
3D视图下大鞘点位及长度测量
2D视图下trajactiory
2D视图下开夹子

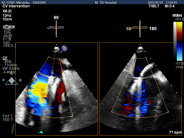
3D-multive视图下调整夹子位置尽可能靠近AC区,并进入左室内

LVOT视图下夹子尝试先捕获AC区略靠内侧瓣叶

夹子关闭过程中,Color提示内侧1区残余返流
3D-color-VIEW验证残余返流来源
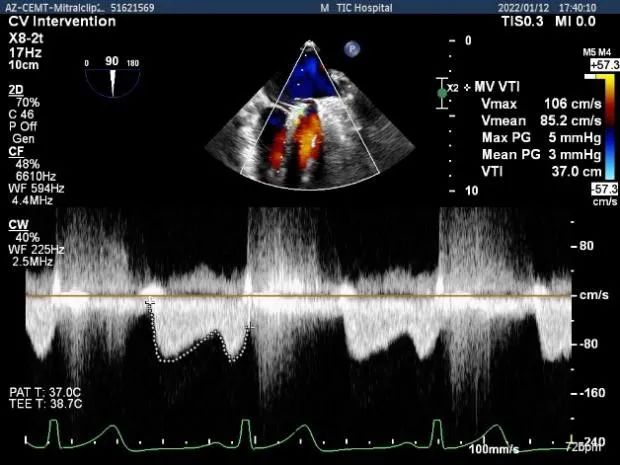
第一个夹子放置侯二尖瓣口平均跨瓣压差:2mmHg
肺静脉血流频谱逐渐恢复正向

x-plane验证前后叶抓捕后bond明显

下一步手术策略:送入第二个夹子并置于第一个夹子内侧钳夹A1-P1区,使两个夹子尽可能贴近并平行排列
3Dview验证两个夹子的位置是否平行
抓捕内侧残余脱垂,color-view示残余返流逐渐减少,主要来源于两个夹子之间
第二个夹子放置侯二尖瓣口平均跨瓣压差:3mmHg
肺静脉血流频谱完全恢复正向
x-plane验证前后叶抓捕后跳跃征明显
3D-view验证两个夹子位置稳定,排列紧密
3D-Color-view验证微少量残余返流
术者心得:
1. 该患者是A1+AC区脱垂病变,CDS需要抵达较远的外侧病变,因此穿刺高度在3.5-4.0cm左右较为合适(如下图所示);
2. 对于A1+AC区病变,钳夹是先选择AC区还是A1-P1区,需要根据患者的病变解剖学特征做出个体化的决策:
若A1-P1脱垂病变后叶较短,可以先选择钳夹AC区病变,使得A1-P1前后叶尽量靠近,再钳夹A1-P1区病变,既保障钳夹足够长度的后叶,也充分钳夹住A1的脱垂病变,同时第2个clip对第一个clip也有较好的稳定作用;
若A1-P1区是脱垂最严重的区域,且前后叶长度足够,AC区脱垂区活动度并不是非常大,可以选择一个长夹子先钳夹A1-P1区,观察AC区MR改善程度,如仍有明显残余MR, 可以选择一个小夹子区夹合AC区病变;若AC区脱垂瓣叶活动也被A1-P1区clip稳定,无明显残余MR,则不需要第二个clip,如本课题组前期在“贞“”心一“课”中报道的一例A1接近交界区重度MR患者,一个clip将A1-P1区钳夹后,AC区MR完全被这个clip“封锁”住,无残余MR, 一个月后复查超声心动图结果也非常满意。
交界区病变的处理实际上涉及到A1,AC和P1区三片组织的三个缘对合的策略,本例患者解剖特征在于A1区脱垂病变冗长,AC脱垂区后叶长度较短(4.7mm),如果先在AC区钳夹,后叶难以抓捕和稳定,因此本例患者采取了一种新的策略,即先钳夹的是A1脱垂+AC区,使其连成一片组织,再将这片组织AC区内侧的A1-P1区用第2个clip进行缘对缘对合,位置平行紧贴第1个clip,既显著减少残余MR,也稳定住第一个clip。
此外,也可以考虑先进行A1-P1区钳夹,在靠近AC区使用Plug进行封堵减少残余分流。
因此,对于交界区附近的复杂二尖瓣病变,并非TEER不可碰触的“禁区”,而是需要术前对二尖瓣复合体的病变做出精准全面的评估以及手术经验的积累,对交界区“三个缘”的钳夹策略做好精心的设计。
3. 钳夹A1+AC区的病变,钳夹的时候需要将LVOT View调整大于150度的大角度,找到脱垂病变最严重的区域,将clip的两个臂显示清楚后进行钳夹,尤其是后叶被牵拉较短的时候,从左室向上托起瓣叶时需要向后瓣环靠近,保证钳夹足够长度的后叶,同时兼顾充分钳夹前叶的脱垂病变。
4. 尽管目前的指南推荐TEER治疗适用于外科手术高风险的MR退行性病变患者,但2019年STS报告中已经指出外科二尖瓣修复术中仅仅只有25%的患者STS评分超过1.2%,绝大多数的MR患者是中危和低危患者。REPAIR-MR研究已经开始探索TEER治疗外科手术中危的原发性MR患者的安全性和有效性,为TEER适应症的扩展提供重要依据。我们中国的TEER治疗起步较晚,但发展迅速,通过我们积极的探索,未来也一定会在中危和低危患者中为TEER治疗的安全性和有效性提供中国学者有力的证据。
专家简介
宋光远
首都医科大学附属北京安贞医院
2015.2-2016.7 美国 Cedars Sinai Medical Center 博士后学习
· 累计完成瓣膜病介入治疗超过 1000 例
· 累计完成房颤左心耳封堵术超过 200 例,其中 LAAO+PCI 一站式治疗 50 余例
· 累计完成复杂冠脉介入治疗超过 5000 例
· 主持结构性心脏病影像核心实验室,目前完成 CT 和超声分析 3000 余例
· 带教省级医院横跨 30 余省市 60 余家 主持国家自然基金,国家自然青年基金、教育部博士点基金、北京市科委创新基金、协和青年基金等多项课题
· 发表论文 20 余篇,共计他引超过 110 次,最高单篇 SCI 影响因子超过 20发表文章质量高:63.2%的文章均发表在《我国高质量科技期刊分级目录》收录的期刊中;21%的文章位于 T1 区(国际一流期刊),31.6%的文章于 T2 区(国际知名期刊)
· 主译《心脏导管手册》,《结构性心脏病介入治疗》
何怡华
首都医科大学附属北京安贞医院
主任医师/国家二级教授/博士、博士后导师
首都医科大学附属北京安贞医院心脏超声医学中心主任、胎儿心脏病母胎医学中心主任;
受国家卫健委委托牵头制定《胎儿心脏病诊断咨询及管理指南》;作为首席专家牵头科技部十三五国家重点研发计划1项、参与十三五国家重点研发计划1项,承担科技部十二五国家科技支撑计划及科技部国际合作、国家自然科学基金、北京自然科学基金等多个国家级和省部级项目。
第一完成人获得2020年教育部科学技术进步奖二等奖;第一完人获得2021年第四届妇幼健康科学技术奖一等奖;
中国心胸血管麻醉学会心血管超声分会主任委员、中华医学会超声医学分会第十届委员会妇产超声学组副组长、国家人口与健康数据平台胎儿心脏首席专家、中国妇幼保健协会胎儿心脏病防治专业委员会第一届主任委员、中国风湿免疫病相关生殖及妊娠研究委员会副主任委员、中国医师协会医学遗传医师分会妇幼保健专业委员会第一届委员会副主任委员等;全国产前诊断专家组成员;中国优生科学协会出生缺陷预防专业委员会常务委员
何怡华教授团队目前有成员40名,团队目前在外科术中及介入治疗领域主攻开发成人介入瓣膜远程协同机器人系统,远程机械臂自动图像采集及图像判读诊断系统,在国内相关领域处于技术领先水平。近十年何怡华教授一第一及责任作者发表国内核心期刊文章260余篇,SCI 76余篇,国际会议发言30余次。主编出版专著《胎儿超声心动图学》,再版《经食管超声心动图学》。

