2022年1月5日,陆军军医大学第二附属医院(新桥医院)心外科肖颖彬、蹇朝教授带领的TAVI团队,正式启动佰仁医疗Renatus®球扩式经导管主动脉瓣系统临床试验入组,并于当天成功完成1例TAVI球扩瓣介入手术。本研究既是首个正式启动的国产球扩式TAVI多中心注册临床试验,也是继佰仁医疗介入瓣中瓣多中心临床试验后第二个球扩式介入瓣正式注册临床试验,具有重要意义。
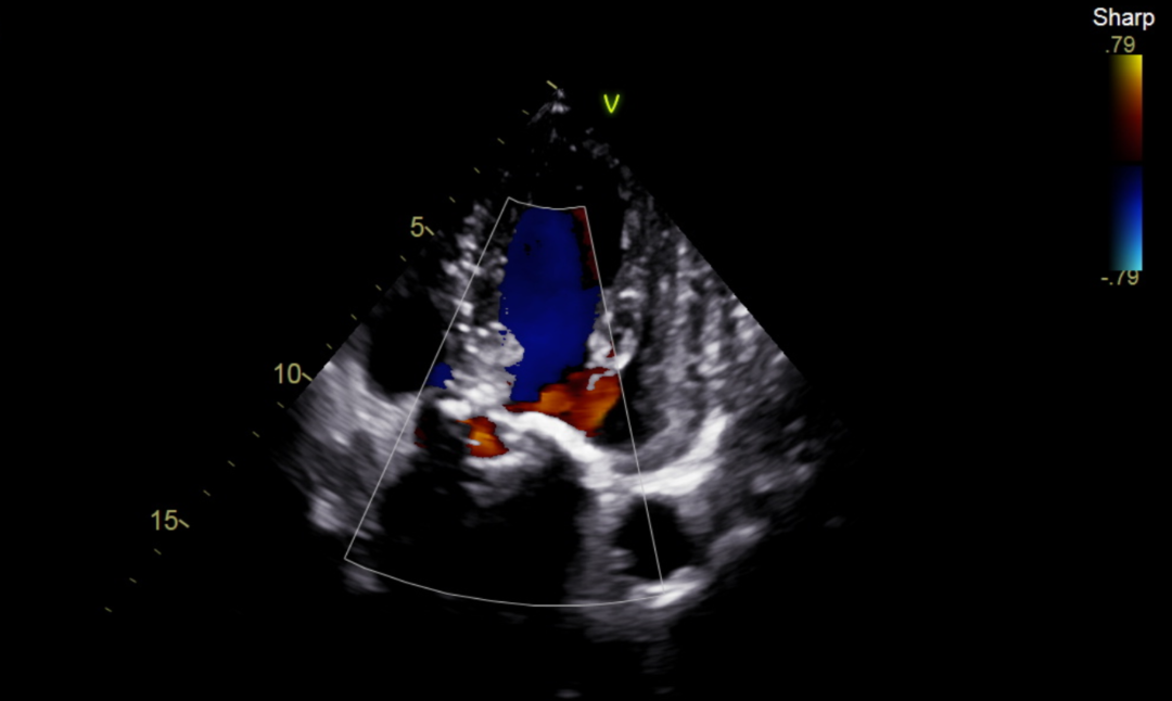
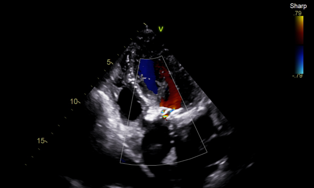
患者男性,78岁,术前心脏超声提示主动脉瓣重度狭窄伴轻度返流。CT评估结果显示三叶瓣,钙化均匀分布在三冠瓣,瓣环平均直径26.8mm,面积径25.7mm,左、右冠脉开口高度较高,无冠脉梗阻风险。下肢血管评估发现患者左侧髂外动脉瘤,下肢血管轻微钙化。
主动脉瓣环
三叶瓣
左冠开口高度
右冠开口高度

球扩释放
重庆新桥医院蹇朝教授表示:
球扩瓣膜 蓄势待发:
关于佰仁医疗
佰仁医疗是国内动物源性植介入材料与人工心脏瓣膜研发与生产的高新技术企业。公司于2019年正式登陆上交所科创板(股票代码:688198),成为国内人工心脏瓣膜领域首家上市企业。公司拥有动物源性材料的核心处理技术,其生产的外科牛心包生物瓣膜是目前国产瓣膜中唯一被大组、长期临床实践证实的成熟产品,其长达14年大组随访结果出色,已发表在国际知名期刊上。公司研发的介入瓣中瓣、介入主动脉瓣,介入肺动脉瓣等多项产品已启动正式临床试验。
专家简介
肖颖彬
重庆新桥医院
主任医师,教授。现任陆军军医大学第二附属医院全军心血管外科研究所所长、外科学和野战外科学教研室主任。是中华医学会胸心血管外科分会常务委员、中国医师协会心血管外科医师分会常务委员兼副总干事、全军胸心血管外科专业委员会主任委员、重庆市医学会胸心血管外科专委会名誉主任委员、重庆市心脏大血管外科医疗质控中心主任、重庆市医师协会心血管外科医师分会会长。
蹇朝
重庆新桥医院
医学博士。2012年获外科学(胸心外)博士学位。2016年晋升副主任医师、副教授、硕士研究生导师。2009年至今在新桥医院心血管外科工作。临床工作能力突出,负责和参与了各种疑难的成人心脏病的外科治疗和手术攻关。在瓣膜成形重建和重症瓣膜疾病的综合治疗上有较深的造诣,瓣膜病合并心房纤颤的临床治疗获军队医疗成果二等奖;组织开展经心尖TAVI手术,团队完成重庆市首例经心尖TAVI手术。经心尖TAVI既能治疗主动脉瓣重度狭窄,也能治疗以关闭不全为主或单纯主动脉瓣关闭不全的患者,技术具有国际先进性;并发症少,传导阻滞发生率约5%,无中到重度瓣周漏发生。开展梗阻性肥厚型心肌病(HOCM)的外科治疗,手术成功率高,无需常规安装永久起搏器,无需同期行二尖瓣置换,达到国内先进水平,作为第一或通讯作者发表SCI论着15篇,研究结果在中华医学会胸心血管外科外科分会作发言交流,先后获中华医学会胸心血管外科分会优秀论文奖和中国医师协会心外科分会优秀青年医师奖。主要研究方向为心肌损伤与修复,尤其在心肌缺氧损伤与自适应、心肌缺氧与心肌细胞再生等研究方向上有重要的研究发现,先后主持3项国家国家自然科学基金。学术研究成果被广泛引用。

