武汉大学人民医院江洪教授、陈静教授挑战P3脱垂超高难度二尖瓣缘对缘修复手术
图片



2022.1.5

二尖瓣是心脏血供的“大门”,这扇门如果年久失修关闭不全,就会“漏风”造成心脏血液反流,长此以往还会引发心力衰竭。心脏舒张时,血液可以经由二尖瓣从左心房流向左心室,当心脏收缩时,二尖瓣就会关闭,阻止血液从左心室逆流回左心房。当二尖瓣无法完全关闭,导致血液逆流,则成为二尖瓣反流(MR)。
国外研究显示,MR≥2+的二尖瓣反流人群患病率约为1.7%,并且患病率随着年龄增长显著增加,75岁以上人群患病率可高达9.3%。
2022年1月5日,武汉大学人民医院江洪教授、陈静教授和周青教授团队再次成功完成一例超高难度经导管二尖瓣缘对缘介入修复手术(TEER)。该患者罹患二尖瓣后叶P3脱垂+连枷、腱索断裂,返流位点在二尖瓣P3区。在江洪教授、陈静教授、周青教授领衔的心内、超声、麻醉、护理团队通过术前充分评估、术中全力合作下,仅用一个夹子完成手术,结果完美,二尖瓣返流基本消失。患者术后心衰症状很快得到缓解,近日即将出院。


患者为81岁女性,“反复胸闷喘气5年,加重10天”入院。

查体:BP 102/58mmHg,HR 94bpm,绝对不齐,心尖部可闻及3/6收缩期杂音,双下肺可闻及少许湿性啰音,双下肢轻度水肿。
经食道心脏超声:AAO 33mm,LAD 55mm,LVDD 45mm,RAD 43mm,RVD 23mm,IVSD 12mm,LVPWD 12mm,LVEF 65%,二尖瓣P3区脱垂+连枷、腱索断裂伴重度关闭不全,瓣叶明显增厚,Width14.1mm,Gap 6mm,脱垂高度10mm,瓣口面积5.2cm²,EROA 0.5cm²。
患者原发性二尖瓣脱垂伴重度关闭不全,对心功能产生显著影响,患者高龄(81岁),STS评分8.259,外科高危,经过我院心脏团队充分评估后,决定为该患者进行TEER术。
手术难点在于患者P3区脱垂,瓣叶明显增厚,Width14.1mm,Gap 6mm,脱垂高度10mm,抓捕难度大,需要尽可能多的去尝试夹合,而P3区反复操作有缠绕腱索的风险,手术过程复杂、难度较大。

手术当天,江洪教授、陈静教授在经食道心脏超声(超声专家周青主任)实时指导下,按照标准流程精准穿刺房间隔,为手术的成功奠定基础。

图片

食道彩超引导下房间隔穿刺

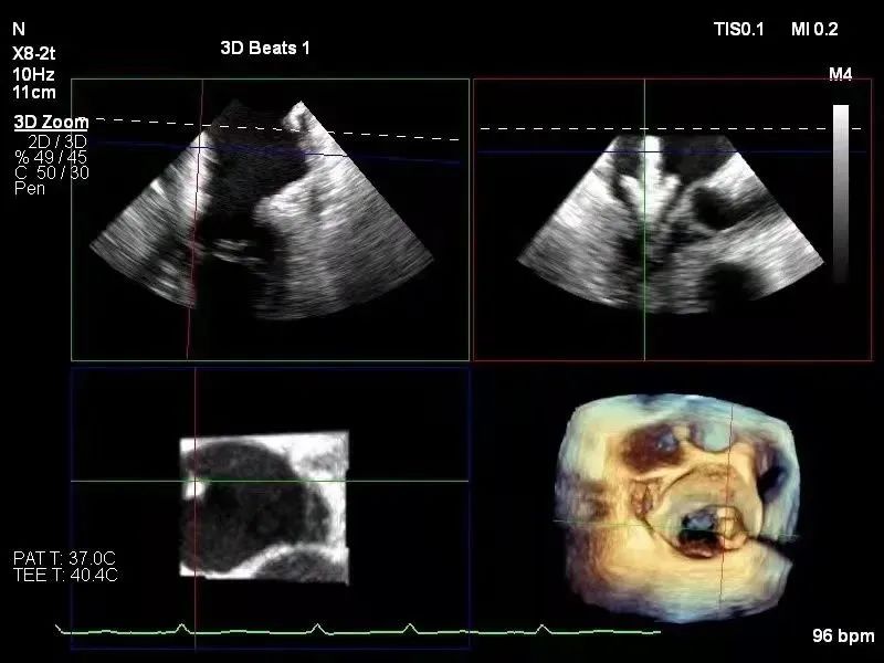
术者在食道超声和DSA引导下,通过反复评估二尖瓣脱垂范围、抓捕位置和角度,最终历时4.5小时仅用一枚宽夹子完成A3P3区域精准钳夹。

图片

术中反复调整夹子的位置(3区)和方向(5-11点)

同时,浙江大学医学院附属第二医院王建安教授团队的刘先宝教授和蒲朝霞教授线上进行手术讨论。术后超声显示,术后二尖瓣反流显著减少,左房压力显著降低,血流动力学改善明显,手术取得圆满成功。

图片
二尖瓣返流在我国发病率占27%,占心脏瓣膜病发病率首位。由于患者心脏二尖瓣关闭不全,收缩期左心室血液会逆流至左心房,导致肺循环及静脉系统血液瘀滞。中度以上的二尖瓣返流即可引起呼吸困难、下肢水肿等心衰的征兆,如不及时纠正,可能带来严重后果,甚至危及生命。传统的外科开胸换瓣创伤大、风险高、恢复慢;而TEER术近年来成为二尖瓣返流微创治疗的新方法,具有创伤小、恢复快等优势,可明显降低二尖瓣反流程度,改善心衰症状,降低住院率和死亡率,将为更多患者带来希望。

这是继2021年8月27日江洪教授团队完成P2区TEER术后,再次挑战P3区高难度的TEER术,标志着武汉大学人民医院心内科在结构性心脏病微创介入治疗领域再次向前迈出坚实一步。

阅读数: 1043