12月8日晚,重庆医科大学附属永川医院胸心外科李超副教授团队应用VitaFlow Liberty™电动可回收瓣膜输送系统,在华中科技大学同济医学院附属协和医院心脏专家的指导下,成功为一例冠脉高风险、主动脉瓣中度狭窄伴重度关闭不全的老年患者实施了TAVR手术,为患者打开了“心”生之门。
基本情况:
入院诊断:
超声评估:
主动脉瓣上峰值流速:3.4m/s,术前跨瓣压差:45.7mmHg,EF值52%,左室前后径48mm,室间隔厚13mm。
心脏彩超提示:左房增大、左室壁增厚、升主动脉增宽、主动脉瓣钙化、主动脉瓣中度狭窄伴重度关闭不全、二尖瓣轻度关闭不全。
李超副教授团队联合带教专家在术前对该患者病情进行了深入分析、反复讨论,考虑该患者病情复杂、高龄、肺功能差、外科开胸风险较高,为该患者行经股TAVR,是获益最大的治疗方案。
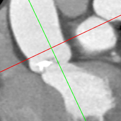
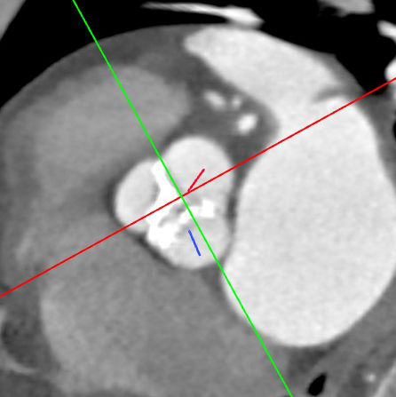
CT评估:
瓣环周长74.6mm,左室流出道周长79.4mm,左冠高度9mm(瓣叶长14mm),右冠高度10mm(瓣叶长11mm),窦宽31/29/30mm,STJ距瓣环高度14.5mm,最大直径约27.6mm。
横切面
纵切面
术前分析及手术策略:
患者三叶瓣,瓣叶增厚,右窦、无冠窦钙化严重,形态分布可能导致术后仍有轻度瓣周漏;右冠瓣瓣叶长,右冠开口处可见瓣叶且靠近瓣叶交界,且右窦钙化分布会将瓣膜往左侧推,结合ST-J高度和大小,冠脉风险较高,需22mm球囊预扩评估。
经团队评估,结合根部形态及病情等因素,决定选用VitaFlow Liberty™电动可回收瓣膜输送系统,22mm球囊预扩,预装TAV27瓣膜,体循干备。计划植入深度1-2mm。
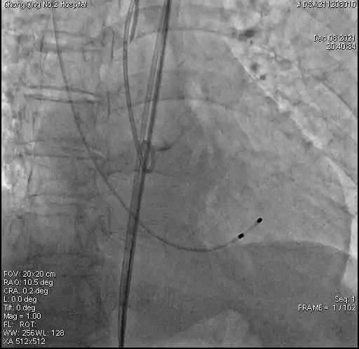
手术过程:
2、AL2导管配合直头超滑导丝跨瓣;
3、22mm球囊预扩张,腰征明显;

4、27mm VitaFlow Liberty™瓣膜定位,零位释放;
5、瓣膜释放3/4,造影显示冠脉良好,瓣膜电动释放稳定,无位移;

6、在影像团队密切配合下,调整角度,短轴视角再次造影确认瓣膜植入深度可,超声确认瓣架深度与左冠距离可;

结语:
重庆医科大学附属永川医院胸心外科李超副教授,擅长为不同患者制定更精准、个性化的疾病诊疗方案,能有效提高患者近中远期生存质量和生活质量,为广大患者带来了新生的希望。重庆医科大学附属永川医院胸心外科TAVR团队将继续与超声科、麻醉科、CT导管室、心内科、手术室、ICU、老年科通力合作,打造一流的TAVR诊疗团队,帮助更多的患者恢复健康,为患者提供包括开放手术、胸腔镜微创手术、经导管介入瓣膜置换手术等多种手术治疗方式的个体化选择。
VitaFlow Liberty™是目前全球唯一一款商业化的电动可回收TAVR系统,其创新性的电动输送系统,在实现稳定精准释放回收的同时,也为术者提供了更好的操控体验;另外VitaFlow Liberty™是目前国内商业化输送系统中唯一可实现瓣膜段360度弯曲功能的输送系统。其较好的柔顺性可有效减少对血管损伤的风险。VitaFlow Liberty™继承了心通医疗第一代TAVR产品- VitaFlow®的混合密度支架结构,继续使用具有更好耐久性的牛心包做为瓣叶材料,且其合理的双层裙边设计能更大范围有效封堵瓣周漏。
专家简介
李超
重庆医科大学附属永川医院
第15党支部书记、胸心外科副主任
副教授、副主任医师、硕士研究生导师
中国人体健康科技促进会结构性心脏病专委会委员
重庆市医师协会心血管外科专委会委员
重庆市中西医结合学会心血管内外科联合专委会委员
重庆市健康促进与健康教育学会第一届眩晕专委会委员
重庆市中西医结合学会胸外科专委会委员
重庆市医学会创伤学专委会委员
重庆市卫生评估专业委员会委员
临床工作:曾到首都医科大学北京安贞医院心脏外科进修学习。擅长先心病的绿色、微创介入治疗,率先在市内开展超声引导下卵圆孔未闭(PFO)合并头晕、头痛,不明原因卒中、胸闷的微创介入治疗,并在市内外推广;心脏瓣膜病、冠心病、大血管疾病、心脏肿瘤的外科及全胸腔镜微创治疗;经导管主动脉瓣置换术(TAVR);肺、食管、纵隔疾病的外科治疗。参与或主持国家级、省部级、厅局级课题累计14项,发表论文15篇,其中SCI 3篇,申请实用新型专利6项。
