2022年1月1日,新年已至,万象更新,在这特别的日子里福建省立医院心内科郭延松教授团队再一次成功完成两例经皮导管二尖瓣缘对缘修复术,标志着福建省立医院心内科在介入治疗二尖瓣重度返流方面持续取得重要进展。目前福建省立医院心内科郭延松教授团队已多次成功开展经皮导管二尖瓣缘对缘修复术。
病情介绍:
病例1
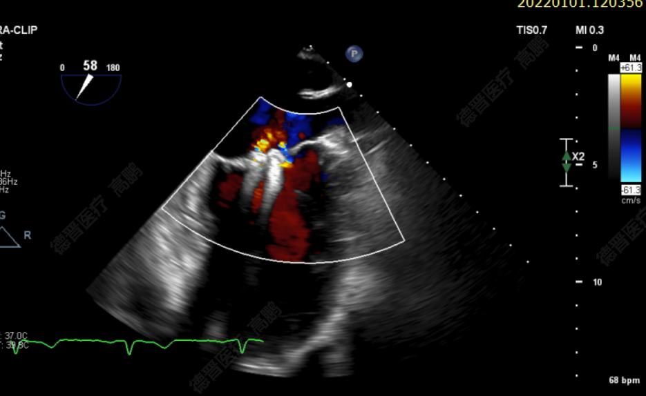
患者为75岁老年男性。反复气促、胸闷2年余,加重1月就诊福建省立医院。经胸心脏彩超提示:二尖瓣后叶重度脱垂伴返流4+、后叶腱索断裂;经食道超声心动图提示:二尖瓣后叶P2区重度脱垂伴返流4+。既往有高血压病、冠心病病史。
病例2
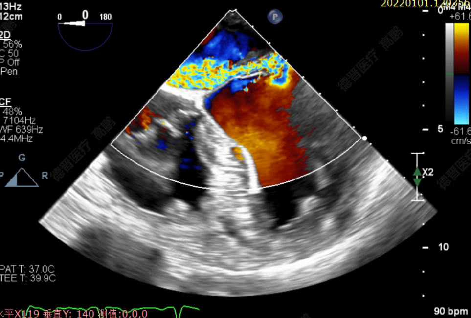
患者为72岁老年男性,反复胸闷、气促1年,加重1周就诊福建省立医院。心脏彩超提示:二尖瓣前叶脱垂伴返流4+;食道超声心动图提示:为二尖瓣后叶A1区偏前联合交界处重度脱垂伴返流4+。既往有COPD(肺功能提示重度阻塞性通气功能障碍)、高血压病病史。
手术策略:
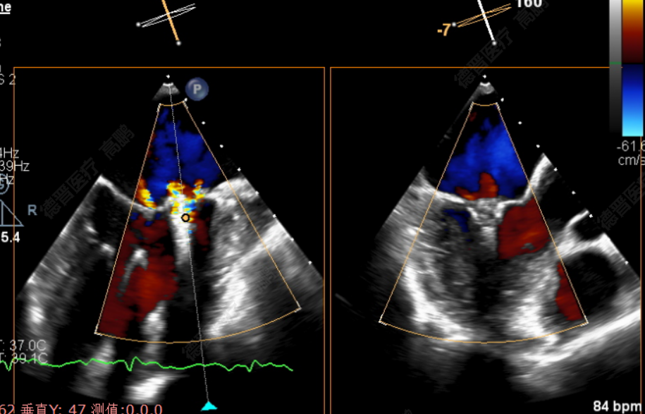
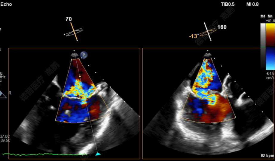
手术过程:
福建省立医院心脏瓣膜病专家介绍
郭延松
福建省立医院
福建省立金山医院副院长,主任医师,教授、博士生导师、FACC;福建省医师协会心血管内科医师分会会长;福建省医学会健康管理学分会主任委员;福建省医学会心血管病学分会副主任委员;福建省医学会心血管病学分会心血管重症与胸痛学组组长;福建省医学会内科学分会委员;福建省医师协会理事会理事;福建省医学会理事会理事;海西心衰学院院长;福建省心衰中心联盟主席;福建省心血管介入治疗质量控制中心主任;卫生部心血管诊疗介入福建省立医院培训基地(冠心病)主任;中国心胸血管麻醉学会精准医学分会候任主委;中国医师协会心力衰竭专业委员会常委;中华医学会心血管病学分会青年委员会委员;中国中西医结合学会心血管病学分会青委会副主任委员;中国中西医结合学会心血管疾病专业委员会委员;中国卒中学会心血管病学分会常委;中国研究型医院协会罕见病协会常务理事;中国心衰联盟副主席;2019年“人民好医生年度人物”;2019年心衰中心“模范专家”;入围福建省2020年国家百千万人才工程推荐人选。
陈新敬
福建省立医院
福建省立医院心内三科 医学博士 主任医师 研究生导师。从事心内科临床工作20余年,主要专长:心血管病诊疗,冠脉介入治疗、经皮导管主动脉瓣置入术(TAVI)、经皮导管二尖瓣缘对缘修复术(TEER)、房颤左心耳封堵术(LAAC)、先天性心脏病介入治疗等。

