随着社会老龄化进程的不断加剧以及人们对生活质量要求的提高,越来越多的老年患者在瓣膜手术时会更倾向于生物瓣,但随着时间的推移,其在体内存在钙化、退变的情况最终导致毁损,最后表现为生物瓣僵硬、瓣膜狭窄或(和)反流。
以往对于生物瓣膜毁损的唯一治疗方法就是再次开胸置换瓣膜,但这种患者的心脏组织粘连较为严重,且年龄偏大,身体素质普遍较弱,甚至合并多系统疾病,因此再次开胸换瓣的手术风险极大,死亡率和并发症的发生率远高于初次开胸手术,所以这类患者往往只能保守治疗,无法再次手术。近几年,经导管主动脉瓣置换术(transcatheter aortic valve replacement, TAVR)在外科治疗瓣膜疾病中发挥着越来越重要的作用,其适应症也在不断扩大。
病例介绍
患者,男,70岁,于1月前无明显诱因下出现活动后胸闷,步行100米后出现气促伴双下肢乏力,无胸痛、发热、头晕头痛、发热畏寒、恶心呕吐及咳嗽等不适。患者于7年前行二尖瓣生物瓣置换术(Edwards Perimount 27#)。术前心脏超声提示:二尖瓣生物瓣置换术后:生物瓣重度狭窄(有效瓣口面积0.58cm²,MPG=12mmHg);左房增大(57mm)左室增大(舒张末前后径73mm),左室壁静息状态下运动弥漫性减弱,左室收缩功能明显减低(EF=29%,Simpson法);轻度肺动脉高压;术前心功能IV级。
治疗方案
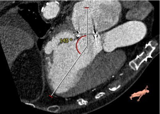
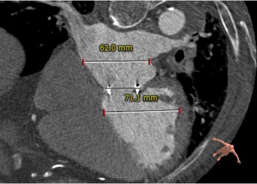
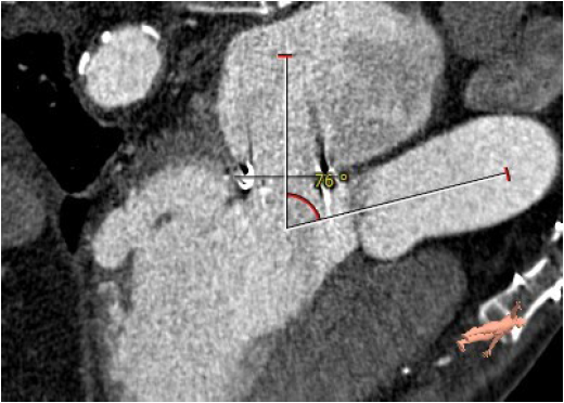
术前CT评估
生物瓣瓣环内径23.5mm
生物瓣瓣环外径29.5mm
生物瓣环周围无明显钙化
生物瓣瓣架高度16.1mm
左房及左室内径
左房及左室内径
主动脉与生物瓣轴夹角76°
左室与生物瓣轴夹角145°
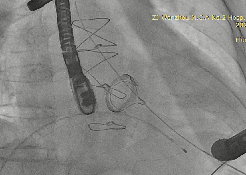
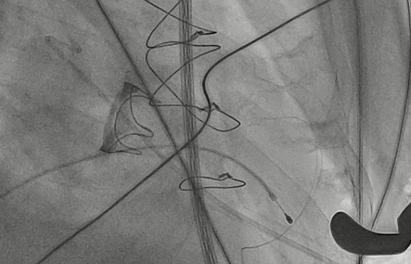
手术过程
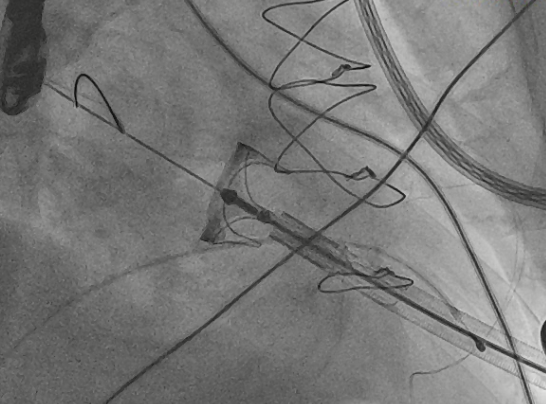
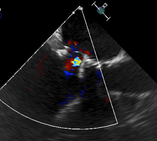
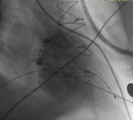
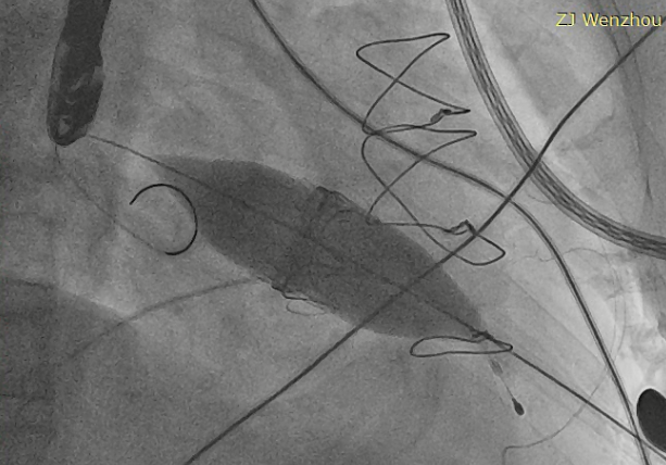
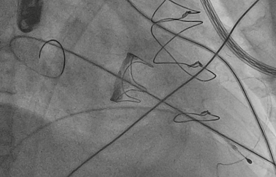
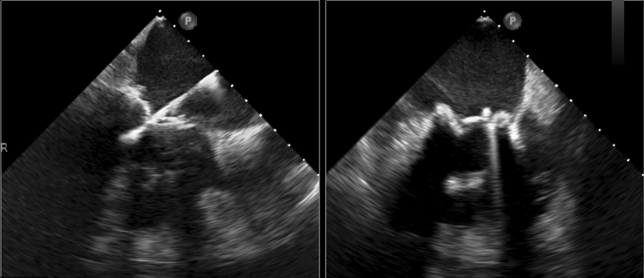
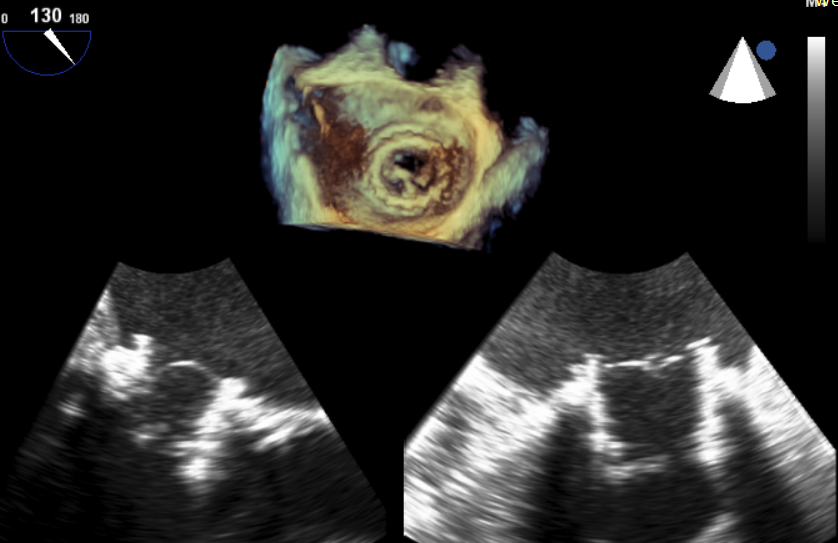
术中影像监护与评估(DSA&TEE)
原生物瓣少量反流
过瓣流增快,呈“五彩状”
猪尾导管过瓣环平面进左心房
交换加硬导丝
扩张鞘预扩心尖穿刺点
输送器进入左室至生物瓣下方
CDFI提示过瓣血流通畅
CDFI示少量瓣周漏
收缩期未见瓣周漏
左房内未见对比剂显影
结果
讨论
小结
专家简介
吴连拼
温州医科大学附属第二医院
温州医科大学附属第二医院 心内科 博士 主任医师、历任温医大二院医务处处长、纪委书记,现任副院长、温医大二院心内科学科带头人、温州名医、温州“特支计划”入选者、中国心胸麻醉委员会基础与转化专业委员会常委、中国研究型医院协会心力衰竭专委会常委、浙江省医师协会心血管医师专科分会副会长、中华医学会浙江省心血管专业委员会常委、中华医学会浙江省介入心血管专业委员会常委、中华医学会浙江省心血管专业委员会心肌疾病与遗传性心肌病变学组组长、中华医学会温州心血管专业委员会委员。日本宫崎大学、美国vanderbilt大学访问学者。第一或通讯作者发表学术论文40余篇,其中SCI论文20篇获浙江省科技进步奖二等奖一项,浙江省医药科技创新奖两项主持国自然、省级课题多项,参编考译专著二部。擅长于心血管疾病的诊治。作为PI参加十五项药物临床研究(涵盖1,2,3,4期药物临床研究)。
赵琦峰
温州医科大学附属第二医院
主任医师,外科学系副主任、心胸外科主任,硕士生导师、浙江省心脏大血管疾病诊治技术研究中心副主任、浙江省卫生厅重点支撑学科-小儿外科学后备学科带头人、中华医学会小儿外科分会心脏学组全国委员、中国妇幼保健协会胸外微创学组全国常委、中华医学会浙江省心胸外科分会常委、中华医学会浙江省小儿外科分会常委、中华医学会浙江省小儿心胸外科学组副组长、中华医学会温州市心胸外科分会副主任委员。从事心胸外科工作27年,主要专业方向为各类心脏疾病及儿童胸科疾病的诊治。常规开展搭桥、瓣膜、大血管手术;常见先心病手术成功率达99%。曾成功救治出生仅24周700多克的早产儿心脏病患儿(为全国年龄、体重最小之一);运用ECMO技术挽救4月龄重症法洛氏四联症术后患儿生命。在浙南地区率先开展食道超声引导下介入治疗(零射线零创口)及微创漏斗胸、鸡胸矫治术。以通信作者、第一作者身份发表学术论文40余篇,其中SCI收录12篇。主持国家自然科学基金、浙江省自然科学基金,省科技厅、教育厅、卫生厅、温州市科技局课题多项。参与的课题获浙江省科学技术进步奖一等奖。
官学强
温州医科大学附属第二医院
温州医科大学附属第二医院心内科主任,医学博士,硕士研究生导师。温州市中华医学会心血管分会委员,浙江省中西医学会心血管分会青年委员,医促会心血管预防和治疗青委常委,医促会胸痛分会委员,中国CTO老伙计成员。2009年于澳大利亚墨尔本大学附属西部医院接受心血管临床专业训练。主要从事冠心病介入诊疗工作,擅长冠脉复杂病变和慢性闭塞病变介入治疗。
张新民
温州医科大学附属第二医院
温州医科大学附属第二医院心内科副主任医师,医学博士,浙江省医学会心血管分会青年委员,中华医学会温州心血管分会青年委员,温州心身医学分会双心学组成员,国家住院医师规范化培训重点专业基地专科导师。参与多项国家级、省部级课题,主持厅局级课题两项,国内外发表学术论文10余篇,多次在国家级心血管会议做病例报告。
