近期,首都医科大学附属北京安贞医院周玉杰教授带领多团队共同协作,顺利为一位Type0型二叶瓣伴有兰伯氏赘生物的重度主狭患者完成TAVR手术,术后患者恢复状况良好。首都医科大学附属北京安贞医院周玉杰教授团队对TAVR技术的熟练运用,为周边地区广大主动脉瓣重度狭窄患者带来福音。
患者男性,64岁,主因“发作性胸闷3年,加重1月”入院。患者3年前,饱餐及活动后出现心前区胸闷、气短不适,休息后可缓解,无咳嗽、咳痰,无痰中带血,无头晕、头疼,无胸痛、呼吸困难,无腹胀、腹痛,无反酸、烧心,未系统诊治。1月前无明显诱因自觉上述症状加重,偶伴心前区疼痛,持续数秒钟可缓解,现为求进一步治疗入院。既往冠状动脉粥样硬化性心脏病,高脂血症,超声心动图提示主动脉瓣狭窄(重度)并反流(轻度)伴有主动脉瓣赘生物,峰值流速4.32 m/s,跨瓣峰值压差75 mmHg,平均跨瓣压差40 mmHg。升主动脉增宽,左室肥厚,左房增大,二尖瓣反流轻度,三尖瓣反流轻度。LVEDd:44 mm,LVEF:70%。左室舒张功能减低。冠脉CTA提示:冠状动脉粥样硬化表现,LCX中远段管壁钙化、非钙化斑块,管腔狭窄50%左右;主动脉瓣钙化,肝右叶血管瘤可能,肝左叶囊性病变。
由于主动脉瓣赘生物可能在治疗过程造成一定的栓塞风险,同时合并跨瓣压差打、左室肥厚、左室内径不大,术中术后有循环崩溃风险。周玉杰教授团队结合患者病变情况,考虑到患者高龄,合并多种老年基础性疾病,瓣膜结构复杂,决定为该主动脉瓣重度狭窄患者行经导管主动脉瓣置换术(TAVR)。
CT评估报告
瓣环平均直径:22.4 mm,左室流出道平均直径:22.2 mm
升主动脉可见增宽扩张,瓣环水平夹角38°
左冠高度:14.3 mm,右冠高度:14.3 mm
钙化积分:609.5 mm³,重度钙化
术前分析及手术策略
患者为TYPE0型二叶瓣,重度钙化,钙化主要分布在左侧瓣叶,瓣叶前后交界缘均可见局部融合,瓣环平面可见钙化,并延伸至左室流出道,左右冠开口高度均为14.3 mm,法式窦结构可,无明显冠脉阻塞风险。心脏角度约38°,左室不大,心肌肥厚,升主动脉可见增宽。
同时可见腹主动脉及其分支管壁不规则并钙化。双侧肾脏双支肾动脉供血,左侧上支肾动脉开口管腔出现重度狭窄,考虑为动脉硬化性。此外,团队对发现的主动脉瓣赘生物进行了逐一排查,最终确定为兰伯氏赘生物,一种因老年性改变出现的细小纤维性丝,形态多样,通常呈条索状,但直径小于1mm,长度小于10mm,经胸超声很难发现,是引起栓塞的高危因素。
周玉杰教授组织科室集体对其病变进行深入分析、反复讨论后,结合患者主动脉根部情况及病情等综合因素,决定使用VenusA-Plus®可回收输送系统,选用18 mm球囊预扩张,经由右侧股动脉入路拟植入L23型号瓣膜完成此次手术。
手术过程
在放射科,超声科和麻醉科的通力协作下,顺利完成了术前准备,术者团队在术中谨慎建立轨道,根据主动脉根部造影的结果选择合适的跨瓣体位。


主动脉根部造影 18 mm球囊预扩


输送系统定位 瓣膜释放过程


20 mm球囊预扩 瓣膜完整形态
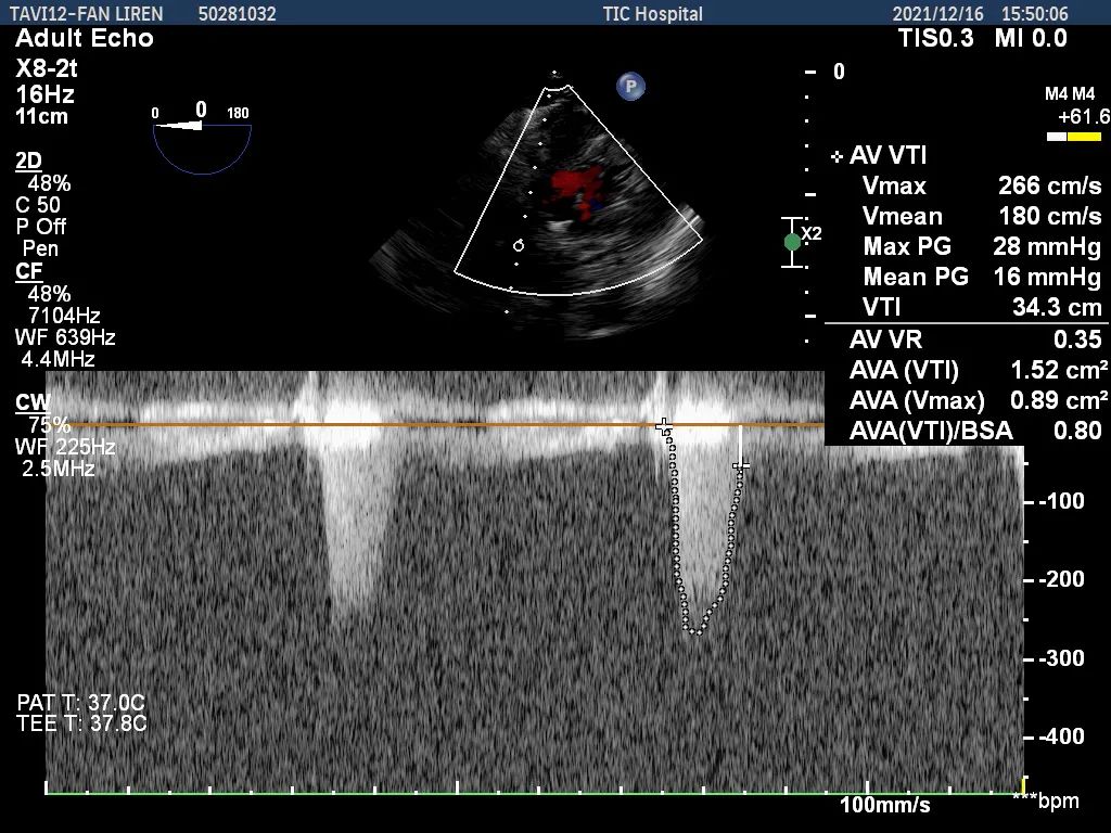
首都医科大学附属北京安贞医院老年心血管病中心由多学科管理团队组建,推行协同诊疗模式,实施心脏膜病的规范诊疗和长期管理,以最大程度提高心脏端股病患者的生存率和生活质量。本例患者术前经过影像科徐磊主任团队及心脏超声科张纯主任团队的精准评估和诊断,针对患者临床和解剖结构的诸多不利因素,周玉杰教授团队为患者制定了周全的手术方案。最终,周玉杰教授TAVR团队克服重重困难,成功为患者植入启明VenusA L23mm主动脉瓣膜,术后主动脉瓣口最大流速下降至2.66m/s,最大压差下降至16mmHg。再行主动脉造影提示瓣膜置入位置良好、形态完整,超声提示未见明显瓣周漏,瓣膜赘生物完全覆盖贴合至主动脉壁。围术期患者心率血压平稳,心律为窦性心律,未发生任何传导阻滞,双侧股动脉缝合良好,各穿刺点无渗血。在瓣膜植入后患者返回监护室出现持续性低血压,考虑发生自杀左心室现象,在持续补液及去甲肾上腺素、多巴胺泵入后患者血压逐渐回升,血流动力学稳定,患者无明显不适,手术圆满成功。
总结:
该患者在治疗过程中同时合并主动脉瓣赘生物及自杀左室两种风险,主动脉赘生物主要包括感染性赘生物、非细菌性血栓性心内膜炎和兰伯氏赘生物。感染性赘生物多发生于感染性心内膜炎,超声上可见不规则的中低回声团块附着在瓣叶上,常在主动脉瓣的心室面和二尖瓣的心房面,并伴有瓣膜的损害。非细菌性血栓性心内膜炎多见于恶性肿瘤和风湿免疫性疾病等高凝状态的患者。在超声上多表现为瓣叶上纤细的线状中低团块、活动性较大,呈飘带状,易脱落造成体循环栓塞。兰伯氏赘生物为1856年捷克医师Vilem Dusan Lambl报道的一种细小的纤维性条索附着在主动脉瓣叶并将其命名为lambl’s excrescences(LE)。LE形态多样,但通常是细小条索样,通常为单股,也可成乳头状或纺锤状。其发病机制被认为与高应力区域(瓣膜闭合线)的心内膜病变有关。它们有由弹性结缔组织构成的中央核心和表面的单层内皮细胞覆盖组成。左侧心腔更常见,发生率分别为二尖瓣(68-76%),主动脉(38-50%),部分人工瓣膜也可发生。其产生机理多认为由于瓣膜处心内膜受损引起,瓣膜长期处于高压力冲击状态,其心内膜面出现细小的磨损和撕裂,损伤处出现纤维沉积,继而单层内皮细胞将纤维结缔组织覆盖形成兰伯氏赘生物。该患者主动脉瓣合并赘生物,高度怀疑为兰伯氏赘生物,术中术后均具有较高的栓塞发生率,因此术前充分预估手术风险,做好充足预案,确保手术安全顺利完成。TAVR术后伴随着显著的血流动力学改变,在主动脉瓣狭窄解除后突然的后负荷减低常导致左心室过度收缩进而阻碍了正常的前向血流,最终造成血压的急剧降低,该种现象被称为自杀左心室。该患者术前超声心动提示左室内径较小,心肌肥厚,主动脉瓣跨瓣压差较大均为自杀左心室的危险因素,此外还有低左心室质量、高射血分数、非对称性左室肥厚、流出道梗阻等原因。循环液体的补充、β受体阻滞剂、血管活性药物常可缓解上述现象,必要时可选择左心室辅助装置及体外肺膜氧合装置植入以稳定循环状态。该例患者的成功救治离不开心内科、心外科、麻醉科、影像科及体外循环等相关科室的通力合作,更是突显了一支成熟的TAVR团队对诊治临床情况复杂多变的危重瓣膜患者的重要性。
专家简介
周玉杰
首都医科大学附属北京安贞医院
主任医师、教授、博士生导师、北京学者,首都医科大学附属北京安贞医院常务副院长,北京市心肺血管疾病研究所常务副所长,国家心血管疾病临床研究中心学术负责人,国家心血管疾病临床重点专科学术负责人,卫生优秀科技人才及领军人才,新世纪国家级百千万人才,美国 C3(复杂心血管介入治疗)终身成就奖,FACC,FHRS,FSCAI,FESC 资深会员,中华医学会心血管病学分会常务委员,中国医师协会心血管内科医师分会副会长,中国医师协会介入心脏病协会主任委员,中国医疗保健国际交流促进会医疗质量控制委员会主任委员,中国老年保健医学研究会慢病防治管理委员会主任委员等。