2021年12月31日上午,”双首发”重磅出击,哈尔滨医科大学附属第二医院于波教授团队的张东会教授、杨光教授、陈涛教授在心脏超声科、心外科、麻醉科等多学科团队的密切配合下,首次应用由沛嘉医疗自主研发TaurusNXT“非醛交联”经导管主动脉瓣系统(干瓣预装载)完成临床试验分中心首例植入。随后,于波教授团队再次成功完成TaurusElite可回收经导管主动脉瓣系统的首例植入。本次手术得到了中南大学湘雅二医院周胜华团队方臻飞教授的现场支持。两台手术圆满成功,术后两位患者的血流动力学均得到显著改善,此技术的应用在为患者带来更长久生存期获益的同时,更好地提高了其生活质量。
Case1 患者信息
患者为75岁女性,Type1型二叶式主动脉瓣,左右瓣叶纤维性融合。术前超声心动图提示主动脉瓣重度狭窄伴重度钙化,峰值流速 4.19m/s、平均跨瓣压差 70mmHg、有效瓣口面积 1.23cm²;左室壁增厚、左室舒张功能减低;LVEDd:40.3mm,LVEF:73.5%。
主动脉根部评估
CT 数据显示该患者为Type1型二叶式主动脉瓣
主动脉瓣瓣环周长72.5mm,周长径23.1mm
LVOT 周长 85.1mm,周长径27.1mm
SOV:31.1mm*33.6mm*31.6mm
STJ 周长 91.9mm
无冠瓣钙化严重,HU850:448mm³
瓣环水平夹角46度
血管外周入路评估
病例特点
TaurusNXT植入过程
术中影像
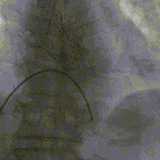
主动脉根部造影
TaurusAtlas 18mm球囊预扩张
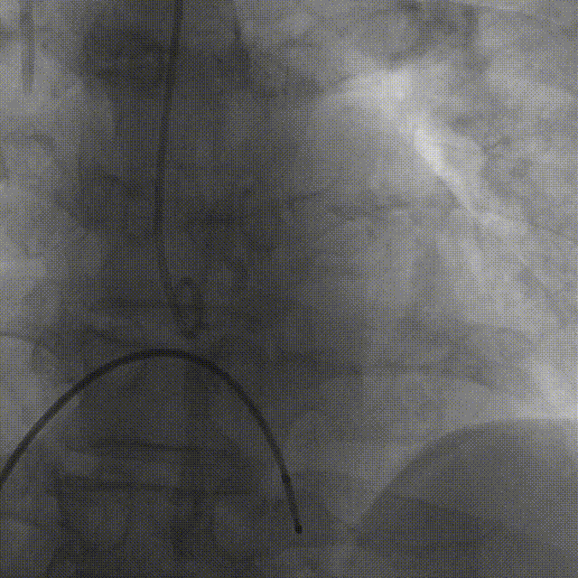
瓣膜释放至工作位造影
最终造影
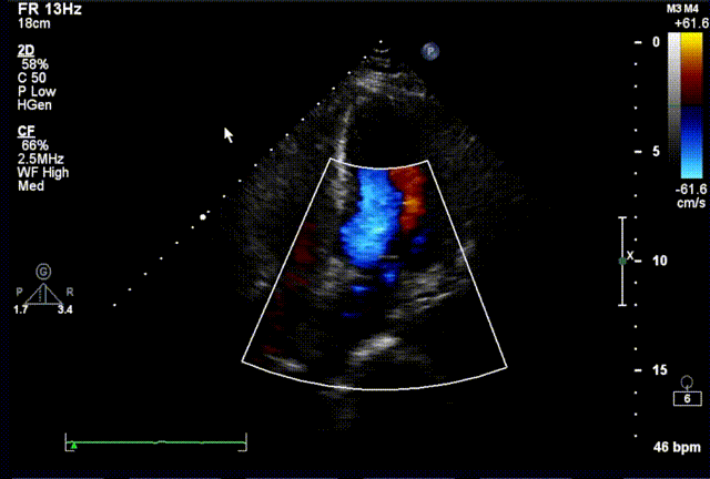
术后超声
Case2 患者信息
患者为68岁男性,左右融合Type1型二叶式主动脉瓣,中度钙化伴瓣叶增厚。术前超声心动图提示主动脉瓣重度狭窄伴重度钙化,峰值流速 5.2 m/s、平均跨瓣压差 110 mmHg、有效瓣口面积 1.36 cm²;室间隔稍厚,左室舒张功能减低;LVEDd:44 mm,LVEF:65 %。
主动脉根部评估
病例特点
TaurusElite植入过程
术中影像
冠脉造影
主动脉根部造影
TaurusAtlas 20mm球囊预扩张

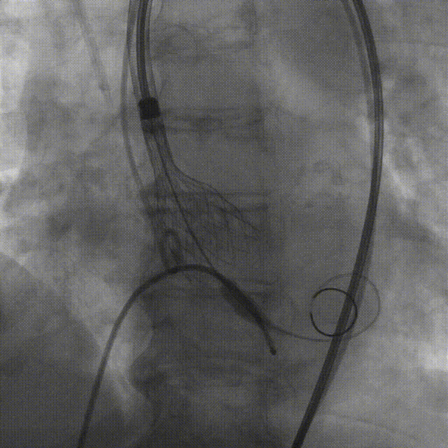
瓣膜回收后再释放
瓣膜第二次释放至工作位造影
最终释放后造影
术后超声
沛嘉医疗专注于结构心脏病介入治疗解决方案的自主研发与创新,以至善尽心、呵护生命为理念,致力于不断推出适合于中国患者惠及世界的高品质医疗产品,救治上千万心脏瓣膜疾病患者是我们不懈努力的方向。在中国,为中国,惠世界。