2021年12月9日,河北省唐山中心医院心外科成功完成一例高龄大瓣环、重返流、心衰不耐受外科手术的主动脉瓣置换。在医院多学科的共同协助配合下,张晶副院长带领团队顺利完成手术。目前患者已出院,随访良好,无传导阻滞。唐山中心医院心外科不断用新技术造福一方患者。
病史资料:
患者为78岁男性,2020年10月出现反复胸闷、胸痛及双下肢水肿的情况,就诊于阜外医院,口服药和生活干预后轻微缓解。2021年3月上述症状再次发作,在阜外医院确诊为“冠状动脉粥样硬化性心脏病”, 伴有高血压史,控制不佳,且未规律口服药物治疗。造影检查左冠前降支近段50%偏心性狭窄,右冠回旋支近段50%偏心性狭窄,右冠近段50%偏心性狭窄,进行对症治疗,症状好转后出院,继续保守治疗。2021年11月3日在当地医院因心衰保守治疗,好转后出院。2021年11月24日因呼吸困难再次住院,抗心衰治疗后,症状无缓解并加重,遂转入ICU并带上呼吸机,病情逐渐恶化,随后转入唐山中心医院心外科,诊断为“主动脉瓣中度狭窄伴重度关闭不全”,患者NYHA心功能IV级。经团队评估行外科手术换瓣属高危,且病情危重,决定行TAVR手术。
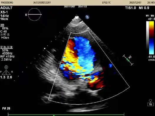
术前心脏超声:
提示
影像分析
术前讨论:
手术策略:
手术过程:

根部造影

第一次定位释放

第二次定位释放

释放完成, 最终造影
结语:
术者介绍
张晶
唐山中心医院
主任医师、医学博士、唐山中心医院副院长、心脏外科
· 毕业于中国协和医科大学北京阜外心血管病医院
· 原首都医科大学附属北京安贞医院心外科知名专家
· 北京市自然科学基金评审专家
· 宋庆龄基金会项目评审专家
· 中华医学会胸心血管外科分会委员
· 从事心脏病临床工作27年
· 参与完成各种心脏外科手术12000余例,其中主刀11000余例
· 擅长冠心病搭桥手术、各种先心病手术、风心病瓣膜置换及瓣膜成形、主动脉根部、弓部替换的大血管及心脏二次手术,患者年龄从出生仅7 天的完全性大动脉转位到81岁的老年搭桥,成功率99.5%,积累了丰富的临床经验。
· 手术成功率达到了国内领先水平,受到行业内的认可及广大患者的信任。
