陆军特色医学中心大坪医院心脏血管外科运用VenusA-Plus完成三例重度AS患者TAVR手术


图片



•心脏血管外科胡义杰教授TAVR团队•


陆军特色医学中心大坪医院心脏血管外科胡义杰教授带领TAVR团队砥砺奋进,高标准、严要求完成每一台手术,不断提高手术技艺,近日,应用VenusA-Plus圆满完成三例重度AS患者的TAVR手术,作为科室年度的满分答卷,充分展示了陆军特色医学中心大坪医院心脏血管外科在TAVR领域的丰富经验与技术实力,给周边地区主动脉瓣狭窄患者带去了治愈的希望。




病例1:病史简介






患者



患者男性,78岁。


主诉



反复活动后喘累、气促10余年,加重8月。


现病史



入院前10余年,患者无明显诱因出现喘累、气促、胸闷,以活动后明显,休息后可缓解,不伴有双下肢水肿,于当地医院就诊提示心脏瓣膜病(具体不详),予以强心、利尿、扩血管等对症支持治疗后上述症状缓解,此后至今上述症状反复发作,无明显加重,发作频率无明显增加,患者走平路可,爬1层楼后即感气促、呼吸困难,无发热、咳嗽,无胸痛、咯血,无腹痛、腹胀,现为求进一步治疗来我院。



术前检查






超声检查



左室射血分数:54%;

主动脉瓣峰值流速:676cm/s;

主动脉瓣平均跨瓣压差:183mmHg;

诊断:主动瓣膜狭窄(重度)伴关闭不全(重度返流);二尖瓣狭窄(中度)伴关闭不全(中度返流);


主动脉CT




图片



图片



图片



图片



图片



图片


图片



手术策略





难点分析:

*功能型二叶瓣,瓣叶增厚,重度钙化,瓣环及左室流出道层面仍可见钙化,左右可见钙化融合,瓣膜释放后发生瓣周漏的风险较高,瓣膜释放后容易移位。

*左右股动脉较细,直径小于6mm, 双侧髂动脉-股动脉走形迂曲,可见明显钙化,术中操作需谨慎轻柔,注意血管并发症的发生。

*左室腔较大,术中需注意液体管理。


制定策略:

经分析研判,拟从右侧股动脉穿刺入路,使用22mm球囊预扩,选用L26号的VenusA-Valve瓣膜,采用VenusA-Plus可回收输送系统进一步确保手术安全,瓣膜释放后结合造影和超声情况,决定是否后扩。


图片



术中影像






图片


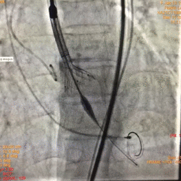
根部造影


图片


球囊预扩


图片


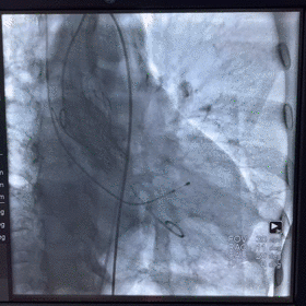
瓣膜释放至2/3造影观察


图片


瓣膜释放后形态欠佳


图片


经球囊后扩后瓣膜形态良好


手术结果



术后造影及超声探查未见瓣周漏,跨瓣压差术前183mmHg,术后几乎无压差,术中及术后未出现相关并发症,手术圆满完成。




病例2:病史简介






患者



患者女性,74岁。


主诉



活动后气促10+年。


现病史



入院前20年,患者无明显诱因出现心悸、胸闷、气促,以活动后明显,休息后可缓解,伴有双下肢水肿,能平卧,于当地医院就诊提示心脏瓣膜病(具体不详),予以强心、利尿、扩血管等对症支持治疗后上述症状缓解,此后至今上述症状反复发作,稍微活动后即感气促、呼吸困难,现为求进一步治疗来我院,门诊以“心脏瓣膜病”收入我科。



术前检查






超声检查



左室射血分数:53%;

主动脉瓣峰值流速:597cm/s;

主动脉瓣平均跨瓣压差:143mmHg

诊断:风湿性心脏病、主动脉瓣狭窄(重度)伴关闭不全(轻度)、二尖瓣狭窄(轻度)伴关闭不全(重度)



主动脉CT




图片



图片



图片



图片



图片




手术策略





 难点分析:

*患者为TYPE0型二叶瓣,重度钙化(钙化积分高达1056),可见钙化延伸至左室流出道,瓣叶前交界缘存在粘连,瓣膜释放后发生瓣周漏的风险较高。

*患者为风湿性心脏病患者,瓣膜释放后移位风险增加,对术者瓣膜植入位置的操控要求较高。


制定策略:

经分析研判,拟从右侧股动脉穿刺入路,使用18mm球囊预扩,采取downsize手术策略,选用L23号的VenusA-Valve瓣膜,因患者伴有风湿性心脏病,瓣膜容易移位,故采用VenusA-Plus可回收输送系统确保瓣膜的稳定释放,瓣膜释放后结合造影和超声情况,决定是否后扩。


图片



术中影像






图片


根部造影


图片


球囊预扩


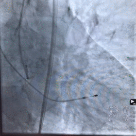
图片


瓣膜释放


图片


瓣膜释放完毕



手术结果



术后造影及超声探查未见瓣周漏,跨瓣压差术前56mmHg,术后几乎无压差,术中及术后未出现相关并发症,手术圆满完成。



病例3:病史简介






患者



患者男性,61岁。


主诉



反复活动后喘累、气促4年,加重15天。


现病史



入院前4年,患者活动后出现唱累、气促,休息后可缓解,此后至今上述症状反复发作,无明显加重,发作频率无明显增加,近15天感喘累、气促加重,伴有双下肢水肿,遂至当地医院就诊,心脏超声提示;心脏瓣膜病(具体不详),予以强心、利尿等对症支持治疗后上述症状缓解,患者走平路可,爬1层楼后即感气促、呼吸困难,现为求进一步治疗来我院,门诊以“风湿性心脏病”收入我科。


既往史



3年前发现“冠心病”,未予以特殊治疗,4年前发现“高血脂”,规律服药,控制效果可。



术前检查






超声检查



左室射血分数:66%;

主动脉瓣峰值流速:520cm/s;

主动脉瓣平均跨瓣压差:108mmHg;

诊断:主动瓣膜狭窄(重度)伴关闭不全(中度返流);二尖瓣轻度返流;


主动脉CT




图片



图片



图片



图片



图片



图片




手术策略





CT分析:

*患者为TYPE1型二叶瓣,左右钙化融合,冠脉高度高,法式窦结构可,心脏角度约50°,左室大小可,心肌增厚,升主动脉未见明显增宽。主动脉弓部走形较平缓,右侧股动脉可作为主入路。

制定策略:

经分析研判,拟从右侧股动脉穿刺入路,使用23mm球囊预扩,选用L29号的VenusA-Valve瓣膜,采用VenusA-Plus可回收输送系统进一步确保手术安全,瓣膜释放后结合造影和超声情况,决定是否后扩。


图片



术中影像






图片


根部造影


图片


球囊预扩


图片


释放瓣膜


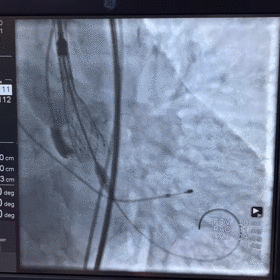
图片


瓣膜释放至2/3造影观察


图片


瓣膜释放完毕


手术结果



术后造影及超声探查未见瓣周漏,跨瓣压差术前108mmHg,术后几乎无压差,术中及术后未出现相关并发症,手术圆满完成。



总结





随着中国人口老龄化,瓣膜退行性病变患者人数不断增多,已成为临床上最常见的心脏瓣膜病之一,对于重度主动脉瓣狭窄,以往外科换瓣一直是标准的治疗方案。随着近年来经导管介入瓣膜技术的开展,越来越多的患者开始接受创伤更小,操作方便的经股动脉入路主动脉瓣置换术(TAVI)。尤其是对高龄及常规外科换瓣手术高风险的患者。

三台圆满完成的TAVR手术作为科室2021年完美收官,体现出对胡义杰教授对TAVR术式的深刻理解,反映了多学科团队多学科之间的密切协作,中心从容应对各类复杂病例的丰富经验和高超水平,无疑增强了周边患者治愈的信心,提供了全新的治疗选择。



专家简介



图片


陆军特色医学中心

胡义杰

心脏血管外科

医学博士 副主任医师

加拿大多伦多大学博士后、德国柏林心脏中心访问学者,现任中国医师协会心血管外科医师分会先心病学术委员会委员、中国医师协会新生儿专业委员会外科专业委员会委员、重庆市医学会胸心外科专业委员会委员和《心血管外科杂志》青年审稿人。主攻方向为心脏和血管疾病微创治疗。以第一(或通讯)作者在《American Journal of Respiratory and Critical Care Medicine》、《Chest》、《Journal of Thoracic and Cardiovascular Surgery》、《Annals of Thoracic Surgery》等心胸血管外科专业学术期刊上发表学术论文20余篇,其中SCI论文16篇,单篇最高影响因子15.2。获军队科技进步三等奖1项;获原第三军医大学临床新技术一级乙等1项、二级甲等1项、二级乙等1项。主持和参与国家自然科学基金等项目10余项。授权国家发明专利1项,国家实用新型专利2项。入选第三军医大学“苗圃工程”,荣立个人三等功一次。


阅读数: 1811