周周寄语:
血小板减少是重度主动脉瓣狭窄患者特别是TAVR围术期可能遇到的临床现象。有研究提示,免疫性血小板减少(ITP)的患者主动脉瓣疾病的发生率更高。(Ann Hematol. 2020 Sep;99(9):2081-2084)而重度主动脉瓣狭窄的患者,由于血流高剪切力的作用,可能促进血友病因子(vWF)与血小板的联结,减少血小板计数(Circulation. 2000;102:1290-1295),也可能通过激活血小板、促进血小板聚集导致血小板减少(Platelets. 2011;22(8):602-10.)。也有资料提示,一些患者进行TAVR治疗后的围术期可能出血血小板下降,术后的第2-5天是最低值,这种术后血小板下降,有可能是肝素相关血小板下降,一般可以恢复,但是也有可能是严重的瓣周漏破坏血小板,这样的话需要尽快处理严重的瓣周漏。术后血小板下降的幅度与不良预后相关。(Catheterization and Cardiovascular Interventions. 2015; 85:118–129).
基本信息
心脏瓣膜病变
重主动脉瓣口流速 4.9m/s;峰压差 98mmHg;平均压差57mmHg;LVEF 55%
重度主动脉瓣狭窄并中度反流 轻度二尖瓣反流 轻度三尖瓣反流
少量心包积液
升主动脉明显扩张
主动脉瓣及二尖瓣毛糙(赘生物不明显),建议必要时行经食道三维超声进一步评估瓣膜情况
入院诊断:
1、主动脉瓣狭窄(重度);
心包积液(少量);
心功能Ⅲ级(NYHA分级)
2、社区获得性肺部感染待排
心内膜炎排除诊断依据
经抗感染、利尿减轻心脏负荷及维持水电解质平衡等治疗
8-26予以哌拉西林钠他唑巴坦钠针(邦达) 4.5g 静滴 q8h,血小板下降到危急值,
8-28改为头孢哌酮/舒巴坦(舒普深)3000g q12H+青霉素 800万 iu q12H抗感染
9-1改为头孢哌酮/舒巴坦(舒普深)3000g q12H+左氧氟沙星氯化钠注射液500mg QD 静滴
感染指标
ITP:抗血小板抗体升高,但是骨穿结果不支持,可能
TTP:发热(但感染可能性大),胆红素不高、肾功能正常、无溶血、无精神异常,暂无依据
考虑免疫性血小板减少可能性大
促血小板生成素 15000u/天或者口服的TPO激动剂(如阿伐曲泊帕等)治疗,必要时可通过输血小板提高血小板水平。
结合患者病史,最终选择行TAVR术式。
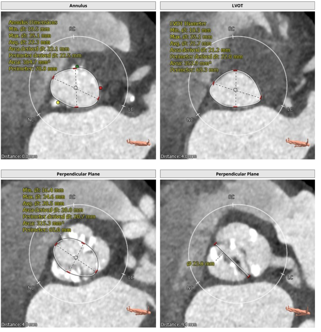
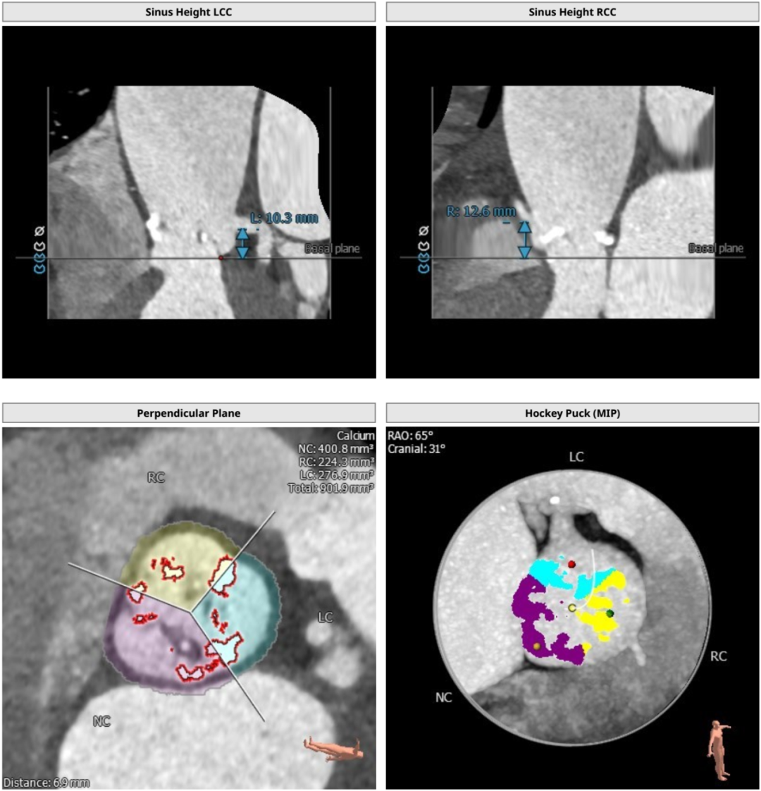
根部解刨:
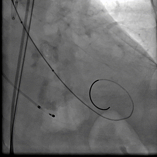
手术过程



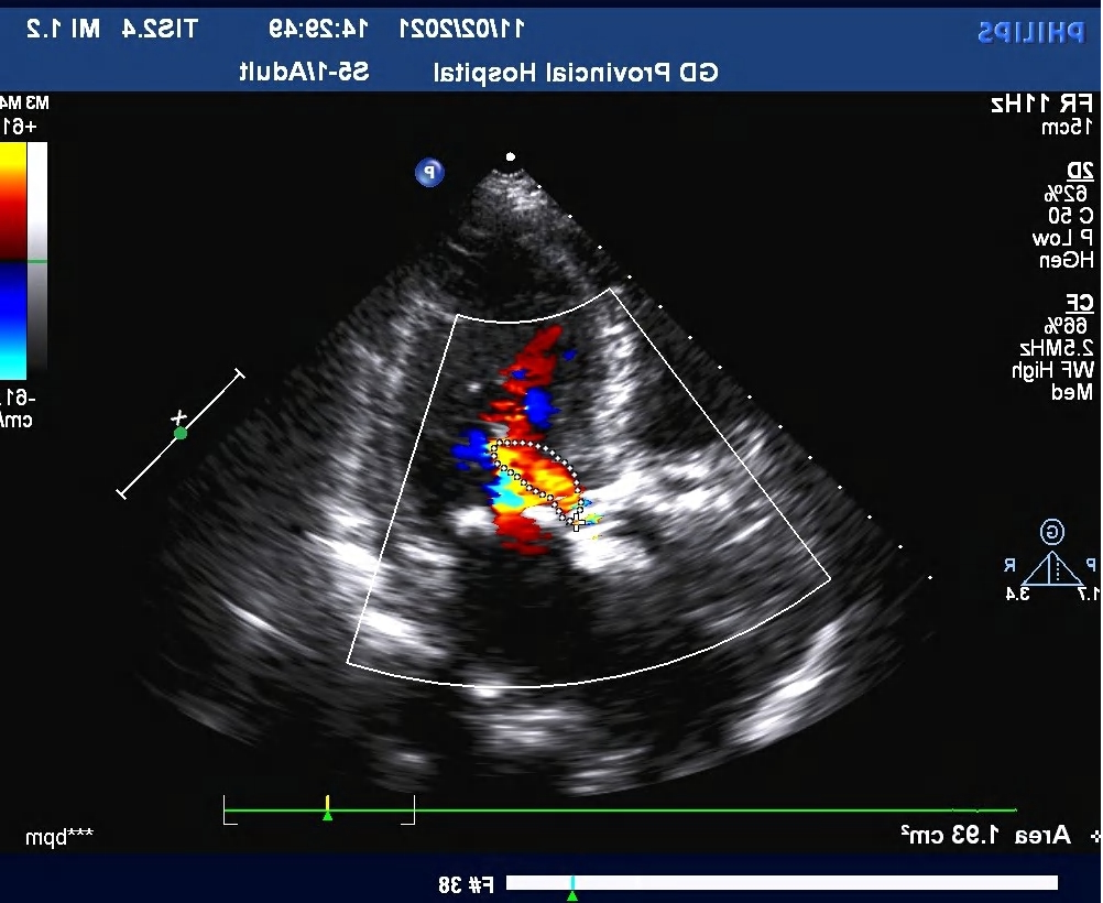
术后超声
主动脉瓣流速 2.98
治疗方案
术后III° AVB,持续,1周后安装起搏器
监测血小板抗体,必要时使用皮质类固醇或利妥单抗或者丙球治疗
术后一个月随访
三尖瓣反流,彩束面积 1.5cm²,估测肺动脉收缩压 24mmHg。
专家介绍
罗建方
广东省人民医院
医学博士、主任医师、博士生导师。现任广东省人民医院心内科副主任,广东省人民医院南海医院院长、广东省人民医院血管病诊疗中心主任、广东省冠心病防治研究重点实验室副主任。
学术任职:美国心脏病学院Fellow (FACC)、欧洲心脏病协会Fellow (FESC)、美国心血管造影与介入学会Fellow (FSCAI)、首批Global Hybrid Algorithm Community国际认证Hybrid CTO带教专家、卫生部心血管疾病介入诊疗培训基地(冠心病介入治疗)导师。
中华医学会心血管病学分会大血管学组副组长、中国研究型医院学会心血管影像专业委员会副主任委员、中国研究型医院学会血管医学专业委员会副主任委员、中国医疗保健国际交流促进会血管疾病分会副主任委员、中国医疗保健国际交流促进会难治性高血压与周围动脉病分会副主任委员、中国医药教育协会血管医学分会副主任委员、广东省介入性心脏病学会周围血管介入分会主任委员、广东省医师协会心血管介入医师分会副主任委员、广东省医师协会心血管内科医师分会常务委员、广东省医学会心血管病分会结构性心脏病学组副组长等。
血管疾病多学科协作论坛(VMDT)执行主席、冠心病与周围血管介入沙龙(CPIS)执行主席、亚太CTO俱乐部广州峰会共同执行主席、亚洲心脏病学会年会秘书长等。
技术特长:擅长复杂冠脉病变、主动脉疾病、瓣膜疾病、周围血管病等的介入治疗。在国内率先开展脑保护装置下颈动脉介入治疗、经桡动脉行肾动脉介入治疗、快速起搏与经皮穿刺主动脉腔内修复术(TEVAR),2016年4月完成华南地区首例经导管主动脉瓣置换术(TAVR),2019年2月成功实施全球首例经股动脉途径TAVR联合TEVAR一站式手术,团队整体TAVR手术量已超过500台,已经帮助全国100家中心开展TAVR手术。
科研成果:获中国医药教育协会科学技术奖二等奖1项、广东省科学技术奖二等奖2项、三等奖2项。参编学术专著6部,发明专利4项,发表学术论文100余篇。先后承担省市级课题数项,培养硕博士20余人,目前在研经费超过500万元。
李捷
广东省人民医院
医学博士,副主任医师,硕士导师。
学术任职:中国医师协会心血管病分会结构组委员;广东省介入性心脏病协会结构分会常务委员;广东省医师协会心血管介入医师分会委员;广东省医师协会高血压分会青年委员;广东省医院协会心血管质控管理分会结构性心脏病学组委员;中国大湾区心脏协会精准诊疗分会委员;中国结构周秘书长;血管疾病多学科协作论坛(VMDT)秘书。
技术特长:擅长经导管主动脉瓣置换术,手术量超600台,帮助全国70多家中心开展TAVR手术。擅长复杂冠脉病变、主动脉疾病、瓣膜疾病、周围血管病等的介入治疗。

