4小时的艰苦奋斗,只为了一次场生命的奇迹!
82岁高龄男性患者,发现主动脉瓣重度狭窄约两个月。既往有高血压病、心房颤动、外周动脉栓塞病史。2021年11月份曾因两次脑梗死于神经内科住院治疗,考虑脑梗死与心房颤动及主动脉瓣膜重度狭窄因素有关。患者在应用正规抗凝治疗的情况下再次出现的脑梗死,经心内、心外、超声、影像、麻醉等多学科联合会诊认为应先治疗主动脉瓣膜重度狭窄,心血管内外科专业团队对患者进行了联合会诊,与患者家属充分沟通后,决定采取经导管主动脉瓣置换术(TAVR)治疗。
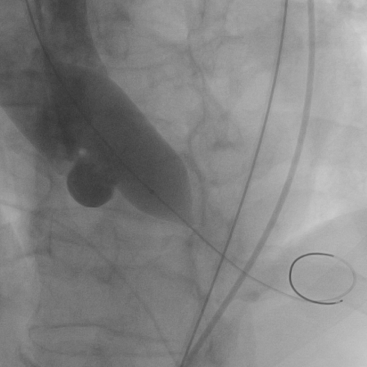
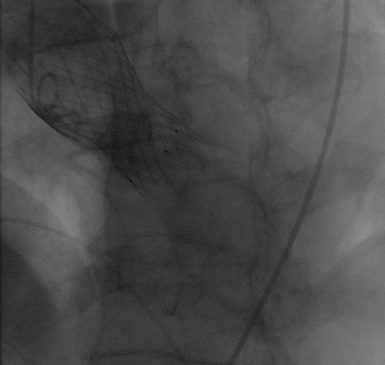
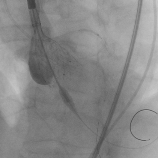
由于患者主动脉瓣根部结构钙化严重,右无冠窦瓣叶钙化融合且融合位置高及窦管交界,冠脉风险高介入手术难度很大,入路上陈旧性夹层是生命通路上的又一道关卡。TAVR手术极大的考验术者及团队的综合能力,团队术前制定详细的手术方案及应急预案确保手术顺利进行,为患者带来新生的机会。
12月31日首都医科大学附属北京同仁医院心血管中心郭彩霞教授团队顺利完成首例TAVR手术。术中22mm球囊预扩冠脉不显影随即进行左冠冠脉烟囱支架保护,植入VenusA Plus可回收L26瓣膜,植入后位置良好,跨瓣压差近乎为零,整个手术一气呵成,手术取得圆满成功,手术后患者状态良好,成功救治82岁高龄患者。体现了心血管中心团队的综合救治能力,标志着在结构性心脏病的微创治疗方面达到国内先进水平。
随着我国社会的老龄化,越来越多的老人罹患严重退行性主动脉瓣狭窄,已成为影响人类寿命和社会健康的重要疾病。据统计, 主动脉瓣狭窄发病率在>75岁人群达2.5%,在>85岁人群可达8%,是仅次于高血压和冠心病是第三常见的心血管疾病,一旦患者出现症状后不及时治疗,平均生存期仅为2-3年,成为威胁老年人生命的严重老年病。
高龄意味着更多的合并症以及多脏器的储备功能低下,许多无法耐受外科手术,随着TAVR技术的发明,使通过外周动脉血管以微创的方式实施人工主动脉瓣置换得以实现,大大降低了手术创伤程度,患者术后3-5天即可出院。
主动脉瓣狭窄示意图
专家简介
郭彩霞
首都医科大学附属北京同仁医院
首都医科大学附属北京同仁医院心血管中心主任、心内科主任 主任医师、教授、博士生导师。
