2021年12月28日上午,北京清华长庚医院顺利完成首例主动脉瓣重度反流TAVR手术。本例手术在张萍副院长和王伟民教授的支持下, 联合阜外医院吴永健教授团队,由心内科、心外科、麻醉科、血管外科等多学科组成的“清华长庚TAVR团队”,成功为一位高龄伴严重心衰重度主动脉瓣反流患者行经导管主动脉瓣置换术(简称TAVR)。该例主动脉瓣反流(AR)手术的成功,充分展现了“清华长庚TAVR团队”超越自我,砥砺前行的精神, 也标志着清华长庚医院在治疗瓣膜病方面再次迈向了新的一步!
病史资料
老年男性,80岁 主诉:活动后喘憋1年,加重伴乏力2周
术前诊断:重度主动脉瓣关闭不全、中度二尖瓣关闭不全、 慢性心力衰竭、冠状动脉粥样硬化、病态窦房结综合征 (具有心脏起搏器状态) 肾功能不全
NT-proBNP:27209pg/ml
心功能分级:IV级
STS score:3.5%
合并症:高血压3级、2型糖尿病、高脂血症
术前评估
超声评估
CT评估
入路:左、右股动脉直径均在8mm以上,右股动脉为主入路
手术流程
1. 患者取平卧位,常规消毒,铺巾,全麻后,并置入食道超声探头,穿刺左侧股静脉置入6FCordis鞘管,经鞘管将PACEL临时起搏器电极置右心室心尖部
2. 超声引导下穿刺左侧股动脉,置入6F Cook微穿鞘,经鞘管交换为6F pigtail导管置入无冠窦底,随后在超声引导下穿刺右股动脉,置入6F Cordis鞘,给予肝素5000u, 进入Lunderquist导丝,退出6F鞘,置换10F鞘管,置入22FGORE导管鞘套件缓慢推至腹主动脉
3. 在J型导丝指引下,使用6F pigtail造影导管进入左心室,测得主动脉瓣跨瓣压差15mmHg, 升主动脉血压180/40mmHg, 左心室压力165/5mmHg, 交换为特硬导丝Lunderquist至左心室,结合术前冠脉CT和心脏超声测量的瓣环直径大小,选择VitaFlow Liberty™30可回收瓣膜系统送至主动脉瓣环处,在Pigtail导管定位,主动脉根部造影协助指导下,精准定位,以180次/分快速起搏,逐步释放瓣膜,支架释放后退出导管输送系统,猪尾导管行主动脉根部造影示:人工瓣膜深度4mm, 冠状动脉开口未受影响,食道超声提示无主动脉瓣反流。
4. 复查造影示瓣膜支架开放良好,无瓣周漏,升主动脉血压恢复至150-160/70-75mmHg。拔出临时起搏电极,退出导管鞘后示左右股动脉无出血,使用Proglide缝合器进行双侧血管缝合,造影示左、右股动脉无出血、夹层、狭窄。
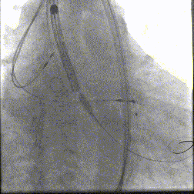
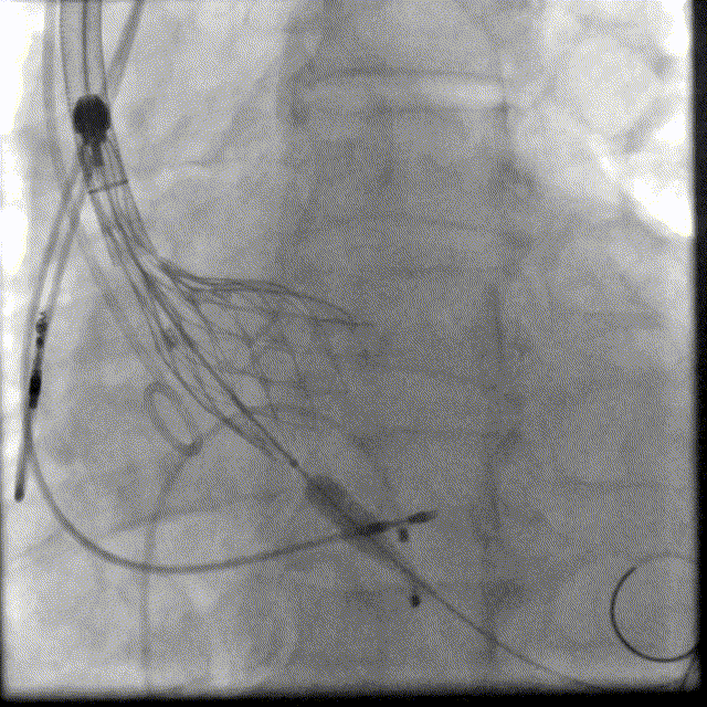
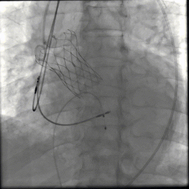
术中影像

主动脉根部造影


VitaFlow Liberty™30瓣膜植入

释放后造影
总结
目前,TAVR治疗主动脉瓣反流(AR)在技术上仍具有一定的挑战性,由于单纯反流的主动脉瓣膜基本上没有钙化,长期反流,主动脉瓣环、升主动脉及窦部均有明显的扩张,缺乏足够的锚定区,易发生瓣膜移位和明显的瓣周漏。
本例手术为高龄AR患者,术前患者心衰严重,且肾功能不全,对造影剂非常不耐受。薛亚军教授团队考虑到患者病情和技术难点,术前与阜外医院吴永健教授团队、院内多学科团队线上多次参与病例讨论,充分为患者制定出最佳的手术治疗方案,选择使用VitaFlow Liberty™经导管主动脉瓣膜II代电动可回收系统, 尽量规避手术风险,降低瓣中瓣和瓣周漏的发生,提高了患者的生命预期,为患者的生命保驾护航。