2021年12月5日,正值大家享受周末时光之际,阜阳市人民医院心内科宁彬结构性心脏病手术团队、心脏介入中心全体护士、技师、麻醉科团队、血管外科专家悄然集结。大家放弃周末休息,只为一个共同的目标,那就完成阜阳市地区首台独立经导管主动脉瓣置换术(TAVR)。这也是阜阳市人民医院,继2021年5月由安徽省立医院徐健教授指导下完成了第一例TAVR手术之后, 完成的第二台手术。
面对复杂严重的病情,术前宁彬主任带领各团队再次系统学习TAVR手术流程,围手术治疗及护理,结合患者CTA情况,分析该患者手术的难点,制定详细的手术方案及策略,预判术中可能存在的风险如室速、室颤、传导阻滞、循环崩溃、主动脉夹层、窦瘤破裂以及血管相关并发症,逐一制定应对措施,术后事项等,最终成功独立完美实施了TAVR手术。术后患者出现血小板下降,团队详细翻阅文献,讨论病因,严密监测及积极治疗,最终患者血小板恢复正常,顺利康复出院。
病史简介
患者
男,77岁。
主诉
胸闷气急2年,再发加重半年入院,患者2年前活动时出现胸闷、气急、呼吸困难,休息可缓解,无黑矇、晕厥,无胸痛、大汗,无咳嗽、咯血,无夜间阵发性呼吸困难,患者未重视及诊治;上述症状逐渐加重,活动耐量逐渐下降,自诉步行200米或爬2层楼即可出现胸闷气急,呼吸困难,同时伴夜间阵发性呼吸困难,端坐位可缓解,伴双下肢水肿,为进一步诊治,就诊于当地医院。
今年7月上述症状再发,同时伴剑突下疼痛,就诊于我市某院,行冠脉造影提示前降支重度狭窄,给予植入支架一枚,术后症状缓解不明显,随即再次就诊于该院,行心脏彩超检查提示主动脉瓣钙化伴狭窄(最大跨瓣压差约71mmHg),主动脉窦部及升主动脉增宽(AO:42mm);室间隔增厚(IVS13:mm,LVPW:11mm);二三尖瓣轻度反流;左室舒张功能降低(EF:60%)。建议行瓣膜置换术,遂前往阜阳市人民医院经行进一步治疗。
既往史
高血压病史10余年,最高血压170/mmHg,长期口服降压药物治疗,平时血压控制尚可。
术前检查
入院查体
心率87次/分,呼吸18次/分,血压134/51mmHg。患者高枕位,呼吸稍促,双下肺未闻及明显湿罗音,心界不大,律齐,主动脉瓣第一第二听诊区可闻及4/6级收缩期喷射样杂音,向颈部传导,肝肋下cm,剑下4cm,双下肢重度凹陷性水肿
心脏彩超
主动脉瓣钙化并中度狭窄并中度关闭不全(血流:4.23 m/s,最大跨瓣压差:71mmHg);
升主动脉增宽(AO:45mm);
左室壁增厚(LV49mm,LVPW:16mm);
左室舒张功能降低(EF:58%)。
主动脉CT
该患者主动脉瓣为Type 0型二叶瓣,瓣叶中度钙化,钙化分布不均匀,主要分布左瓣,瓣环周长76.1mm,平均直径23.9mm;LVOT周长81.1mm,平均径25.0mm;钙化延伸至流出道10.5mm。左窦位置瓦氏窦瘤样膨出。瓣上6mm/8mm预估可推开空间周长70.7mm/67.5mm。左冠高度14.5mm,右冠高度18.3mm。
路径方面:两侧股动脉稍有迂曲,分叉高度可。左侧股动脉最小内径7.7mm,右侧股动脉最小内径7.0mm。
手术治疗策略
策略制定
风险评估:
1. 左冠高度可,瓣叶长,窦宽相对瓣膜可,左冠风险高。右冠高度可,瓣叶长度可,窦宽相对瓣膜可,右冠风险低。
2. 钙化延伸至流出道10.5mm,有瓣环撕裂风险。
3. 瓦氏窦膨出瘤,有破裂风险。结合患者病历资料,患者高龄,合并冠心病,近期支架植入术后,且合并瓦氏窦膨出瘤,为外科高风险患者,经TAVR团队及心外科团队讨论,结合患者及家属意愿,决定行经导管皮主动脉瓣置换术。
4. 如瓣膜Downsize有瓣中瓣风险。
结合患者CTA特点,制定策略如下:
1. 入路:心外科专家切开右侧股动脉作为主路径,左侧股动脉穿刺双鞘管作为辅路径。
2. 冠脉保护:必要时预埋左冠指引导管及导丝,球囊。左侧动静脉备体外循环。
3. 避免瓦氏窦瘤及瓣环撕裂:轻柔操作,使用小球囊预扩,术中注意避免跨瓣导丝进入膨出瘤内,瓣膜输送系统尽量远离小弯侧,留置猪尾导管及预埋抓捕器,必要时牵拉输送系统过瓣。心脏外科团队备战状态。
术中操作
1. 左侧入路-预埋抓捕器:穿刺左侧股动脉路径,植入6F股动脉鞘管2根,分别植入猪尾导管至右窦窦底,另一根预埋snare篮筐抓捕器。
2. 右侧入路-建立植入轨道:作为主路,可视下穿刺右侧股动脉,植入8F股动脉鞘管,有创动脉血压116/34mmHg。造影钢丝引导JR4.0到达降主动脉,更换为加硬导丝,沿导丝植入22F大鞘。造影导丝引导6FAL1.0到达窦底,操控指头超滑导丝避开窦瘤跨瓣成功,更为猪尾导管,测量跨瓣压差。沿猪尾植入预塑型瓣膜输送导丝。
3. 球囊预扩:起搏器180次/分起搏下,取心通医疗Alwide™ 20*40mm球囊扩张病变,扩张充分。撤出球囊。
4. 瓣膜植入:输送VitaFlow®TAV27瓣膜跨瓣成功,140次/分起搏,猪尾导管造影定位,释放瓣膜,复查造影提示少许瓣周漏,跨瓣压差4mmHg,更换为猪尾导管后,食道超声提示未见明显瓣周漏,遂撤出导丝导管,缝合右侧股动脉,拔除左侧股动脉鞘管,加压包扎。
5. 患者预后:患者监护提示窦性心律,心率68次/分,血压111/53mmHg,保留临时起搏器,转CCU进一步监护及治疗,术中监测AVT319秒。术后患者生命体征稳定,监测血常规提示血小板从正常范围下降至28*10^9/L,给予输注血小板,升血小板治疗,血小板逐渐恢复至正常范围且未再下降,术后10天患者步行出院。
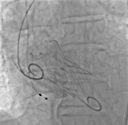
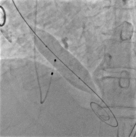
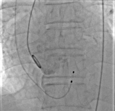
术中精彩影像
主动脉根部造影
球囊预扩
释放到1/2处造影
瓣膜完全、释放形态良好
结语
该患者是阜阳市人民医院心内科继2021年5月专家指导第一例TAVR手术后,独立开展的第一台TAVR手术,同时也是阜阳地区独立开展的第一台经皮主动脉瓣置换术,意义重大,是阜阳市人民医院宁彬TAVR团队、心脏介入中心护士及技师、麻醉科、血管外科以及心脏外科团队共同努力的成果。
宁彬结构性心脏病团队,起搏电生理团队,复杂冠脉介入团队,现有博士生导师1人,博士1人,硕士9人,心内科设置三个普通病区,床位共150张,心脏重症监护病区现设置固定床位20张,其中硕士生导师1人,硕士6人,主任医师1名,副主任医师2名,心脏介入中心心内科专用C臂机3台,多次面对病情复杂极高危患者,恪守医者仁心仁术,勇于担当和挑战,使患者重获新生。相信伴随着该患者的成功,本市的结构性心脏病介入诊疗手术将紧跟国内步伐,进入高速发展阶段。
专家简介
宁彬
医学博士,安徽医科大学博士、硕士研究生导师。现任阜阳市人民医院心二科主任及学科带头人
心脏介入中心主任、中华医学会安徽省心血管病学分会常委、安徽省全科医学会心脏介入分会副主任委员。
领域:复杂冠心病介入治疗、先心封堵术、心脏起搏技术(CRT,CRT-D,ICD)、
经导管心脏射频消融技术(房颤、及复杂失常导管射频)及经皮主动脉瓣置换术(TAVR)。
周一上午 宁彬主任医师(南区)
周二全天 葛慧娟主任医师(南区)
周三全天 郭英杰副主任医师(南区)
周四全天 马震主任医师(南区)
周日全天 刘文光主治医师(南区)
