近日,厦心王焱教授团队为一名急性心肌梗死合并重度二尖瓣反流、心源性休克的高龄患者成功施行了经左股静脉二尖瓣钳夹术(Mitraclip)。据悉,此类高危患者(心梗后乳头肌断裂,二尖瓣大量反流)急诊ECMO支持下行左股静脉入路经导管二尖瓣修复尚属全国首例,这标志着厦心在危重结构性心脏病领域的又一重大突破。
病史简介
患者,女,80岁,以“间断胸闷1年余,加重伴呕吐、乏力1日余”为主诉入院。
主要诊断:1. 冠状动脉粥样硬化性心脏病 急性心肌梗死 二尖瓣后叶腱索断裂伴重度二尖瓣反流 Killip IV级 2.高血压 3.2型糖尿病。
入院彩超提示:二尖瓣后叶腱索断裂、脱垂并重度反流(DMR4+);行急诊冠脉CAG提示多支病变,LCX闭塞,在IABP支持下行LCX PTCA术。
术后继续予冠心病二级预防、利尿、升压、改善心功能等对症支持治疗。因存在急性心肌梗死后机械性并发症,二尖瓣重度反流,床旁胸片提示双肺渗出,循环不稳定,氧饱和度差,于重症监护病房行气管插管,呼吸机辅助呼吸,并床旁CRRT肾脏替代治疗以维持内环境稳态。但患者心功能仍进一步恶化,大剂量血管活性药物泵入仍无法维持血压,遂予床旁植入VA-ECMO。
目前患者在VA-ECMO及IABP支持下,仍有明显肺水肿,循环不能维持,考虑与二尖瓣大量反流相关,但患者外科手术高危,经结构心脏病团队评估,决定行经导管二尖瓣钳夹治疗,解除二尖瓣反流情况。
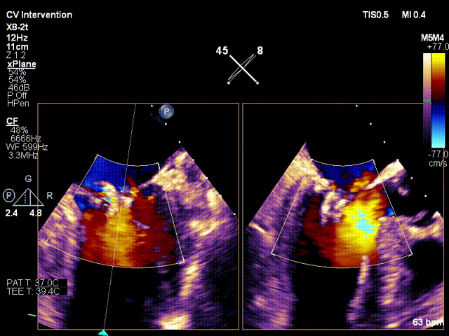
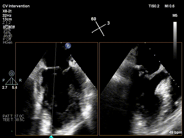
行TEE示:二尖瓣后叶脱垂合并重度反流(DMR4+)。左室后内乳头肌断裂,二尖瓣后叶腱索断裂。二尖瓣前叶长度17.6mm, 后叶有效长度6.1mm,二尖瓣后叶P2区脱垂,MVA 4.63cm²;PISA定量 EROA=0.72cm²。
心超参数:
充分术前准备,双侧股动脉及右侧股静脉入路已置入IABP和VA-ECMO
手术过程:
患者镇静麻醉状态,呼吸机辅助呼吸,ECMO+IABP循环支持,因右侧股静脉入路ECMO占用,遂行左侧股静脉入路,顺利穿刺房间隔,经导管测定左房压力为:41/-3/14mmHg。之后迅速送入经导管二尖瓣钳夹系统,予XTR准确地捕获二尖瓣叶,于A2/P2区域完成夹合,MR4+反流即刻减少至2+;再予NTR定位与残余反流区域,完成二次夹合,反流即刻较少至微量。术中DSA及TEE评估夹合器稳定,遂退出钳夹系统。测定左房压13/-3/1mmHg,较前明显下降,血流动力学稳定,撤处ECMO,保留IABP,手术成功。

患者术后当天回病房撤除IABP,第二天麻醉苏醒,第三天撤除呼吸机辅助呼吸,目前生命体征平稳,血压159/63mmHg,近日可转入普通病房。
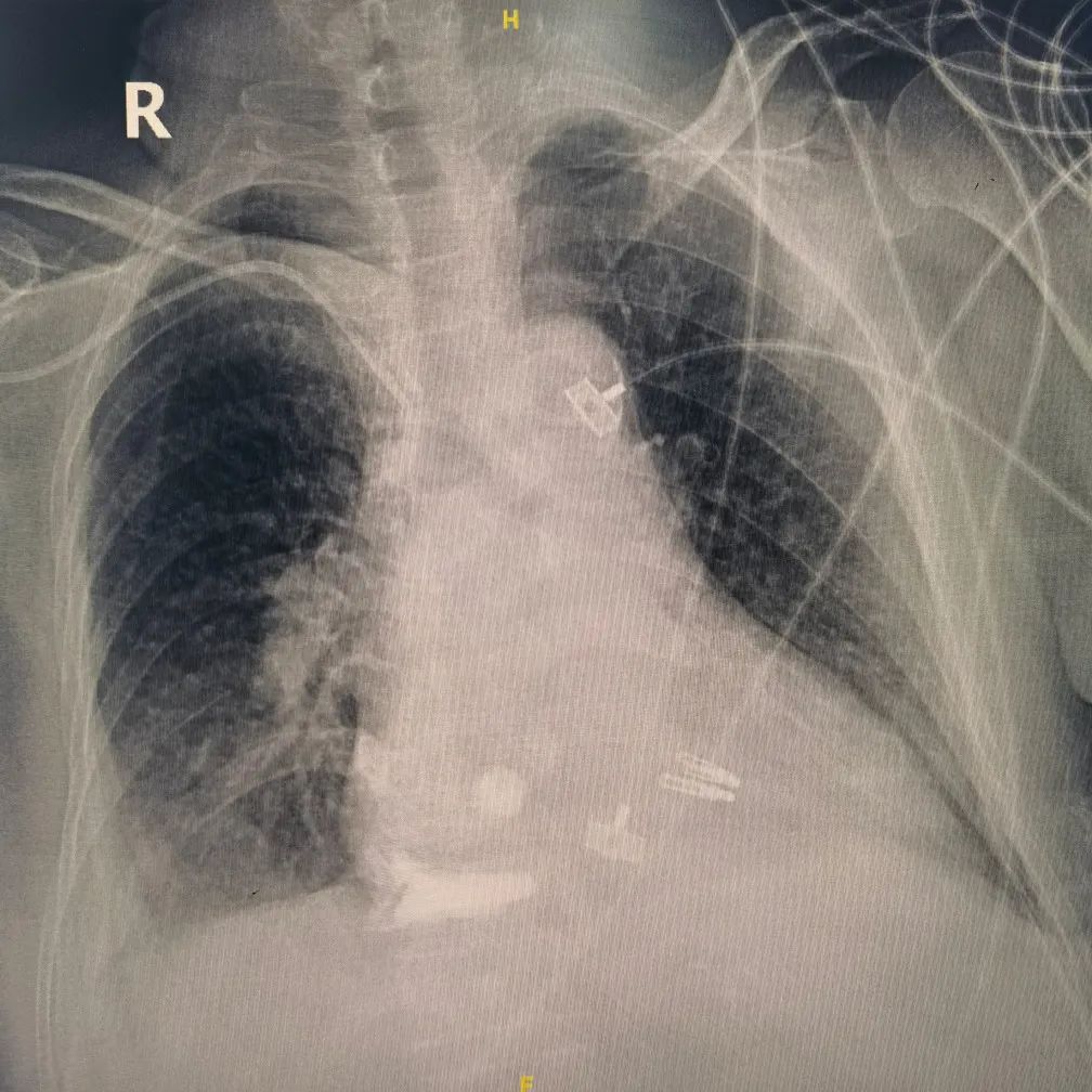
术前床边胸片
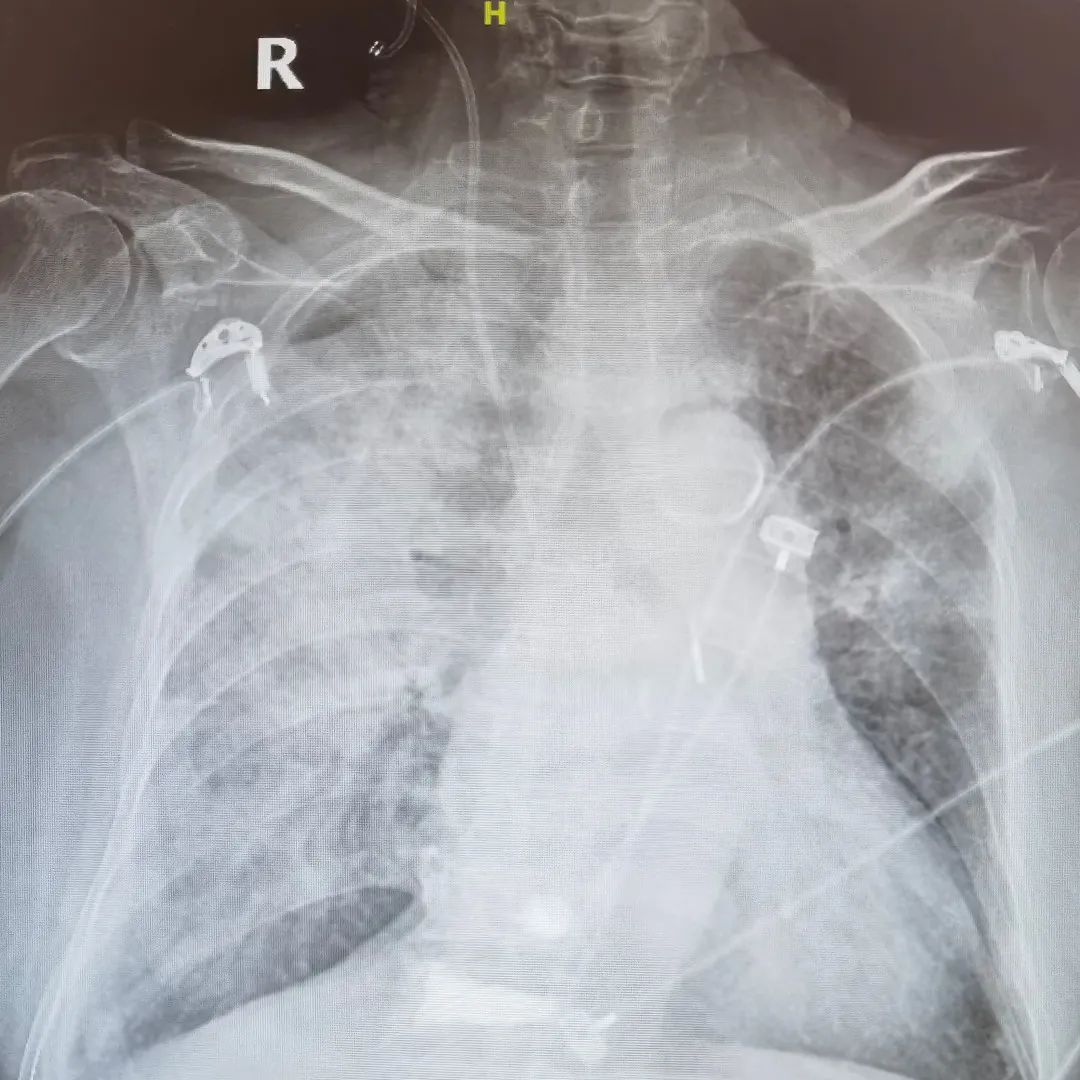
术后48h床边胸片
患者术后恢复良好
急性心肌梗死合并乳头肌坏死引起二尖瓣大量反流是急性心肌梗死的严重并发症, 其可导致严重肺水肿及心源性休克,院内急性期死亡率可高达70-80%1。外科手术对于此类患者的手术风险极高2。急性心肌梗死合并乳头肌坏死引起二尖瓣大量反流、心源性休克行ECMO加IABP辅助下的二尖瓣钳夹术在国外鲜有报道3,4,厦心成功完成此类高危患者微创钳夹术尚属全国首例。自经导管二尖瓣钳夹术Mitraclip今年初在国内获批应用以来,厦心目前已完成30余例经导管二尖瓣钳夹术治疗二尖瓣重度反流患者。王焱教授领衔的结构性心脏病团队,在该领域不断创新,同时还牵头两项国内自主研发二尖瓣器械临床研究,也已成功在人体应用。厦心不畏艰辛,勇于挑战,为该患者赢得了生存的机会,也给广大二尖瓣反流的心衰患者带来了福音。