结瓣同行,贞心护航。
本着相互交流,共同学习的初衷,贞”心一“课”系列活动于2021年11月初正式拉开帷幕。该活动由安贞医院心脏瓣膜病介入中心发起,通过与亚太结构性心脏病青年俱乐部(APSHD)开展的”结瓣同行“活动合作,特以每周定期分享二尖瓣/三尖瓣修复和替换案例的形式,以贴近临床的诸多病例为桥梁,搭建安贞与广大青年结构性心脏病术者相互交流学习的平台,集众智,聚众力,共同推动我国结构性心脏病先进诊疗技术的普及与再提高。
本周,首医科大学附属北京安贞医院宋光远教授团队带来了一例二尖瓣后叶巨大脱垂TEER治疗1例。
患者术前资料
基本情况:男性老年男性,因“活动后胸闷气短4月余”入院。患者4个月前爬楼后出现胸闷、气短,夜间亦有阵发性呼吸困难,无胸痛、出汗、头痛、头晕等不适,休息数分钟后好转,到当地医院,超声心动图提示二尖瓣腱索断裂伴后叶脱垂,LVEDD 60mm,LVEF 65%, 药物治疗后稍好转,但仍反复发作。2个月前就诊安贞医院门诊,超声心动图提示二尖瓣后叶(P2+P3)区脱垂并小腱索断裂,二尖瓣关闭不全(极重度,4+级),印象:退行性二尖瓣反流,Carpentier II型,全心扩大,给予强化抗心衰治疗后,为进一步诊治收入院。
既往病史:高血压,高脂血症
二尖瓣置换STS评分:4.07%
入院诊断:心脏瓣膜病,二尖瓣腱索断裂,二尖瓣后叶脱垂,二尖瓣关闭不全(极重度),心脏扩大,心功能II-III级(NYHA分级),高血压病1级,高脂血症
术前评估
患者老年男性,二尖瓣后叶腱索断裂导致极重度二尖瓣反流,心脏扩大,心力衰竭反复发作,患者高龄、虚弱,经心脏团队综合评估后,认为该患者有行TEER治疗的指征,强化抗心衰治疗,患者症状好转,血流动力学稳定后,择期行TEER术。
术前超声评估
术前超声诊断
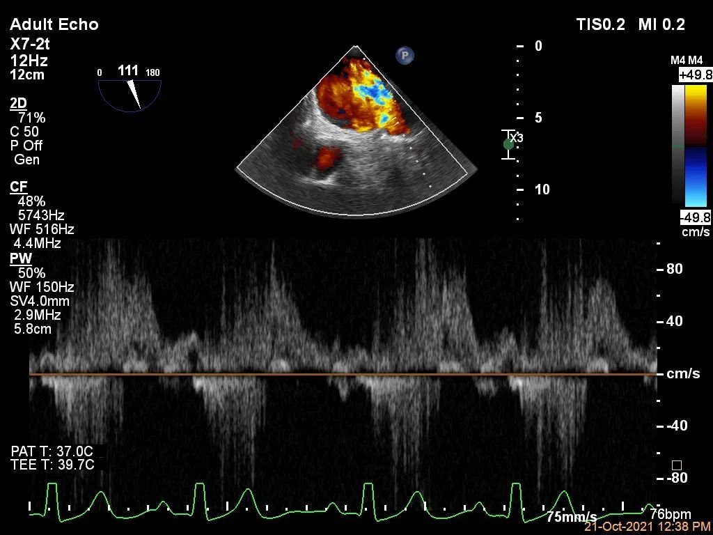
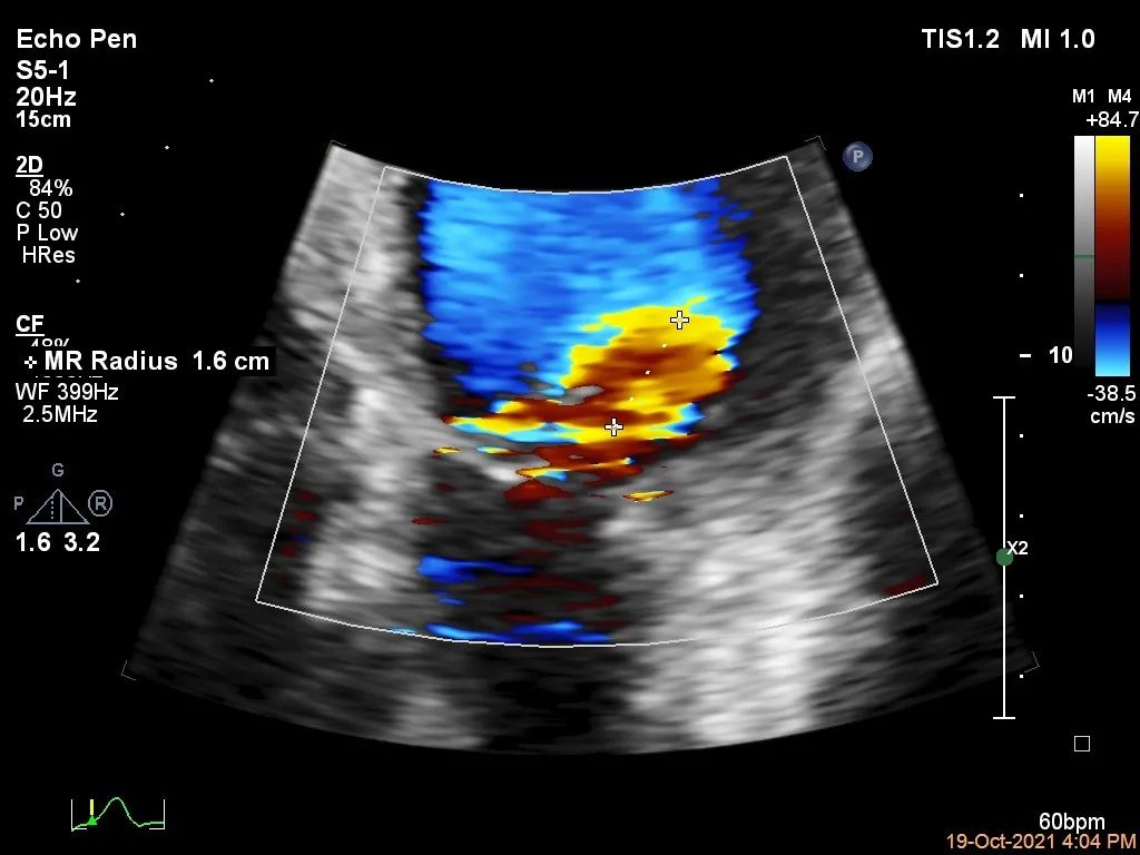
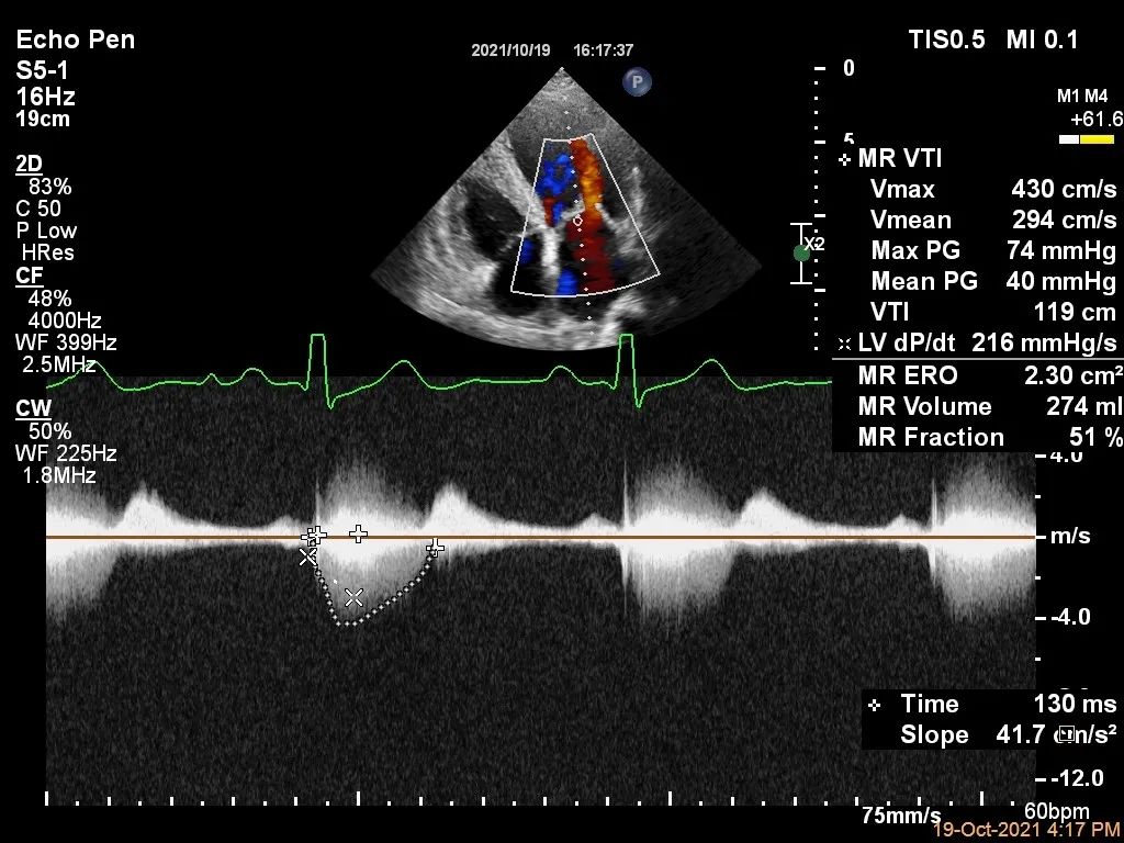
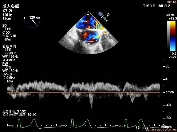
Bicom:MR(重度),反流束宽22mm,反流面积24.2cm²,PISA法定量EROA:2.3cm²,Rvol:274ml,RF:57%,r:16mm。
二尖瓣反流频谱呈全收缩期
肺静脉血流频谱呈收缩期反向
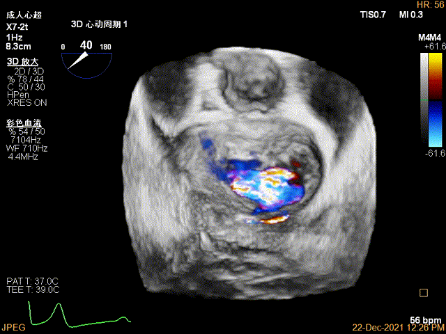
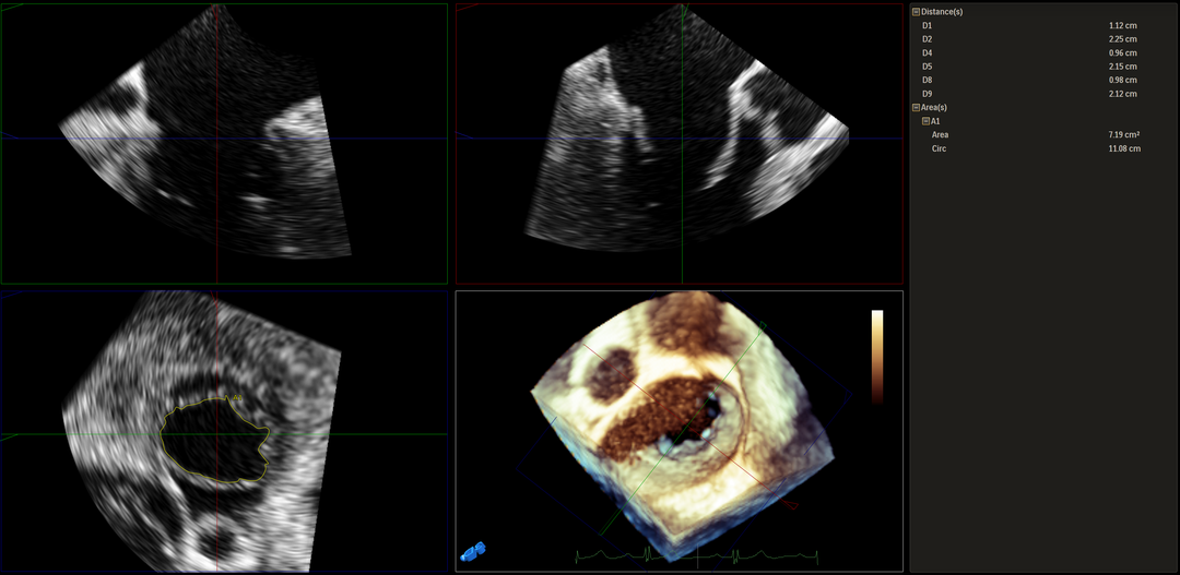
3D MV View:P2区脱垂
3D-color MV view:大量反流,起源于2区
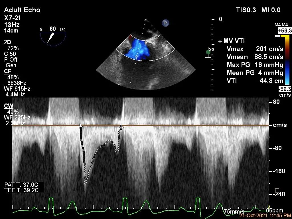
Qlab软件勾画估测瓣口面积约:7.19cm²
二尖瓣口平均跨瓣压差:4mmHg
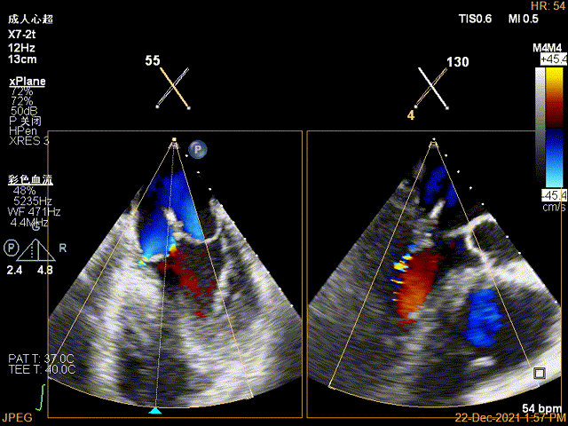
TEE Bicom view:二尖瓣后叶P2区大范围脱垂,部分累及1区及3区

Color-view:极大量反流,主要来源于2区
手术过程:
患者麻醉方式为全麻,建立静脉通路后,穿刺右侧股静脉,预埋ProGlide缝合器,食道超声指导下房间隔穿刺成功,将Superstiff导丝送至左房,应用18F鞘管扩张穿刺部位,沿导丝将导引导管送入左房,经导管鞘系统将NovoClapse瓣膜夹顺利到达二尖瓣目标位置,在食道超声辅助下,将成形夹精确定位后,使用两个clip(均为MCD0101)成功夹合二尖瓣A2-P2区,彩色多普勒超声(2D+3D)显示微少量残余分流,整体反流量改善2级以上,后多切面证实夹合组织充分,肺静脉多普勒波形由反向恢复正常,手术顺利结束,安返普通病房。 术中及术后即刻超声评估
术中及术后即刻超声评估
确定房间隔穿刺点:中部靠后
穿刺点高度测量:4.68cm
3D视图穿刺点位近似于3点位
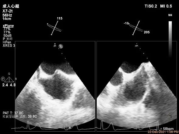
3D视图下大鞘位置及长度测量
2D视图下trajectory
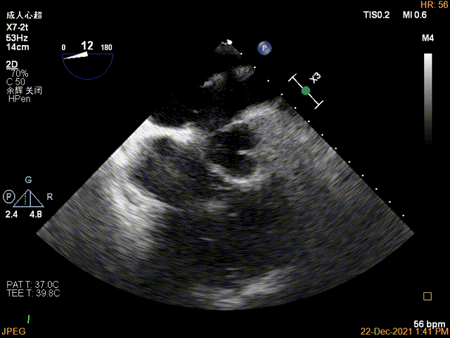
3D视图下开夹子
3D视图下调整夹子位置及Rotate,第一个夹子放置于靠近内侧区域
3D视图下夹子对准最大反流束进入左室

X-plane:下夹子尝试先捕获2区偏内侧瓣叶
夹子关闭过程中,Color提示2区反流逐渐减少,残余反流位于第一个夹子外侧
第一个夹子放置侯二尖瓣口平均跨瓣压差:4mmHg
肺静脉血流频谱恢复正向趋势
3D-VIEW验证前后叶抓捕情况,可观察到第一个夹子外侧的残余脱垂
3D-color-VIEW验证残余分流,位于第一个夹子外侧
决定在外侧补放第二个夹子,沿着大鞘输送第二个夹子
3D-VIEW提示第二个夹子置于第一个夹子外侧,并呈平行关系

抓捕外侧残余脱垂瓣叶

夹子闭合中,残余分流逐渐消失
第二个夹子放置侯二尖瓣口平均跨瓣压差:4mmHg
肺静脉血流频谱完全恢复正向
3D-VIEW验证抓捕结果
3D-color-VIEW验证残余分流近消失
术者心得:
1.这是一个巨大二尖瓣后叶脱垂治疗非常成功的经典案例,在术前评估中发现患者的脱垂的区域从P1到P3均有累及,主要病变在P2区,脱垂宽度达24.5mm,脱垂部位前后叶的长度尚可,术前判定适合两个长夹子(MCD0101: 夹臂长度 12mm,夹臂宽度4mm),因此术中在第一个夹子进行钳夹时,助手同步进行第二个夹子的测试,整个过程配合紧密流畅,缩短手术时间;
2.我们先放置第一个长夹子处理内侧P2区脱垂病变,夹合后MR明显减少,肺静脉血流频谱立刻转为正向,MV跨瓣压差在4mmHg,外侧区仍有残余脱垂以及少量分流,因此第二个夹子紧贴第一个夹子释放,避免两个夹子之间残余分流,也将术后瓣口狭窄的风险降到最低。
3.由于脱垂范围较大,第一个夹子放置后被残余脱垂掀动,活动度较大,第二个夹子置入时减少呼吸潮气量,与第一个夹子尽量平行靠紧,应用TEE 3D调整优化夹子方向和位置,同时在DSA上确认,让第二个夹子“点头下降“”,与第一夹子靠近同轴“比翼双飞”,尽可能多的抓捕后叶,夹闭后第一个夹子活动度好转,MR残余分流立刻减少到微量,确认MV跨瓣压差5mmHg, 效果满意。
4.随着国产器械的不断改进以及术者经验的积累,对二尖瓣复杂病变的处理也达到一个非常好的效果,证实国产经导管二尖瓣缘对缘修复系统应脉器械安全可靠,前景光明。
专家简介
宋光远
首都医科大学附属北京安贞医院
2015.2-2016.7 美国 Cedars Sinai Medical Center 博士后学习。
· 累计完成瓣膜病介入治疗超过 1000 例。
· 累计完成房颤左心耳封堵术超过 200 例,其中 LAAO+PCI 一站式治疗 50 余例。
· 累计完成复杂冠脉介入治疗超过 5000 例。
· 主持结构性心脏病影像核心实验室,目前完成 CT 和超声分析 3000 余例。
· 带教省级医院横跨 30 余省市 60 余家 主持国家自然基金,国家自然青年基金、教育部博士点基金、北京市科委创新基金、协和青年基金等多项课题。
· 发表论文 20 余篇,共计他引超过 110 次,最高单篇 SCI 影响因子超过 20发表文章质量高:63.2%的文章均发表在《我国高质量科技期刊分级目录》收录的期刊中;21%的文章位于 T1 区(国际一流期刊),31.6%的文章于 T2 区(国际知名期刊)。
· 主译《心脏导管手册》,《结构性心脏病介入治疗》。
何怡华
首都医科大学附属北京安贞医院
主任医师/国家二级教授/博士、博士后导师
首都医科大学附属北京安贞医院心脏超声医学中心主任、胎儿心脏病母胎医学中心主任;
受国家卫健委委托牵头制定《胎儿心脏病诊断咨询及管理指南》;作为首席专家牵头科技部十三五国家重点研发计划1项、参与十三五国家重点研发计划1项,承担科技部十二五国家科技支撑计划及科技部国际合作、国家自然科学基金、北京自然科学基金等多个国家级和省部级项目。
第一完成人获得2020年教育部科学技术进步奖二等奖;第一完人获得2021年第四届妇幼健康科学技术奖一等奖;
中国心胸血管麻醉学会心血管超声分会主任委员、中华医学会超声医学分会第十届委员会妇产超声学组副组长、国家人口与健康数据平台胎儿心脏首席专家、中国妇幼保健协会胎儿心脏病防治专业委员会第一届主任委员、中国风湿免疫病相关生殖及妊娠研究委员会副主任委员、中国医师协会医学遗传医师分会妇幼保健专业委员会第一届委员会副主任委员等;全国产前诊断专家组成员;中国优生科学协会出生缺陷预防专业委员会常务委员
何怡华教授团队目前有成员40名,团队目前在外科术中及介入治疗领域主攻开发成人介入瓣膜远程协同机器人系统,远程机械臂自动图像采集及图像判读诊断系统,在国内相关领域处于技术领先水平。近十年何怡华教授一第一及责任作者发表国内核心期刊文章260余篇,SCI 76余篇,国际会议发言30余次。主编出版专著《胎儿超声心动图学》,再版《经食管超声心动图学》。

