截止2021年12月22日,厦门大学附属心血管病医院王焱院长团队完成了由厦心和启晨医疗集团共同研发的SIRIUS AFR全部FIM入组,患者手术效果良好,均已康复出院。首例患者目前已完成术后1个月随访,心衰症状显著减轻,临床效果良好,标志着国内自主研发心房分流器植入系统正式步入临床研究阶段,为一些终末期心衰患者治疗带来一项全新的治疗方案选择。
首例患者病史特点:
57岁男性,体重80Kg,2017年因“胸闷伴活动后气喘,偶有心悸,伴咳嗽”就诊治疗,诊断为“扩张性心肌病、心功能不全”,NYHA II级,2型糖尿病,经口服药物对症治疗及门诊强化药物治疗,心衰仍进行性加重。住院后评估NYHA III级,心脏彩超提示:LVEF 24%,LA 39mm,LVD 68mm。1、左心扩大;左室壁整体运动幅度普遍减低。2、主动脉窦部及升主动脉增宽,肺动脉增宽。3、轻度二尖瓣反流。4、左室整体收缩功能明显减低,舒张功能III级减退。
患者为经过长期最佳内科治疗依旧具有临床症状的慢性左心心力衰竭患者,经过心脏外科团队讨论,患者适合植入心房分流器进行治疗,在获得知情同意后,对患者行经食道的心房分流器植入手术,手术采用SIRIUS AFR。
手术基本情况:
患者于2021年11 月5 日在全麻下进行心房分流器植入。术中右心导管测量平均肺动脉19mmHg,PCWP 16mmHg,右房压4 mmHg,平均压力梯度5 mmHg。手术中全麻下使用经食道超声确认房间隔穿刺部位在卵圆窝附近,穿刺成功后在送入加硬导丝轨道支撑。根据患者病情及血流动力学结果,使用6 mm球囊预扩张,选择孔径6 mm心房分流器植入,透视下测量分流孔径6mm,孔径精准达标。植入后即刻效果明显,左房负荷超载和肺淤血明显减轻,血流动力学指标改善。平均肺动脉压降低至18mmHg,PCWP降至6mmHg,右房压降至3 mmHg,平均压力梯度维持在3 mmHg。心房分流器植入部位准确,形态良好,效果理想,释放分流器。
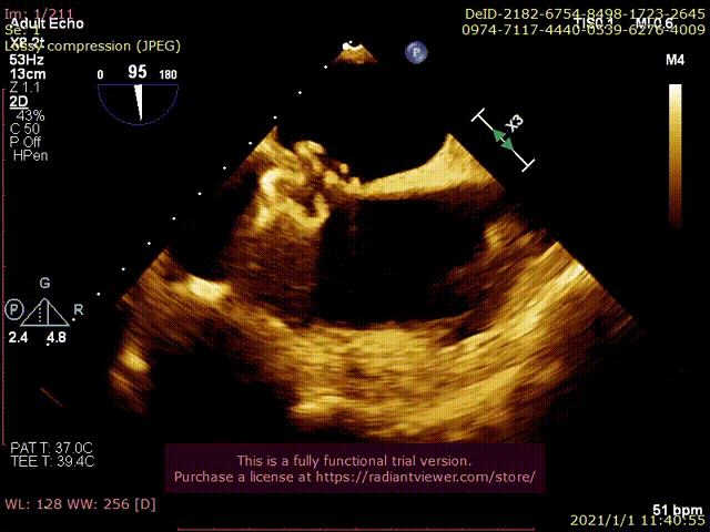
术后即刻分流器稳定,可见左向右分流束。
1个月随访临床效果良好。
与基线访视水平相比,术后1个月随访时患者的活动耐量显著改善,患者NYHA II级降低至NYHA I级,堪萨斯心肌病问卷评分从57分升高至82分,NT-proBNP从基线时2461pg/ml降低至558pg/m,六分钟步行距离从448米升高至585米。从超声心动图指标观察到患者基线时左心室射血分数为24%,1个月随访时为44%。平均左室收缩末期内径为60 mm,1个月随访时为50mm。平均左室舒张末期内径为68mm,1个月随访时为63mm。肺动脉收缩压26mmHg,1个月随访时为23mmHg。超声可见心房左向右稳定的分流血流信号,缓解左房压。分流孔径最大直径和最小直径分别是4.2mm和3mm,分流孔径保持良好。结果可见SIRIUS AFR心房分流器系统植入后患者的前期左心血流动力学状态有所改善。
经胸超声可见分流器形态良好,无血栓
经胸超声可见左向右分流束
第二例患者病史特点:
患者女性,50岁,体重57 kg,于2020年9月行子宫肿瘤切除术。最近一次心力衰竭入院时间为2021年8月,诊断为肥厚型非梗阻性心肌病。
近一年来患者活动后气促,活动耐量较前下降,爬二层楼即可出现气促。门诊强化药物治疗,心衰仍进行性加重,住院后评估:纽约心功能分级 III 级,LVEF 67%,LA 53mm(左右径),RA 43mm(左右径),LVD 45mm,NT-proBNP 464 pg/ml,肺动脉收缩压40 mmHg,6MWT 374m。心脏彩超:1、考虑肥厚型非梗阻性心肌病:双房扩大;肺动脉增宽。左室壁呈非对称性明显增厚,尤以室间隔肥厚为著。左室流道未见明显狭窄。二尖瓣前叶SAM征阴性。2、轻度二尖瓣、三尖瓣反流;轻度肺动脉高压。3、左室整体收缩功能正常。
手术基本情况:
于2021年12 月2 日患者在全麻下进行心房分流器植入。术中右心导管测量平均肺动脉压25 mmHg,PCWP 19mmHg,右房压5 mmHg,平均压力梯度14 mmHg ,手术中全麻下使用经食道超声确认房间隔穿刺部位在卵圆窝附近,穿刺成功后再送入加硬导丝轨道支撑。根据患者病情及血流动力学结果,使用8 mm球囊预扩张,选择孔径8 mm心房分流器植入,透视下测量分流孔径8 mm,孔径精准达标。植入后即刻效果明显,左房负荷超载和肺淤血明显减轻,血流动力学指标改善。平均肺动脉压降低至18 mmHg,PCWP降至13 mmHg,右房压为8 mmHg,平均压力梯度维持在5mmHg。心房分流器植入部位准确,形态良好,效果理想,释放分流器,患者术后恢复状况良好。

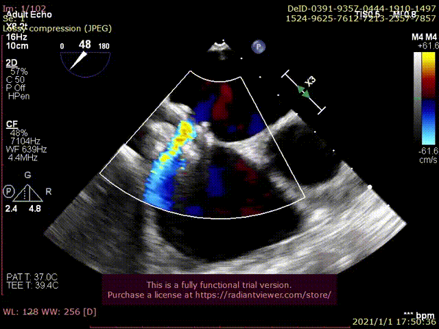
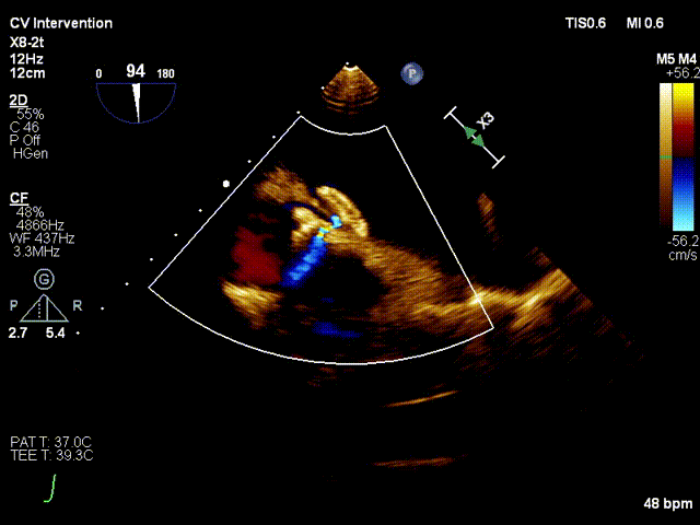
术中分流器形态稳定
食道超声可见左向右分流束
第三例患者病史特点:
患者男性,42岁,体重75 kg,患者9年前开始出现气促不适,多于活动后发作,休息可缓解,伴心悸,全身乏力,下肢水肿症状,诊断为“扩张性心肌病,心房颤动”,门诊强化药物治疗,患者气促症状加重8个月入院治疗,诊断为:“扩张性心肌病,心功能不全”。
住院后评估:纽约心功能分级 III 级,LVEF 25%,LA 46mm(左右径),RA 36mm(左右径),LVD 75mm,NT-proBNP 782pg/ml,肺动脉收缩压31mmHg。心脏彩超:1、左心扩大,以左室扩大为著。2、左室壁整体运动幅度普遍降低。3、二尖瓣缘稍增厚伴中度反流。4、左室整体收缩功能减低。5、右室整体收缩功能正常。
手术基本情况:
于2021年12 月22 日患者在全麻下进行心房分流器植入。术中右心导管测量平均肺动脉压40mmHg,PCWP 18mmHg,右房压8mmHg,平均压力梯度10 mmHg ,手术中全麻下使用经食道超声确认房间隔穿刺部位在卵圆窝附近,穿刺成功后再送入加硬导丝轨道支撑。根据患者病情及血流动力学结果,使用8 mm球囊预扩张,选择孔径8 mm心房分流器植入,透视下测量分流孔径8 mm,孔径精准达标。植入后即刻效果明显,左房负荷超载和肺淤血明显减轻,血流动力学指标改善。平均肺动脉压降低至20mmHg,PCWP降至11mmHg,右房压为7 mmHg,平均压力梯度维持在1mmHg。心房分流器植入部位准确,形态良好,分流效果理想,释放分流器,术后恢复情况良好,现已出院。
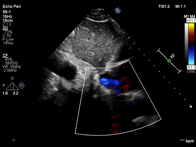
术中分流器形态稳定
食道超声可见左向右分流束
SIRIUS AFR心房分流器系统
厦心和启晨医疗集团有限公司共同研发的SIRIUS AFR心房分流器系统作为治疗心力衰竭的新兴医疗器械,它是全球第一款多层编织结构的心房分流器;也是第一款使用压合工艺的心房分流器,具有二次介入回收功能及鞘管具有预弯特点。
SIRIUS AFR心房分流器系统正式步入临床研究标志着国产心房分流器系统从理论探讨走向实际行动。
专家介绍
王焱
厦门大学附属心血管病医院
厦门市心血管疾病重点实验室主任,美国心脏病学院院士(FACC);香港大学医学院博士,中华医学会心血管病分会全国委员,中华医学会心血管病学分会介入心脏病学组副组长,卫生部海峡两岸医药交流协会心血管分会候任主任委员,中国胸痛中心认证工作委员会副主任委员,中国医师协会心血管内科医师分会委员,中国老年学学会心血管专业委员会常委。国务院特殊津贴专家,厦门市首届医学科学与技术带头人,厦门市科学技术重大贡献奖获得者,厦门经济特区建设30周年杰出建设者,第九届中国医师奖获得者。
门诊时间:周四下午
王斌
厦门大学附属心血管病医院
主任医师、博士、副教授、急诊科主任
主要从事心血管内科临床、冠脉介入、瓣膜性心脏病微创介入及胸痛中心建设、维护及认证工作。任中国胸痛中心区域认证中心(厦门)分中心办公室主任、中华医学会心血管病学分会结构性心脏病学组委员、中国胸痛中心认证专家、中国医师协会心力衰竭专业委员会青年工作委员会第一届委员、中国医疗保健国际交流促进会血管疾病高血压分会委员、福建省医学会心血管病分会委员、海峡两岸卫生交流协会心血管分会委员、中国研究型医院学会心血管分会委员。
门诊时间:周二上午,周三下午

