2021年12月3日,南京医科大学第二附属医院李庆国教授团队张博晴主任成功使用沛嘉TaurusElite可回收系统,治疗一位外地慕名而来寻求治疗的重度主动脉瓣狭窄患者。在全体医护人员的协同配合下,瓣膜释放位置及工作状态良好,血流动力学即刻改善,手术取得圆满成功,目前患者已康复出院。
患者基本情况
67岁、男性,超声心动图显示主动脉瓣钙化,提示重度狭窄并轻中度关闭不全,EF值51%,主动脉瓣峰值流速4.8m/s,平均压差94mmHg。二尖瓣中重度关闭不全,三尖瓣轻度关闭不全。
术前CT评估
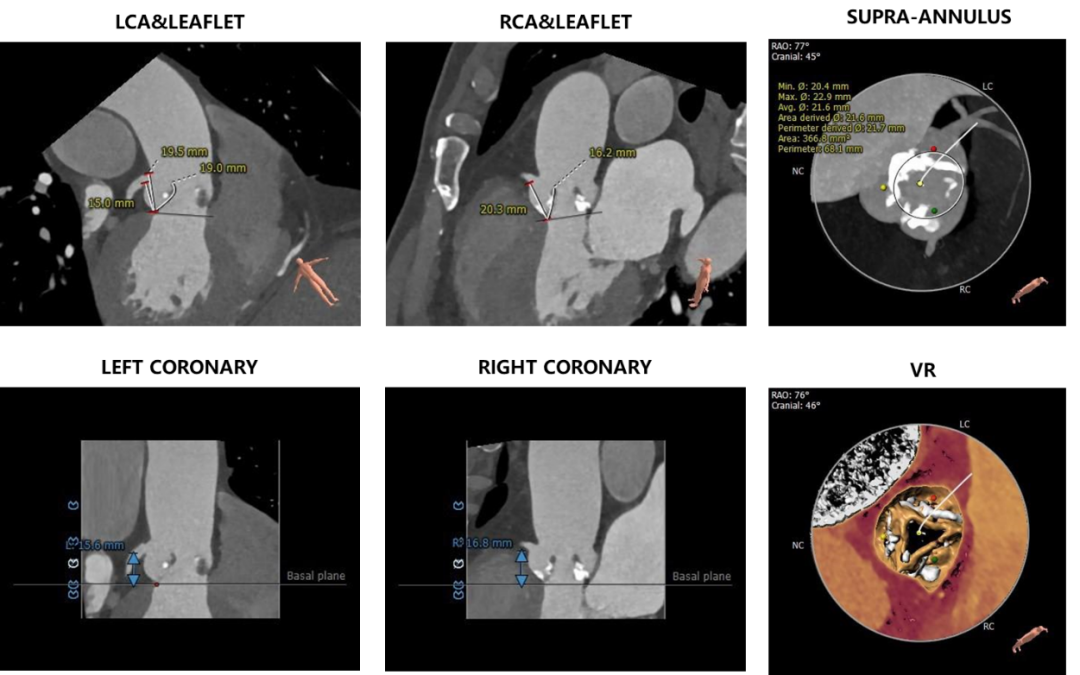
三叶式主动脉瓣,重度钙化,钙化主要分布在瓣叶边缘及附着缘,分布不均,左无窦钙化重,右窦钙化相对较轻,瓣叶明显增厚,左无窦交界钙化性粘连,
冠脉开口高度可,左冠瓣瓣叶长度>冠脉开口到瓣叶附着缘距离;冠脉散在钙化,
瓦氏窦内径尚可,窦管交界、升主动脉内径可,
瓣环平面与水平面夹角44°,非横位心,主动脉弓宽度及角度尚可。流出道呈敞口型,左室心腔内径尚可,
双侧髂动脉未见明显扭曲,股动脉穿刺区域未见钙化斑块,入路血管直径良好。
主动脉根部测量
冠脉高度、瓣叶长度及钙化测量
瓣环上测量
外周血管及主动脉弓解剖
评估与讨论
该患者为三叶式主动脉瓣,瓣叶边缘钙化分布不均,瓣膜锚定可,瓣膜植入受钙化影响存在瓣周漏风险,瓣膜移位风险适中。冠脉开口高度可,左冠瓣瓣叶长度偏长,结合瓦氏窦、STJ内径综合预估,冠脉风险相对较低,术中结合球囊预扩评估冠脉血流灌注。
经过严谨的评估及充分的讨论,使用右侧股动脉为主入路,20mm球囊预扩,预装载TaurusEliteAV26瓣膜,瓣环下0-2mm定位释放,在 RAO 12 CAU 29(左右重合位)下释放。
手术过程

主动脉根部造影

导丝跨瓣

20mm球囊预扩

第一次瓣膜释放
第二次瓣膜释放

第三次瓣膜释放

20mm球囊后扩
专家寄语:
随着TAVR技术的快速发展和日益成熟,主动脉瓣狭窄患者有了更多的选择,可以得到更为有效的及时的治疗。TaurusElite经导管主动脉瓣系统进一步降低了手术操作的难度,多次可回收的功能增强了术者信心,术中可以获得更加精确的植入深度,助力患者获得更好的即刻疗效。相信随着器械的发展和普及,能够为更多主动脉瓣病变患者带来福音。
专家简介
李庆国
南京医科大学第二附属医院
主任医师,医学博士,副教授,博士研究生导师。南京医科大学第二附属医院副院长、心血管病中心主任。擅长胸腹主动脉疾病的诊治、微创心脏外科手术、冠心病外科手术治疗。
主持多项科研课题项目,包括中科院国家战略先导项目、南京大学重点基础预研项目、江苏省“六大人才高峰”高层次人才资助项目、“南京市卫生青年人才工程”资助项目等;参加了国家科技支撑计划项目、国家自然科学基金项目等。发表30余篇专业论文,SCI收录10余篇,作为通讯作者曾发表专业论文在国际著名心血管外科杂志《Ann Thorac Surg》(IF:3.558)和《中华外科杂志》上,作为第一作者多篇论文发表在国际著名专业杂志《International Journal of Cardiology》(IF:6.802)、《Biomaterials》(IF:7.882)上。同时还获得过江苏省科技进步二等奖等奖项。
张博晴
南京医科大学第二附属医院
副主任医师,医学硕士,南京医科大学第二附属医院心血管中心心内组组长,擅长心血管内科常见病的诊断和治疗,专长复杂冠状动脉的介入治疗、缓慢型心律失常的起搏治疗以及心衰的同步化治疗和经导管主动脉瓣植入术(TAVI)、左心耳封堵术。
中国卒中学会心血管分会委员、海昌冠脉介入并发症俱乐部主席团成员、中国心脏内外科交流论坛秘书、江苏省医师协会心脏重症专业委员会委员、江苏CTO club 委员,江苏省卒中学会心源性卒中防治专委会委员,中国微循环学会转化医学专业委员会青年委员、《中华应急电子杂志》心血管专委会常委,主编《心内科疾病诊疗实践》,南医大二附院十佳服务明星,南医大二附院首届十佳青年医生。

