11月初,康心医院心外科迎来一位高龄患者,男性,75岁。患者3年前开始出现活动后心悸、气促不适,于多家医院就诊均未能明确病因,当做“老年病”对症治疗,情况时好时坏。大概1个月前,气促的症状就明显加重了,发作频繁,发作时还伴有短暂眩晕不适。家属陪同患者前往市内某大型三甲综合医院就诊,做完心脏超声检查后,这才揭开了这个“老年病”的真面目:主动脉瓣退行性变、主动脉瓣重度狭窄并关闭不全、心功能衰竭。诊断明确,治疗方案就很明确,将失去功能的主动脉瓣更换为一个新的人工主动脉瓣;而对于高龄、高危患者(EuroScore评分为8分),TAVR手术是首选。然而既定的手术未能按计划进行,术中因为突发情况被迫终止;而这还不是最糟糕的情况,扩张瓣膜后造成的大量主动脉瓣反流,短时间内急剧加重了患者心脏的前负荷,心功能严重恶化,不能平卧,睡觉也只能半躺着,接下来该怎么办?
患者及家属在焦虑中,经人介绍,辗转来到了康心医院。入院时患者的情况就很不理想:只能半坐休息,持续胸部闷胀不适,双下肢水肿明显,急诊化验的心衰标志物约为正常水平的5倍;在这样的情况下,以朱洪玉教授、方骏教授为核心的外科团队,针对患者特殊病情,短时间内就制定了接下来的治疗方案:1.立刻采取规范的纠正心衰治疗,改善患者心脏功能;2.患者心功能得到一定改善后,好转后再次尝试TAVR手术。这并不是一个自负、草率的决定,首先,患者有明确的手术适应症,而目前的病情再选择传统的体外循环手术治疗方案,患者属于绝对高危风险组,方骏主任结合患者外院的检查资料以及本院的检查资料,多次进行评估、综合多方面因素得出了这个结论;其次,再次手术准备植入的,是由国内启明医疗自主研发的VenusA-Plus瓣膜,这款瓣膜系统在保留前代产品强径向支撑力优势的基础上,增加了可回收、可重新定位的功能,能够有效降低手术难度,提升手术成功率和安全性,是手术最适合的选择;再次,确实遇到了难以预计的、不得不终止手术的情况,我们可以立刻转体外循环手术,避免对患者心脏功能的再次打击,从而为患者争取最大限度的治疗获益:一个高水平的外科团队,就是康心医院敢于再次尝试TAVR手术的底气和信心。
治疗和术前准备有条不紊地进行,通过这几天的治疗,患者的心功能改善,气促的症状已经明显好转,白天还能在病房少量活动;通过几天的相处,患者及家属对康心医院从一开始将信将疑,到现在绝对信任,患者本人更是信心十足,在医护人员陪同前往手术室的路上有说有笑,表示自己没什么好担心的,开玩笑地说到“睡一觉手术就做完了”。
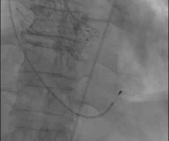
根部造影
球囊预扩
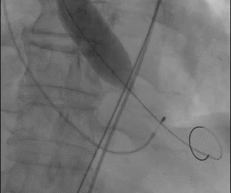
瓣膜释放完毕
TAVR手术(经导管主动脉瓣置换术)是一种微创瓣膜置换手术,被誉为继冠脉介入之后的心脏介入领域的又一次革命,自其诞生以来,就备受关注。相对于其他心脏介入手术,TAVR技术对整个手术团队的要求非常高,必须要有一定手术例数的积累,同时能迅速、妥善处理术中可能出现的各种并发症,才算是真正能掌握、开展这一前沿技术。重庆康心医院是大重庆地区为数不多的、掌握多种路径TAVR手术的特色专科之一,这一诊疗技术已做为医院的常规手术开展。
专家简介
重庆康心医院
方骏
退役军医、心外一科主任、副主任医师、医学硕士。
执业经历:曾在陆军军医大学附属新桥医院心血管外科工作20年整,至今已主刀完成各类心脏手术近4000余例。
专业擅长:擅长各类风湿性心脏瓣膜病、先天性心脏病以及其他后天性心脏病的外科诊治。擅长各类瓣膜置换手术、先天性心脏病矫治手术、房颤外科射频消融手术、小切口心脏手术、超声引导下房间隔缺损封堵术等,手术成功率超过98%。
学术任职:中国非公立医疗机构协会心血管外科专业委员会委员;心脏联盟西南房颤中心委员;心脏联盟西南心脏中心委员;中国研究型医院学会心脏瓣膜病学专业委员会委员;重庆市医学会心血管外科医师分会会员。
