近期,北京积水潭医院刘巍教授团队在多学科合作下,再次成功应用VenusA-Plus®可回收输送系统为两名高龄重度主动脉瓣狭窄患者行经导管主动脉瓣置换术,术中进展顺利,术后患者恢复状况良好。积水潭医院自开展TAVR手术以来,从无到有,从有到精的极大力证,也标志着以刘巍主任为首的团队技术正一步一步走向成熟,这为广大主动脉瓣重度狭窄患者带来了福音。
病例一
患者男性,84岁,因间断晕厥一年半,伴黑矇,意识完全丧失倒地,1-2分钟后意识恢复。术前行超声心动图检查,提示主动脉瓣重度狭窄,收缩期主动脉瓣上流速增快;主动脉瓣钙化伴轻度关闭不全;二、三尖瓣轻度关闭不全;右房增大;左室肥厚;左室舒张功能减低。主动脉瓣上最大流速6.0 m/s,PG:129 mmHg,平均PG:50 mmHg,估测主动脉瓣口面积约0.6-0.8 cm²
术前CT评估
患者为功能型二叶瓣,重度钙化,左右融合,瓣环平面可见钙化延伸至左室流出道,冠脉高度高,法式窦结构大,心脏角度约51°,心肌增厚。
瓣环平均直径:25.6 mm,左室流出道平均直径:25.4 mm,升主动脉未见明显扩张,心脏角度:51°
钙化积分:832 mm³,重度钙化
术者团队组织科室集体对其病变进行深入分析、反复讨论后,结合患者主动脉根部情况及病情等综合因素,由于患者主动脉弓部扭曲,术者团队决定应用65cm戈尔长鞘,送至升主动脉后经导管置入VenusA-Plus®可回收输送系统,选用22 mm球囊预扩张,经由右侧股动脉入路植入L26型号瓣膜完成此次手术。

22 mm球囊预扩张

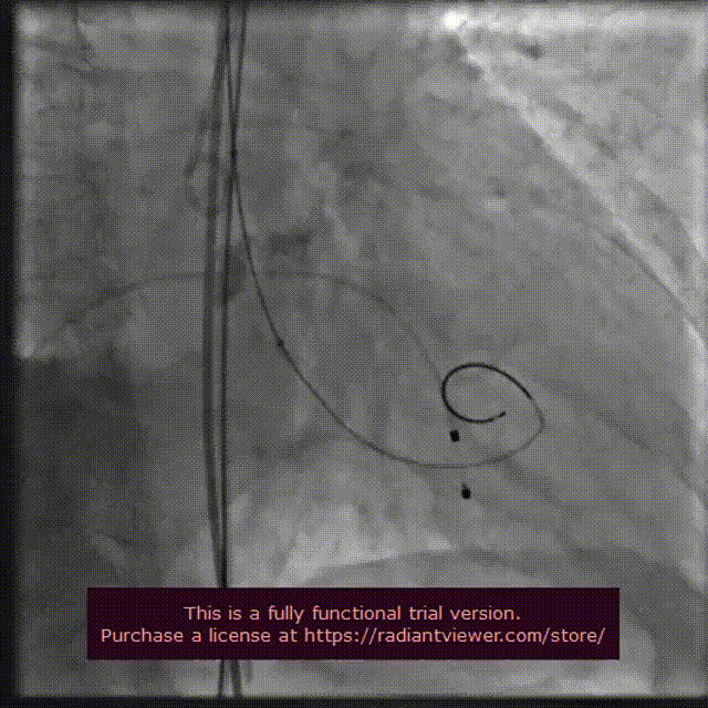
输送系统定位

VenusA-Plus®释放过程
瓣膜完整形态
术后即刻TTE示人工主动脉瓣活动正常,平均跨瓣压差较术前得到明显改善,主动脉瓣上最大流速2.1m/s,未见瓣周漏,未见瓣中反流,LVEF 65%。患者病情明显缓解。
病例二
患者女性,84岁,主因活动后憋气两年,晕厥1月住院。入院后完善超声心动提示:钙化性主动脉瓣狭窄(重度)伴关闭不全(轻度)左房增大,室间隔增厚,主动脉窦升部增宽。
左房增大,余心腔内径大致正常,室间隔增厚,主动脉三瓣缘增厚、回声增强,开放幅度减低、关闭差,CW测主动脉瓣上流速:Vmax: 5.9 m/s,PG:141 mmHg,MPG:86 mmHg。主动脉窦、升部内径增宽,肺动脉内径正常。CDFI:舒张期于左室流出道探及源于主动脉瓣反流信号,收缩期于左房侧探及源于二尖瓣反流信号,反流面积:4.7-5.2 cm²。PW:舒张期二尖瓣血流频谱A/E>1。
术前CT评估提示
TYPE1型二叶瓣,重度钙化,左右可见钙化融合脊,法式窦结构可,双冠高度可,升主动脉增宽,最宽处约46 mm,心脏角度不大,左室大,心尖部可见囊状造影剂填充,考虑多系小室壁瘤,术中需谨慎操作,主动脉弓部走行较平缓。
瓣环平均直径:21.9 mm,左室流出道平均直径:21.6 mm,钙化积分:865.9 mm³
左冠开口高度:11.8 mm,右冠开口高度:13.4 mm
结合主动脉根部整体结构及其他各项指标综合考虑,术中采用18 mm球囊进行预扩张后,观察显示球囊有轻微腰征,无明显瓣周漏,植入VenusA-Plus®L23型号瓣膜。
主动脉根部造影

18 mm球囊预扩

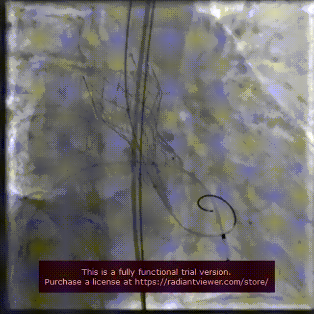
输送系统定位
VenusA-Plus®释放过程

18 mm球囊后扩
瓣膜完整形态
术者团队观察到瓣膜形态未能完全伸展,为取得更好治疗效果,后续予以后扩处理。采用18 mm球囊进行后扩后扩,行主动脉造影提示瓣膜置入位置良好、形态完整。
术后总结
此次两例手术中,在影像、超声的共同指引下,术者团队通过调整输送系统至最佳位置实现精准释放,患者跨瓣压差即刻显著下降。术中及术后未出现相关并发症,圆满取得两例手术成功。
专家简介
刘巍
北京积水潭医院心内科主任
主任医师,医学博士,1996年毕业于白求恩医科大学临床专业,并先后赴新加坡国立大学Tan Tock Seng医院,日本东邦大学大森医院心血管介入中心,美国休斯顿德州医学中心Methodist医院Debacky心血管中心及德州大学医学部交流访问积累了丰富的心血管疾病诊疗经验。
擅长冠心病诊治、心脏介入治疗和主动脉疾病的介入治疗。特别在主动脉疾病的诊断及介入治疗方面具有丰富的临床经验,帮扶国内十余家医院实施介入工作。
担任中国医疗及保健协会对外促进会医疗质量控制会委员兼秘书长,中国老年保健协会心血管分会委员,中国医促会胸痛分会常务委员, 北京生理科学学会血管分会副主任委员。担任中西医结合心血管病杂志副主编,中国医药杂志社英文编辑等社会职务。
