周周寄语:
李捷
广东省人民医院
上周讲了大瓣环,这周讲讲小瓣环。总体来说小瓣环TAVR比较好放,移位风险不大,但是要注意瓣膜跳出去到升主动脉的风险,特别是室间隔厚,流出道很扁的患者,释放高度不要太高,标准位释放,向外拉的张力不要太大。另外这类患者一般窦比较小,要仔细评估冠脉堵塞风险,球囊预扩时判断冠脉风险,选择冠脉保护方案。本例患者钙化很轻,瓣叶增厚,无疑增加了瓣膜跳出和冠脉阻挡的风险,但姜主任团队还是完美的完成手术,足见其TAVR功力之深厚,值得我们学习。
近日,珠海市人民医院心血管内科姜小飞主任带领瓣膜介入团队,在超声科张恒主任团队、麻醉科刘贵德主任团队以及影像科等兄弟科室全力配合下,成功为一位主动脉瓣重度狭窄合并轻度返流的患者完成经导管主动脉瓣置换术(TAVR)。该病例极具挑战性,病人整体结构小,瓣环16.9mm,左室流出道16.7mm,窦管结合部23.9mm,升主动脉31.4mm。在姜小飞主任团队前期充足的准备,通过术前评估,制定手术策略和预案,充分对比目前可以使用的瓣膜系统,最后应用VenusA-Plus挑战成功了三叶式“4小”高难度TAVR病例。
患者基本情况
患者68岁,女性,反复胸闷10余年,加重1年。患者于10余年前反复无明显诱因出现胸闷,伴心悸、大汗、气促、头晕,持续3-5分钟后可自行缓解,无恶心、呕吐,无反酸、嗳气,无头痛,无视物模糊,无饮水呛咳等不适。未予重视。近1年来上述症状加重,性质同前,持续10-20分钟可缓解。患者为求进一步诊治,遂至医院门诊,完善心脏彩超提示:主动脉瓣重度狭窄,遂门诊拟“主动脉瓣重度狭窄”收入心血管内科。
术前CT评估
整体情况

瓣环:16.9mm;左室流出道:16.7mm
STJ:23.9mm;升主动脉:31.4mm
瓣叶增厚 右冠高度:10.9mm
左冠高度:9.5mm
心室大小可
工作体位:LAO:12°CRA:5° ;左冠切线位:LAO:26° CRA:19°
右股为主入路
术前分析及手术策略
患者为三叶瓣,左右、右无疑似粘连,瓣叶明显增厚,轻度钙化。右冠高度10.9mm,左冠高度9.5mm,冠脉高度均较低。法式窦小,心脏角度不大,左室大小可,升主动脉未见明显增宽,病人整体结构小,瓣环仅有16.9mm,左室流出道16.7mm,窦管结合部23.9mm,升主动脉31.4mm。选择右股作为主入路。
由于患者整体结构小,是这台手术最大的难点。主动脉瓣叶增厚,冠脉高度小于12mm均较低,冠脉风险极高,病情复杂。但顾及到患者整体瓣环小,即使行外科换瓣手术也是需要通过原瓣叶裁剪后扩张瓣环才能放入外科瓣,外科手术风险也很高,手术创伤大,出血多。相比之下,经导管主动脉瓣置换术(TAVR)具有手术创伤少、出血少,术后恢复快等特点,姜小飞主任通过多方面的考虑最终决定尝试实施经导管主动脉瓣置换术。经过多方专家会诊,共同评估并制定了几种可能的手术方案:1、考虑到冠脉风险,单纯球囊扩张,解决狭窄,但不排除反流增加的可能;2、如冠脉无阻挡,考虑植入瓣膜,但由于患者“4小”,不排除瓣膜出现严重移位。结合前期分析结果,最终采取先对其进行球囊的预扩张,再考虑治疗主动脉瓣狭窄的策略。但是必须采用瓣膜工作区“收腰”工艺好的“环上瓣”,以避免瓣膜工作区因为小瓣环而打不开;必须使用可回收输送系统,避免一次性释放后位置不佳,进行位置调整甚至全回收放弃瓣膜释放。经过多科室团队和启明工程师对患者病例深入分析,反复讨论后,结合患者病情复杂等因素,决定选用18mm球囊预扩张,同时决定使用VenusA-Plus可回收输送系统,选择植入L23号瓣膜经由右侧股动脉入路完成此次手术。
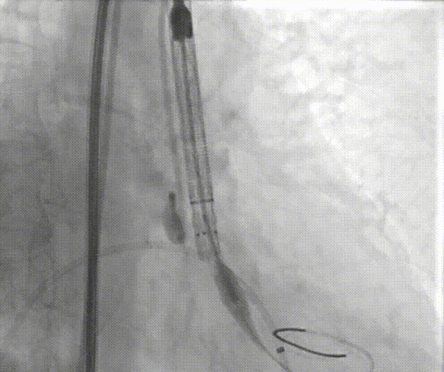
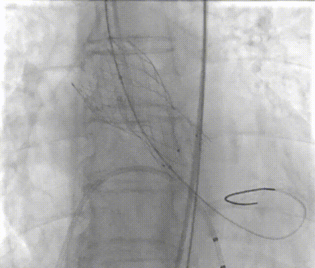
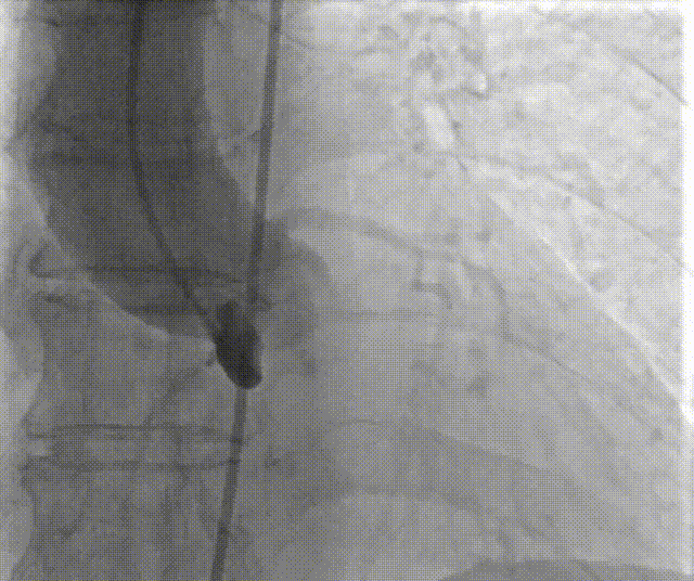
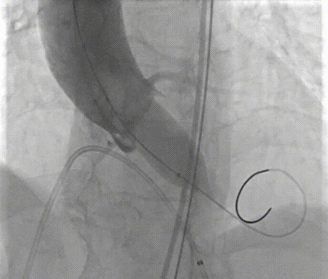
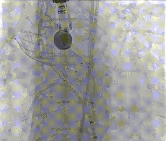
手术过程




术后总结
在手术进行之前,姜小飞主任团队与多方专家进行会诊沟通,认为患者整体瓣环结构小,选择保守治疗或者是外科换瓣或是更优的治疗方案,在多个厂家工程师进行病例深入分析,最终也在姜小飞主任的坚持下还是决定挑战一下这个超小瓣环的病例,患者术后压差为0mmHg,患者恢复状态良好,成功挽救了患者的生命,手术圆满成功。
“工欲善其事必先利其器”,此次姜小飞主任团队成功应用VenusA-Plus经导管人工主动脉瓣置换系统-可回收输送系统完成超小瓣环TAVR手术,标志着珠海市人民医院心血管内科姜小飞主任团队在结构性心脏病领域的诊疗水平进入到崭新的阶段。VenusA-Plus可回收输送系统在给医生带来更多治疗方案选择同时,也在高难度病例中显现出了更加安全的优势。
专家简介
姜小飞
珠海市人民医院
医学博士、主任医师、心内科副主任(主持全面工作)、第八党支部书记。
中华医学会心血管病学分会肺血管病学组委员;中国人体健康科技促进会结构性心脏病委员会 副主任委员;中国生物医学工程学会心律学会左心耳封堵学组委员;亚洲心脏病学会理事;亚太结构性心脏病青年俱乐部黄金会员;澳门粤港澳大湾区心脏研究学会(澳门)理事;中国心血管医师创新俱乐部(CCI)广东分部执行委员;广东省医师协会心血管病学分会委员;广东省医师协会心脏病器械辅助治疗医师分会常务委员;广东省医师协会小儿心血管病医师分会常务委员;广东省医学会心血管病学分会委员;广东省医院协会心血管疾病质控管理分会常务委员(兼结构性心脏病组副组长);广东省健康管理学会肺血管疾病分会常务委员;广东省介入性心脏病协会结构性心脏病分会常委委员;广东省医学会心脏起搏与电生理学分会心房颤动学组委员;广东省医学教育协会心脏内科学专委会常务委员;广东省高血压达标中心联盟副主任委员;广东省心脏康复联盟副主席;《中国心血管病研究》杂志编委会青年委员;中国高血压达标中心认证专家委员会委员;WATCHMAN左心耳封堵全球带教专家;德国布伦瑞克医学中心访问学者;波鸿鲁尔大学附属bergmannsheil医院访问学者。

