笃行不怠|重庆医科大学附属第一医院何泉主任医师团队运用VenusA—Plus顺利完成一例高难度TAVR手术
2021-12-27 11:57
患者
患者女性,71岁。
主诉
活动后胸闷4+月。
现病史
活动后胸闷、气促4+月,加重10余天。入院前,患者轻微活动后出现胸闷,气促,心前区不适,每天频繁发作,活动受限,遂到我院就诊。
超声检查
左室射血分数:64%;
主动脉瓣峰值流速:418cm/s;
主动脉瓣平均跨瓣压差:47mmHg
主动脉瓣瓣口面积:0.7cm2
诊断:主动脉瓣重度狭窄伴轻度关闭不全
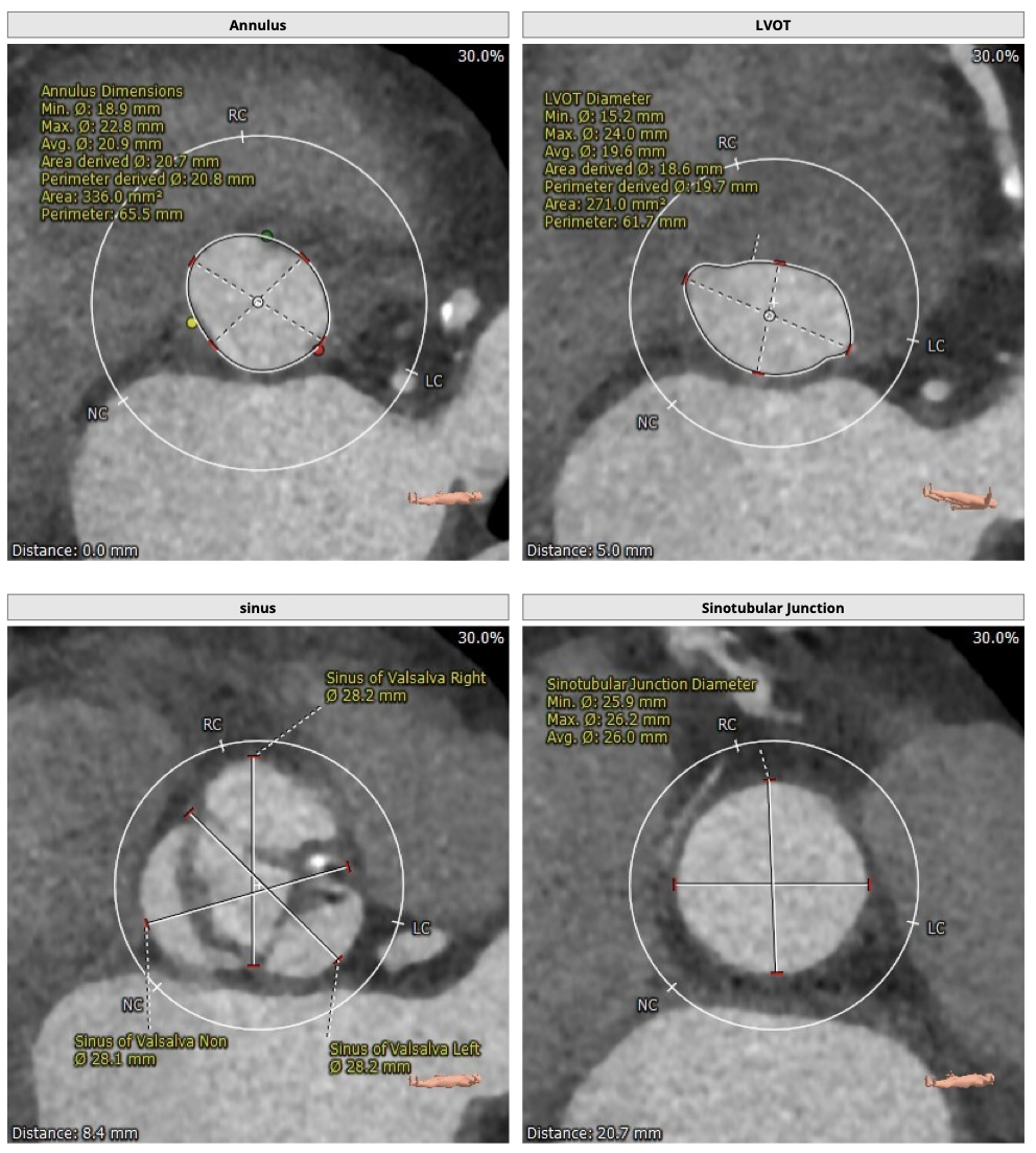
主动脉CT
难点分析:
*患者为TYPE1型二叶瓣,左右融合,重度钙化,融合脊难以推开,瓣膜释放后具有一定瓣周漏风险;
*心脏角度为57°,横位心,输送器过瓣难度增加,瓣膜植入同轴性差,瓣膜释放更易移位,增加了操作的难度;
制定策略:
经分析研判,拟从右侧股动脉穿刺入路,使用20mm球囊预扩,采取downsize手术策略,选用L23号的VenusA-Valve瓣膜,因患者为横位心,瓣膜释放同轴性差,容易发生移位,故采用VenusA-Plus可回收输送系统确保瓣膜的稳定释放,瓣膜释放后结合造影和超声情况,决定是否后扩。

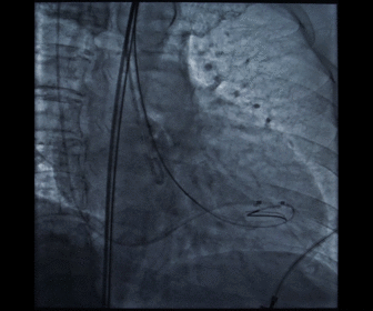
根部造影

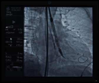
球囊预扩

胶囊腔定位

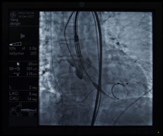
瓣膜释放

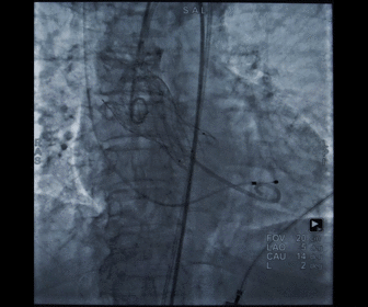
造影观察瓣膜形态
手术结果
术后造影及超声探查未见瓣周漏,跨瓣压差术前47mmHg,术后几乎无压差,术中及术后未出现相关并发症,手术圆满完成。
经过何泉主任医师团队一个小时的通力协作,手术顺利完成,患者血流动力学即刻改善,无并发症的发生,极大提升了患者的生活质量。
何泉教授总结:“患者一旦主动脉瓣严重狭窄,心脏的血液排出就会受阻,从而引发心肌缺血、心绞痛、心力衰竭、心律失常甚至猝死。以往,严重的主动脉瓣狭窄只能通过外科手术开胸换瓣。随着经导管主动脉瓣置换术发展,使得医生能够通过外周动脉血管以微创的方式实施人工主动脉瓣的植入和替代,大大降低了手术的创伤程度,为有瓣膜置换需求的患者提供了全新选择。”