任重道远,挑战高难度|葛均波院士团队一周内完成三例高难度经血管三尖瓣置换手术

2021年12月24日,复旦大学附属中山医院葛均波院士团队成功应用LuX-Valve Plus为一例极重度三尖瓣反流(TR)合并房颤、房缺的患者完成了经血管三尖瓣置换术,这是在前基础上,本周完成的第三例经血管三尖瓣置换手术,葛均波院士、周达新教授等与心外科魏来教授、赖颢教授,心超室的潘翠珍教授、李伟教授及麻醉科的郭克芳教授共同完成了本周手术,均获得圆满成功!患者术后超声显示无TR,临床症状明显改善。本周手术的成功也为LuX-Valve Plus救治性临床研究添上了浓墨重彩的一笔。

图片

本周三例接受LuX-Valve Plus经血管三尖瓣置换术的患者中,第一例患者为冠状动脉旁路移植术+Bentall+二尖瓣成形术后;第二例患者为永久起搏器植入术后,存在跨三尖瓣导线;第三例患者合并房颤、房缺及左心耳封堵术后。


图片

三例患者入院后,葛均波院士团队周达新教授、潘文志教授、张源博士、陈莎莎博士及心超室的潘翠珍教授、李伟教授对患者的情况进行详细评估和讨论,最终决定为三例患者选择LuX-Valve Plus40mm、50mm和50mm型号的瓣膜进行手术治疗。手术后即刻拔除气管插管,术后患者三尖瓣反流症状得到显著改善,复查心超结果显示人工三尖瓣瓣膜支架固定稳定,瓣叶关闭形态未见异常,未见明显反流。


图片
图片
图片

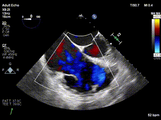
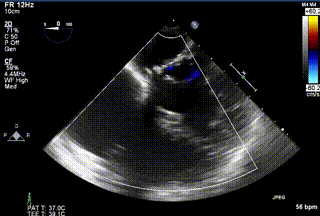
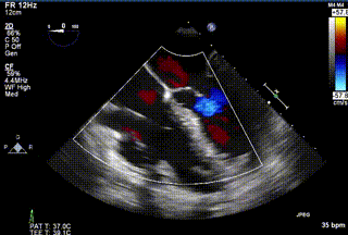
患者一术前心超

患者一术后心超 

图片

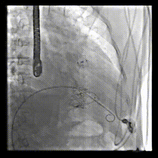
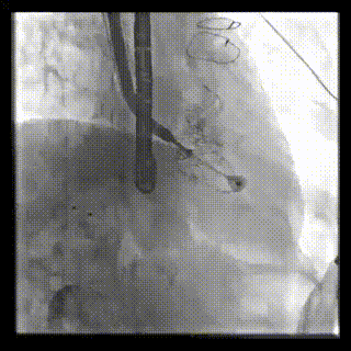
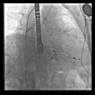
患者一术DSA

图片
图片

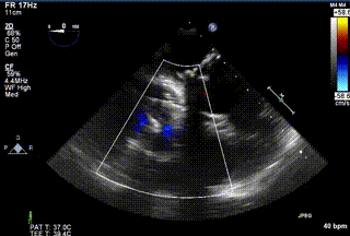
患者二术前心超

患者二术后心超 

图片

患者二术中DSA

图片
图片

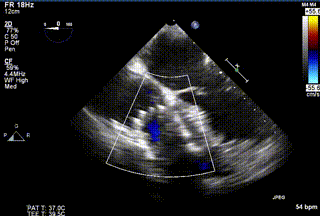
患者三术前心超

患者三术后心超

图片

患者三术中DSA

中、重度三尖瓣反流(TR)是一种常见的瓣膜疾病,发病率高,并且目前缺少有效的治疗手段。有数据显示[1],65岁和75岁以上人群分别有2.7%和3.96%存在中重度三尖瓣反流。中、重度三尖瓣反流以继发性(功能性)TR常见,原发性(器质性)少见。继发性(功能性)TR通常继发于左心瓣膜病或心肌疾病,尤其在永久起搏器植入术后和左心人工瓣膜植入术后,中、重度三尖瓣反流患者比例逐年升高。2020年流调数据显示[2],起搏器和左心人工瓣膜植入术后中重度反流的患者比例高达40%和67%。随着两类手术的数目逐年上升,每年相应的新发中重度反流患者也将增加。根据沙利文数据预测[2,3],2025年起搏器植入和左心人工瓣膜植入术将分别达到14万例/年和10万例/年,对应需要进行干预的三尖瓣中重度反流患者将达到5.7万例/年和6.6万例/年。因此,有效治疗中重度三尖瓣反流患者仍然是临床医生亟需解决的重点问题。

LuX-Valve Plus是LuX-Valve系列产品的第二代,采用的是经血管入路的全新输送系统,其设计开发过程得到了上海中山医院葛均波院士及其团队的精心指导,研究结果提示瓣膜植入的安全性和有效性俱佳,尤其瓣膜独特的设计使其具有极佳自适应性,本周三例患者病因及解剖结构各具特点,但均可从LuX-Valve Plus植入术明显获益。目前,LuX-Valve Plus已在全国各中心开展救治性临床研究,相信未来定会为更多的三尖瓣反流患者带来福音。

参考文献:

1.Coffey S,Loudon MA,et al.Large-scale community echocardiographic screening reveals a major burden of undiagnosed valvular heart disease in older people:the OxVALVE Population Cohort Study.Eur Heart J 2016;37:3515-3522.

2.Anvardeen, K., Rao, R., Hazra, S., Hay, K., Dai, H., Stoyanov, N., Birnie, D., Dwivedi, G., & Chan, K. L. (2019). Lead-Specific Features Predisposing to the Development of Tricuspid Regurgitation After Endocardial Lead Implantation. CJC Open, 1(6), 316–323. https://doi.org/10.1016/j.cjco.2019.10.002.

3.Addetia, K. (2019). Cardiac Implantable Electronic Device Lead-Induced Tricuspid Regurgitation. CARDIOVASCULAR IMAGING, 12(4), 15.

阅读数: 5533
相关专题