患者
患者男性,67岁。
主诉
活动后胸闷、气紧5+月,加重7+天。
现病史
入院前5+月,患者无明显诱因出现出现活动后胸闷、气紧,伴心前区不适,每天频繁发作,活动量加大时加剧。于1+月前无明显诱因出现晕厥,意识丧失,伴有大小便失禁,约10分钟意识完全恢复,醒后自觉全身酸痛,乏力,遂到我院就诊。
超声检查
左室射血分数:42%;
主动脉瓣峰值流速:426cm/s;
主动脉瓣平均跨瓣压差:72mmHg
诊断:主动脉瓣中至重狭窄伴轻度返流
主动脉CT
难点分析:
*患者为TYPE1型二叶瓣,左右融合,重度钙化,融合脊难以推开,瓣膜释放后具有一定瓣周漏风险;
*心脏角度为60°,横位心,输送器过瓣难度增加,瓣膜植入同轴性差,瓣膜释放更易移位,增加了操作的难度;
*髂动脉走形迂曲,升主动脉明显扩张,术中操作需轻柔;
制定策略:
经分析研判,拟从右侧股动脉穿刺入路,使用23mm球囊预扩,采取downsize手术策略,选用L26号的VenusA-Valve瓣膜,因患者为横位心,瓣膜释放同轴性差,容易发生移位,故采用VenusA-Plus可回收输送系统确保瓣膜的稳定释放,瓣膜释放后结合造影和超声情况,决定是否后扩。
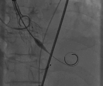
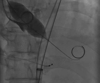
根部造影
球囊预扩
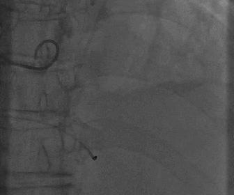
胶囊腔定位
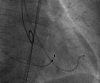
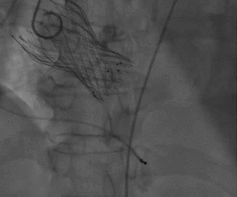
瓣膜释放
造影观察瓣膜形态
手术结果
术后造影及超声探查未见瓣周漏,跨瓣压差术前72mmHg,术后几乎无压差,术中及术后未出现相关并发症,手术圆满完成。
患者
患者,女性,67岁。
主诉
活动后胸痛2+年。
现病史
入院前(2+)年,患者重体力劳动后出现胸痛。尤以做农活等活动量加大时加剧,入院前10天于外院行常规体检,心脏彩超结果提示:1.左房、左室稍大,主动脉窦部及升部增宽2.主动脉瓣增厚并钙化,轻度狭窄,关闭不全,重度反流3.二尖瓣增厚并轻度钙化,轻度反流4.三尖瓣微量反流5.左室舒张功能减退6.室壁未见典型节段性运动异常,今为求进一步治疗遂至我院,门诊以"心脏瓣膜病主动脉瓣增厚并钙化重度关闭不全"收住我科。
超声检查
左室射血分数:71%;
主动脉瓣返流面积:7.3cm2
诊断:主动瓣膜关闭不全(重度返流);
主动脉CT
FEops评估报告
FEops评估瓣周漏
根据FEops量化评估,选用L26瓣膜高位释放会导致8.2ml/s的瓣周漏,而选用L26标准位释放会导致7.4ml/s的瓣周漏,两种释放位置产生的瓣周漏均低于发生中度至重度瓣周漏临界值16ml/s,所以两种释放位置均可以纳入考虑范围,由FEops模拟瓣周漏的3D建模得知发生瓣周漏的主要区域为左右交界处的钙化位置。


L26号瓣膜标准位释放
L26号瓣膜高位释放
FEops评估瓣膜稳定情况
根据FEops评估的L26瓣膜标准位释放结果,发现瓣膜起始位置与稳定位置有较大的改变,判断发生下滑可能性比较大,建议使用VenusA-Plus®可回收输送系统保障手术安全。


瓣膜植入前
瓣膜植入后
难点分析:
*患者为TYPE1型二叶瓣,瓣膜释放后具有一定瓣周漏风险;
*升主动脉明显扩张,术中操作需轻柔;
制定策略:
经分析研判,拟从右侧股动脉穿刺入路,选用L26号的VenusA-Valve瓣膜,采用VenusA-Plus可回收输送系统确保瓣膜的精确释放,瓣膜释放后结合造影和超声情况,决定是否后扩。
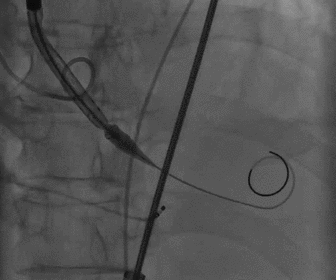
根部造影
瓣膜释放完毕
手术结果
术后造影及超声探查未见瓣周漏,术前主动脉瓣大量返流消失,二尖瓣返流得到改善,术中及术后未出现相关并发症,手术圆满完成。
连续两台高难度TAVR手术的顺利完成,展现出赖应龙教授对TAVR术式的深刻理解,反映了心脏大血管外科TAVR团队多学科的密切协作,标志着这项国际领先的尖端术式在川北医学院附属医院已经落地生根,显著提升了中心救治复杂危重心血管疾病的能力,为区域主动脉瓣疾病患者提供全新的治疗选择。



